验证数据展示
经过测试的应用
| Positive WB detected in | A549 cells, HeLa cells, HEK-293 cells, HepG2 cells, Jurkat cells, K-562 cells | 
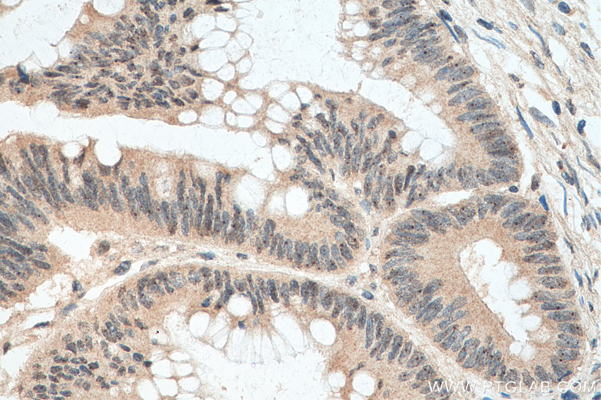
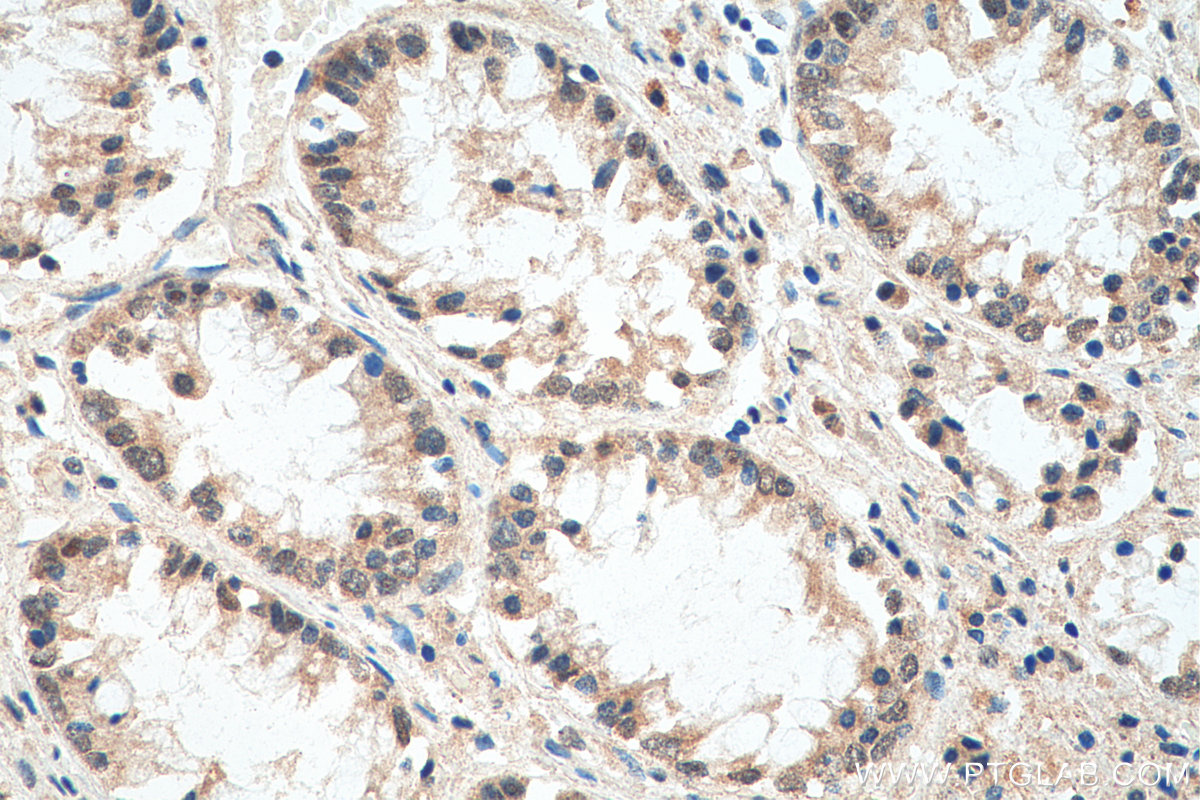
| Positive IHC detected in | human colon cancer tissue Note: suggested antigen retrieval with TE buffer pH 9.0; (*) Alternatively, antigen retrieval may be performed with citrate buffer pH 6.0  | 
| Positive IF/ICC detected in | HepG2 cells | 
推荐稀释比
| 应用 | 推荐稀释比 | 
|---|---|
| Western Blot (WB) | WB : 1:2000-1:10000 | 
| Immunohistochemistry (IHC) | IHC : 1:250-1:1000 | 
| Immunofluorescence (IF)/ICC | IF/ICC : 1:400-1:1600 | 
| It is recommended that this reagent should be titrated in each testing system to obtain optimal results. | |
| Sample-dependent, Check data in validation data gallery. | |
产品信息
67829-1-Ig targets TOE1 in WB, IHC, IF/ICC, ELISA applications and shows reactivity with Human samples.
