验证数据展示
经过测试的应用
| Positive WB detected in | mouse spleen tissue, mouse liver tissue |
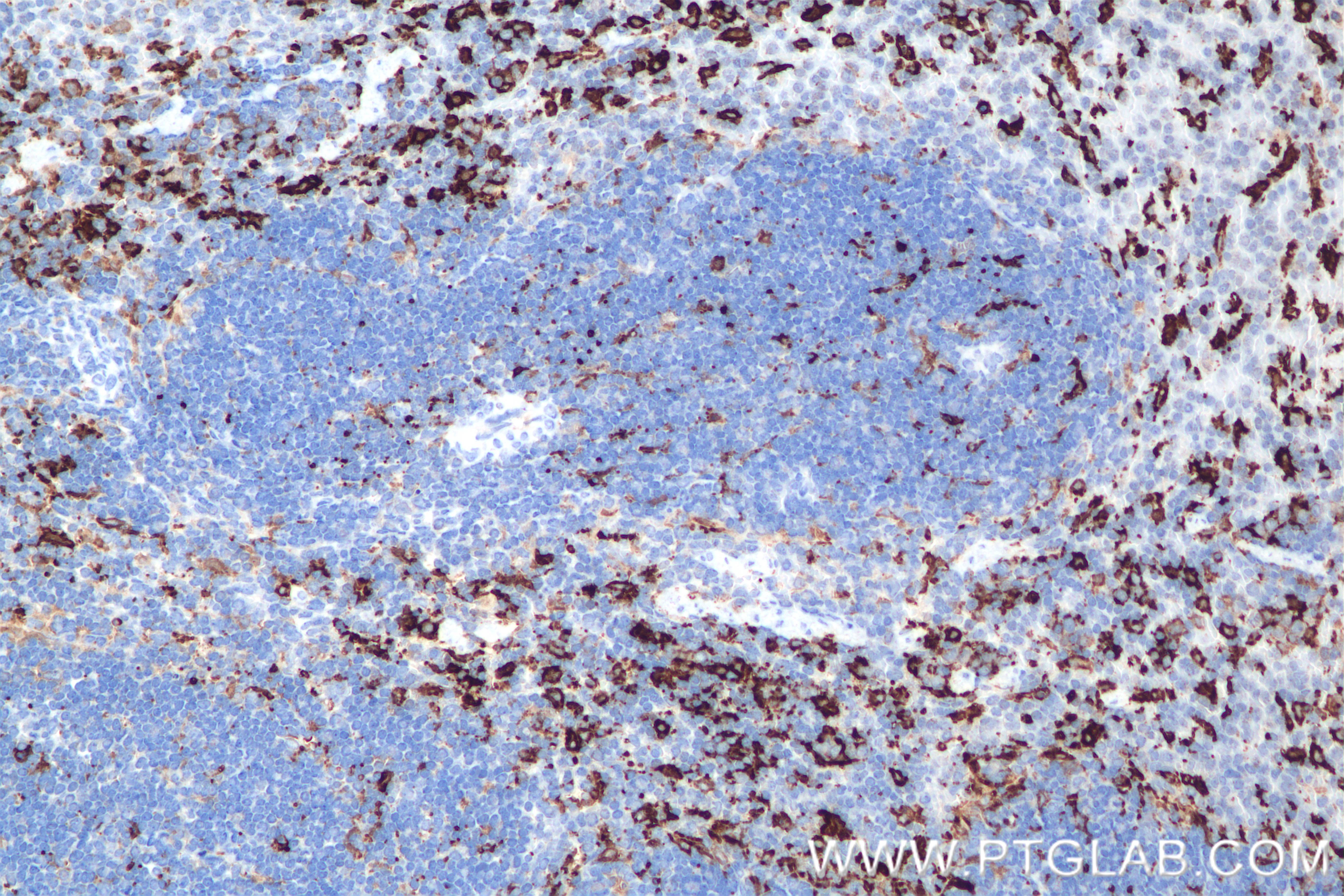
| Positive IHC detected in | mouse spleen tissue Note: suggested antigen retrieval with TE buffer pH 9.0; (*) Alternatively, antigen retrieval may be performed with citrate buffer pH 6.0 |
推荐稀释比
| 应用 | 推荐稀释比 |
|---|---|
| Western Blot (WB) | WB : 1:1000-1:4000 |
| Immunohistochemistry (IHC) | IHC : 1:400-1:1600 |
| It is recommended that this reagent should be titrated in each testing system to obtain optimal results. | |
| Sample-dependent, Check data in validation data gallery. | |
发表文章中的应用
| WB | See 1 publications below |
产品信息
84431-5-RR targets TNFSF11/RANKL in WB, IHC, ELISA applications and shows reactivity with mouse samples.
