验证数据展示
经过测试的应用
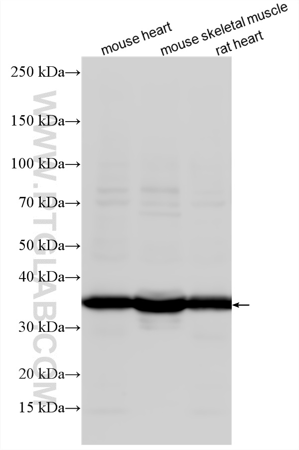
| Positive WB detected in | mouse heart tissue, HEK-293 cells, HeLa cells, human heart tissue, rat heart tissue, mouse skeletal muscle tissue, rat skeletal muscle tissue |
| Positive IP detected in | HeLa cells |
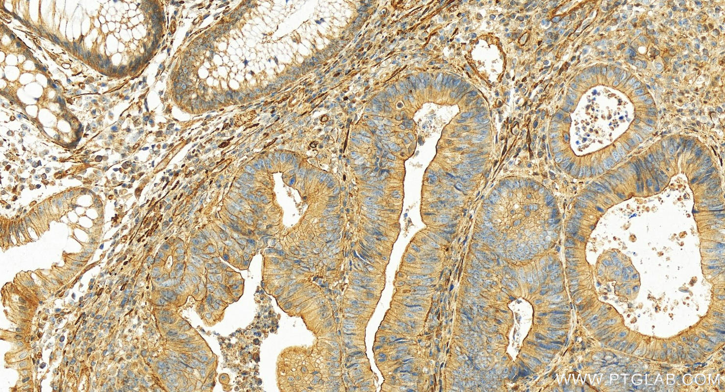
| Positive IHC detected in | human colon cancer tissue Note: suggested antigen retrieval with TE buffer pH 9.0; (*) Alternatively, antigen retrieval may be performed with citrate buffer pH 6.0 |
推荐稀释比
| 应用 | 推荐稀释比 |
|---|---|
| Western Blot (WB) | WB : 1:5000-1:50000 |
| Immunoprecipitation (IP) | IP : 0.5-4.0 ug for 1.0-3.0 mg of total protein lysate |
| Immunohistochemistry (IHC) | IHC : 1:200-1:1000 |
| It is recommended that this reagent should be titrated in each testing system to obtain optimal results. | |
| Sample-dependent, Check data in validation data gallery. | |
产品信息
10737-1-AP targets TPM3 in WB, IHC, IF, IP, CoIP, ELISA applications and shows reactivity with human, mouse, rat samples.
| 经测试应用 | WB, IHC, IP, ELISA Application Description |
| 文献引用应用 | WB, IHC, IF, IP, CoIP |
| 经测试反应性 | human, mouse, rat |
| 文献引用反应性 | human, mouse |
| 免疫原 |
CatNo: Ag1171 Product name: Recombinant human TPM3 protein Source: e coli.-derived, PGEX-4T Tag: GST Domain: 1-285 aa of BC008407 Sequence: MMEAIKKKMQMLKLDKENALDRAEQAEAEQKQAEERSKQLEDELAAMQKKLKGTEDELDKYSEALKDAQEKLELAEKKAADAEAEVASLNRRIQLVEEELDRAQERLATALQKLEEAEKAADESERGMKVIENRALKDEEKMELQEIQLKEAKHIAEEADRKYEEVARKLVIIEGDLERTEERAELAESKCSELEEELKNVTNNLKSLEAQAEKYSQKEDKYEEEIKILTDKLKEAETRAEFAERSVAKLEKTIDDLEDELYAQKLKYKAISEELDHALNDMTSI 种属同源性预测 |
| 宿主/亚型 | Rabbit / IgG |
| 抗体类别 | Polyclonal |
| 产品类型 | Antibody |
| 全称 | tropomyosin 3 |
| 别名 | Gamma-tropomyosin, Tropomyosin alpha 3 chain, Tropomyosin alpha-3 chain, Tropomyosin-3, Tropomyosin-5 |
| 计算分子量 | 33 kDa |
| 观测分子量 | 35 kDa |
| GenBank蛋白编号 | BC008407 |
| 基因名称 | TPM3 |
| Gene ID (NCBI) | 7170 |
| RRID | AB_2205671 |
| 偶联类型 | Unconjugated |
| 形式 | Liquid |
| 纯化方式 | Antigen affinity purification |
| UNIPROT ID | P06753 |
| 储存缓冲液 | PBS with 0.02% sodium azide and 50% glycerol, pH 7.3. |
| 储存条件 | Store at -20°C. Stable for one year after shipment. Aliquoting is unnecessary for -20oC storage. |
背景介绍
Tropomyosins are ubiquitous proteins of 35 to 45 kDa associated with the actin filaments of myofibrils and stress fibers. Tropomyosins are dimers of coiled-coil proteins that provide stability to actin filaments and regulate access of other actin-binding proteins.TPM2 subunit constitutes one part of the TPM dimer, and TPM1 or TPM3 constitutes the other part of the TPM dimer (22064019), causing an extra band of ~70kDa.
实验方案
| Product Specific Protocols | |
|---|---|
| IHC protocol for TPM3 antibody 10737-1-AP | Download protocol |
| IP protocol for TPM3 antibody 10737-1-AP | Download protocol |
| WB protocol for TPM3 antibody 10737-1-AP | Download protocol |
| Standard Protocols | |
|---|---|
| Click here to view our Standard Protocols |
发表文章
| Species | Application | Title |
|---|---|---|
Bone Res Impairment of rigidity sensing caused by mutant TP53 gain of function in osteosarcoma | ||
Nucleic Acids Res Short DNA/RNA heteroduplex oligonucleotide interacting proteins are key regulators of target gene silencing. | ||
J Am Heart Assoc Modulation of Abnormal Vasoconstriction Through 2-Hydroxyisobutyrylation of Tropomyosin 3 Lys141: Targeting Histone Deacetylase 3 as a Key Approach | ||
Oncol Res LncRNA WEE2-AS1 Knockdown Inhibits the Proliferation, Migration and 3 Invasion of Glioma Cells via Regulating miR-29b-2-5p/TPM3 Axis. | ||
J Proteome Res Multi-Proteomic Analysis Reveals the Effect of Protein Lactylation on Matrix and Cholesterol Metabolism in Tendinopathy |