| 经测试应用 | WB, IHC, IF/ICC, ELISA Application Description | 
| 经测试反应性 | Human | 
| 免疫原 | 
                                             CatNo: Ag28982 Product name: Recombinant human TOE1 protein Source: e coli.-derived, PET28a Tag: 6*His Domain: 1-262 aa of BC009364 Sequence: MAADSDDGAVSAPAASDGGVSKSTTSGEELVVQVPVVDVQSNNFKEMWPSLLLAIKTANFVAVDTELSGLGDRKSLLNQCIEERYKAVCHAARTRSILSLGLACFKRQPDKGEHSYLAQVFNLTLLCMEEYVIEPKSVQFLIQHGFNFNQQYAQGIPYHKGNDKGDESQSQSVRTLFLELIRARRPLVLHNGLIDLVFLYQNFYAHLPESLGTFTADLCEMFPAGIYDTKYAAEFHARFVASYLEYAFRKCERENGKQRAAG 种属同源性预测 | 
                                    
| 宿主/亚型 | Mouse / IgG2a | 
| 抗体类别 | Monoclonal | 
| 产品类型 | Antibody | 
| 全称 | target of EGR1, member 1 (nuclear) | 
| 别名 | FLJ13949, Target of EGR1 protein 1, TOE1 | 
| 计算分子量 | 510 aa, 57 kDa | 
| 观测分子量 | 57 kDa | 
| GenBank蛋白编号 | BC009364 | 
| 基因名称 | TOE1 | 
| Gene ID (NCBI) | 114034 | 
| RRID | AB_2918591 | 
| 偶联类型 | Unconjugated | 
| 形式 | Liquid | 
| 纯化方式 | Protein A purification | 
| UNIPROT ID | Q96GM8 | 
| 储存缓冲液 | PBS with 0.02% sodium azide and 50% glycerol, pH 7.3. | 
| 储存条件 | Store at -20°C. Stable for one year after shipment. Aliquoting is unnecessary for -20oC storage. | 
背景介绍
TOE1, also known as hCaf1z, belongs to the DEDD family of deadenylases. TOE1 was initially identified as a direct target gene of ERG1, an immediate early transcription factor. TOE1 encodes an Asp-Glu-Asp-Asp deadenylase that specifically localizes to Cajal bodies in the nucleus, where assembly and maturation of small nuclear ribonucleoprotein particles, and telomerase ribonucleoprotein complex take place (PMID: 36257135). TOE1 has 2 isoforms with the molecular mass of 48 and 57 kDa.
实验方案
| Product Specific Protocols | |
|---|---|
| IF protocol for TOE1 antibody 67829-1-Ig | Download protocol | 
| IHC protocol for TOE1 antibody 67829-1-Ig | Download protocol | 
| WB protocol for TOE1 antibody 67829-1-Ig | Download protocol | 
| Standard Protocols | |
|---|---|
| Click here to view our Standard Protocols | 





