验证数据展示
经过测试的应用
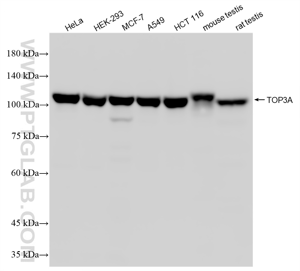
| Positive WB detected in | HeLa cells, HEK-293 cells, MCF-7 cells, A549 cells, HCT 116 cells, mouse testis tissue, rat testis tissue |
推荐稀释比
| 应用 | 推荐稀释比 |
|---|---|
| Western Blot (WB) | WB : 1:2000-1:10000 |
| It is recommended that this reagent should be titrated in each testing system to obtain optimal results. | |
| Sample-dependent, Check data in validation data gallery. | |
产品信息
87558-1-RR targets TOP3A in WB, ELISA applications and shows reactivity with human, mouse, rat samples.
| 经测试应用 | WB, ELISA Application Description |
| 经测试反应性 | human, mouse, rat |
| 免疫原 |
CatNo: Ag6010 Product name: Recombinant human TOP3A protein Source: e coli.-derived, PET28a Tag: 6*His Domain: 652-1001 aa of BC051748 Sequence: PEPIRKCPQCNKDMVLKTKKNGGFYLSCMGFPECRSAVWLPDSVLEASRDSSVCPVCQPHPVYRLKLKFKRGSLPPTMPLEFVCCIGGCDDTLREILDLRFSGGPPRASQPSGRLQANQSLNRMDNSQHPQPADSRQTGSSKALAQTLPPPTAAGESNSVTCNCGQEAVLLTVRKEGPNRGRQFFKCNGGSCNFFLWADSPNPGAGGPPALAYRPLGASLGCPPGPGIHLGGFGNPGDGSGSGTSCLCSQPSVTRTVQKDGPNKGRQFHTCAKPREQQCGFFQWVDENTAPGTSGAPSWTGDRGRTLESEARSKRPRASSSDMGSTAKKPRKCSLCHQPGHTRPFCPQNR 种属同源性预测 |
| 宿主/亚型 | Rabbit / IgG |
| 抗体类别 | Recombinant |
| 产品类型 | Antibody |
| 全称 | topoisomerase (DNA) III alpha |
| 别名 | DNA topoisomerase 3 alpha, DNA topoisomerase 3-alpha, EC:5.6.2.1, TOP3 |
| 计算分子量 | 1001 aa, 112 kDa |
| 观测分子量 | 100~110 kDa |
| GenBank蛋白编号 | BC051748 |
| 基因名称 | TOP3A |
| Gene ID (NCBI) | 7156 |
| RRID | AB_3745621 |
| 偶联类型 | Unconjugated |
| 形式 | Liquid |
| 纯化方式 | Protein A purification |
| UNIPROT ID | Q13472 |
| 储存缓冲液 | PBS with 0.02% sodium azide and 50% glycerol, pH 7.3. |
| 储存条件 | Store at -20°C. Stable for one year after shipment. Aliquoting is unnecessary for -20oC storage. |
背景介绍
DNA topoisomerase 3-alpha (TOP3A) is an essential component of the RMI complex, a complex involves in the processing of homologous recombination intermediates to limit DNA crossover formation in cells. It releases the supercoiling and torsional tension of DNA introduced during the DNA replication and transcription by transiently cleaving and rejoining one strand of the DNA duplex. Introduces a single-strand break via transesterification at a target site in duplex DNA. The scissile phosphodiester is attacked by the catalytic tyrosine of the enzyme, resulting in the formation of a DNA-(5'-phosphotyrosyl)-enzyme intermediate and the expulsion of a 3'-OH DNA strand. The free DNA strand than undergoes passage around the unbroken strand thus removing DNA supercoils. Finally, in the religation step, the DNA 3'-OH attacks the covalent intermediate to expel the active-site tyrosine and restore the DNA phosphodiester backbone. This antibody is specific to react with the 110 kDa human TOP3A.
实验方案
| Product Specific Protocols | |
|---|---|
| WB protocol for TOP3A antibody 87558-1-RR | Download protocol |
| Standard Protocols | |
|---|---|
| Click here to view our Standard Protocols |