| 经测试应用 | WB, IHC, ELISA Application Description |
| 文献引用应用 | WB |
| 经测试反应性 | mouse |
| 文献引用反应性 | mouse |
| 免疫原 |
CatNo: Eg1956 Product name: Recombinant Mouse TNFSF11/RANKL protein (rFc Tag)(HPLC verified) Source: mammalian cells-derived, pHZ-KIsec-N-rFc Tag: N-rFc Domain: 72-316 aa of NM_011613.3 Sequence: RAQMDPNRISEDSTHCFYRILRLHENADLQDSTLESEDTLPDSCRRMKQAFQGAVQKELQHIVGPQRFSGAPAMMEGSWLDVAQRGKPEAQPFAHLTINAASIPSGSHKVTLSSWYHDRGWAKISNMTLSNGKLRVNQDGFYYLYANICFRHHETSGSVPTDYLQLMVYVVKTSIKIPSSHNLMKGGSTKNWSGNSEFHFYSINVGGFFKLRAGEEISIQVSNPSLLDPDQDATYFGAFKVQDID 种属同源性预测 |
| 宿主/亚型 | Rabbit / IgG |
| 抗体类别 | Recombinant |
| 产品类型 | Antibody |
| 全称 | tumor necrosis factor (ligand) superfamily, member 11 |
| 别名 | 241791B7, CD254, ODF, OPGL, Osteoclast differentiation factor |
| 计算分子量 | 35KD |
| 观测分子量 | 22 kDa |
| GenBank蛋白编号 | NM_011613.3 |
| 基因名称 | Tnfsf11 |
| Gene ID (NCBI) | 21943 |
| RRID | AB_3671958 |
| 偶联类型 | Unconjugated |
| 形式 | Liquid |
| 纯化方式 | Protein A purfication |
| UNIPROT ID | O35235 |
| 储存缓冲液 | PBS with 0.02% sodium azide and 50% glycerol, pH 7.3. |
| 储存条件 | Store at -20°C. Stable for one year after shipment. Aliquoting is unnecessary for -20oC storage. |
背景介绍
TNFSF11, known as Tumor Necrosis Factor Superfamily Member 11, also known as RANKL (Receptor Activator of Nuclear Factor-κB Ligand), TRANCE, etc., is a member of the Tumor Necrosis Factor (TNF) superfamily.RANKL is a type II homotrimeric transmembrane protein located primarily at the plasma membrane. RANKL is a type II homotrimeric transmembrane protein located mainly at the plasma membrane, and in addition to the membrane-bound form (mRNAKL), it can also be cleaved by proteolytic cleavage of the cell membrane to produce the soluble form (sRANKL). The membrane-bound form of RANKL is the main form involved in triggering the RANKL/RANK signaling pathway and mediating osteoclastogenesis. Current studies have shown that TNFSF11 acts primarily in the immune and skeletal systems and has been implicated in the pathogenesis of degenerative bone diseases, carcinogenesis, and asthma.
实验方案
| Product Specific Protocols | |
|---|---|
| IHC protocol for TNFSF11/RANKL antibody 84431-5-RR | Download protocol |
| WB protocol for TNFSF11/RANKL antibody 84431-5-RR | Download protocol |
| Standard Protocols | |
|---|---|
| Click here to view our Standard Protocols |
发表文章
| Species | Application | Title |
|---|---|---|
Exp Cell Res Activated NETosis of bone marrow neutrophils up-regulates macrophage osteoclastogenesis via cGAS-STING/AKT2 pathway to promote osteoporosis | ||
Mol Immunol SMAD7-mediated ferroptosis in macrophages drives osteoporosis progression: A multi-omics study. |


