验证数据展示
经过测试的应用
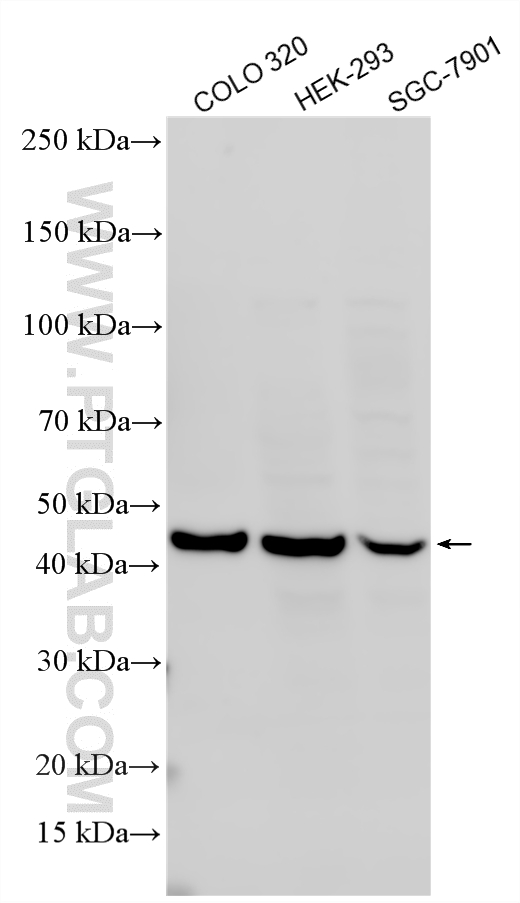
| Positive WB detected in | SGC-7901 cells |
| Positive IHC detected in | human thyroid cancer tissue, mouse testis tissue Note: suggested antigen retrieval with TE buffer pH 9.0; (*) Alternatively, antigen retrieval may be performed with citrate buffer pH 6.0 |
推荐稀释比
| 应用 | 推荐稀释比 |
|---|---|
| Western Blot (WB) | WB : 1:200-1:500 |
| Immunohistochemistry (IHC) | IHC : 1:50-1:500 |
| It is recommended that this reagent should be titrated in each testing system to obtain optimal results. | |
| Sample-dependent, Check data in validation data gallery. | |
产品信息
23899-1-AP targets TNFSF18 in WB, IHC, IF, ELISA applications and shows reactivity with human, mouse samples.
| 经测试应用 | WB, IHC, ELISA Application Description |
| 文献引用应用 | IHC, IF |
| 经测试反应性 | human, mouse |
| 文献引用反应性 | human, mouse, rat |
| 免疫原 |
CatNo: Ag20979 Product name: Recombinant human TNFSF18 protein Source: e coli.-derived, PGEX-4T Tag: GST Domain: 1-177 aa of BC069319 Sequence: MCLSHLENMPLSHSRTQGAQRSSWKLWLFCSIVMLLFLCSFSWLIFIFLQLETAKEPCMAKFGPLPSKWQMASSEPPCVNKVSDWKLEILQNGLYLIYGQVAPNANYNDVAPFEVRLYKNKDMIQTLTNKSKIQNVGGTYELHVGDTIDLIFNSEHQVLKNNTYWGIILLANPQFIS 种属同源性预测 |
| 宿主/亚型 | Rabbit / IgG |
| 抗体类别 | Polyclonal |
| 产品类型 | Antibody |
| 全称 | tumor necrosis factor (ligand) superfamily, member 18 |
| 别名 | AITRL, GITRL, hGITRL, TL6, TNFSF18 |
| 计算分子量 | 177 aa, 20 kDa |
| 观测分子量 | 44 kDa |
| GenBank蛋白编号 | BC069319 |
| 基因名称 | TNFSF18 |
| Gene ID (NCBI) | 8995 |
| RRID | AB_2879355 |
| 偶联类型 | Unconjugated |
| 形式 | Liquid |
| 纯化方式 | Antigen affinity purification |
| UNIPROT ID | Q9UNG2 |
| 储存缓冲液 | PBS with 0.02% sodium azide and 50% glycerol, pH 7.3. |
| 储存条件 | Store at -20°C. Stable for one year after shipment. Aliquoting is unnecessary for -20oC storage. |
实验方案
| Product Specific Protocols | |
|---|---|
| IHC protocol for TNFSF18 antibody 23899-1-AP | Download protocol |
| WB protocol for TNFSF18 antibody 23899-1-AP | Download protocol |
| Standard Protocols | |
|---|---|
| Click here to view our Standard Protocols |
发表文章
| Species | Application | Title |
|---|---|---|
Cell Death Dis GITR/GITRL reverse signalling modulates the proliferation of hepatic progenitor cells by recruiting ANXA2 to phosphorylate ERK1/2 and Akt. | ||
Cell Death Dis GITRL impairs hepatocyte repopulation by liver progenitor cells to aggravate inflammation and fibrosis by GITR+CD8+ T lymphocytes in CDE Mice | ||
Am J Surg Pathol High FCGR2B Expression Can Identify Low-tumor-burden Follicular Lymphoma Patients Who Do Not Require Any Antilymphoma Therapy for a Long Term | ||
Cell Death Discov RUNX1 restrains STAT1-GITRL signaling to shape an immunosuppressive CRC microenvironment.
|







