验证数据展示
经过测试的应用
| Positive WB detected in | A20 cells |
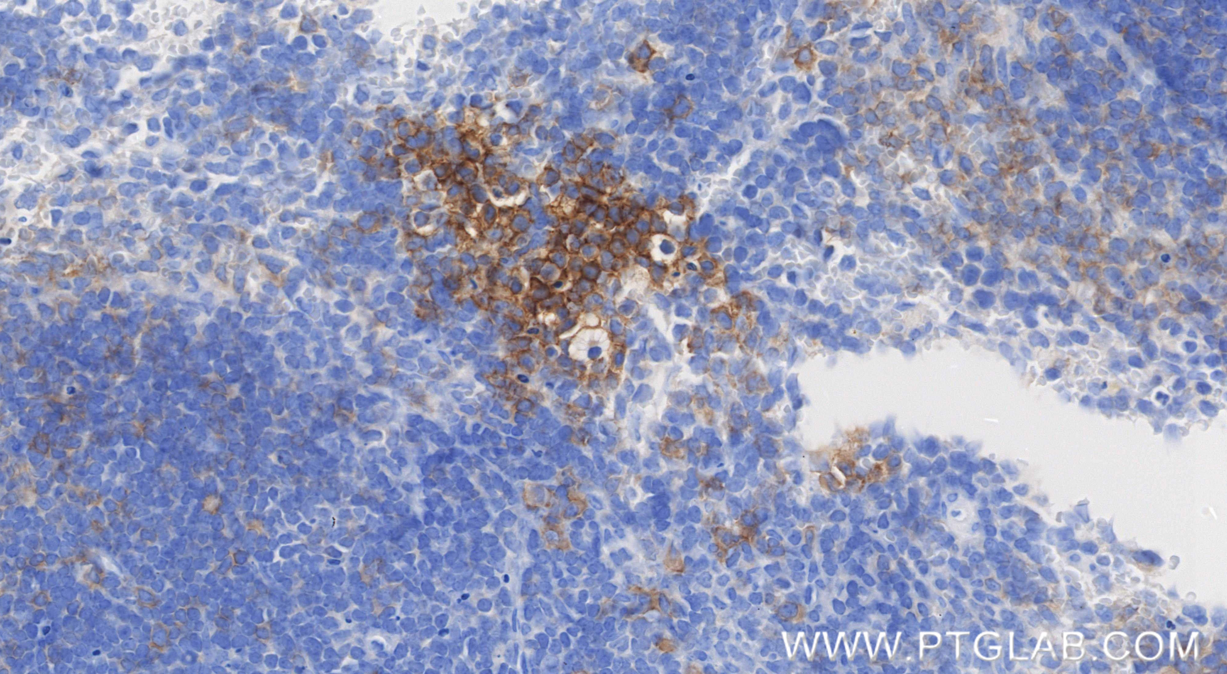
| Positive IHC detected in | mouse spleen tissue Note: suggested antigen retrieval with TE buffer pH 9.0; (*) Alternatively, antigen retrieval may be performed with citrate buffer pH 6.0 |
| Positive IF/ICC detected in | A20 cells |
推荐稀释比
| 应用 | 推荐稀释比 |
|---|---|
| Western Blot (WB) | WB : 1:500-1:2000 |
| Immunohistochemistry (IHC) | IHC : 1:500-1:2000 |
| Immunofluorescence (IF)/ICC | IF/ICC : 1:50-1:500 |
| It is recommended that this reagent should be titrated in each testing system to obtain optimal results. | |
| Sample-dependent, Check data in validation data gallery. | |
产品信息
85902-1-RR targets TNFRSF13B/CD267 in WB, IHC, IF/ICC, ELISA applications and shows reactivity with mouse samples.
| 经测试应用 | WB, IHC, IF/ICC, ELISA Application Description |
| 经测试反应性 | mouse |
| 免疫原 |
CatNo: Eg1814 Product name: Recombinant Mouse TNFRSF13B/CD267 protein (rFc Tag) Source: mammalian cells-derived, pHZ-KIsec-C-rFc Tag: C-rFc Domain: 5-128 aa of NM_021349.1 Sequence: FCPKDQYWDSSRKSCVSCALTCSQRSQRTCTDFCKFINCRKEQGRYYDHLLGACVSCDSTCTQHPQQCAHFCEKRPRSQANLQPELGRPQAGEVEVRSDNSGRHQGSEHGPGLRLSSDQLTLYC 种属同源性预测 |
| 宿主/亚型 | Rabbit / IgG |
| 抗体类别 | Recombinant |
| 产品类型 | Antibody |
| 全称 | tumor necrosis factor receptor superfamily, member 13b |
| 别名 | CD267, Taci, Tnfrsf13b, Transmembrane activator and CAML interactor, Tumor necrosis factor receptor superfamily member 13B |
| 计算分子量 | 27 kDa |
| 观测分子量 | 30-32 kDa |
| GenBank蛋白编号 | NM_021349.1 |
| 基因名称 | Tnfrsf13b |
| Gene ID (NCBI) | 57916 |
| 偶联类型 | Unconjugated |
| 形式 | Liquid |
| 纯化方式 | Protein A purification |
| UNIPROT ID | Q9ET35 |
| 储存缓冲液 | PBS with 0.02% sodium azide and 50% glycerol, pH 7.3. |
| 储存条件 | Store at -20°C. Stable for one year after shipment. Aliquoting is unnecessary for -20oC storage. |
背景介绍
Tumor necrosis factor receptor superfamily member 13B (TNFRSF13B), also known as CD267 or TACI, is a transmembrane protein of the TNF receptor superfamily found predominantly on B cells (PMID: 10920230). TACI is also expressed on activated T cells, myeloma cells, and expressed by monocytes intracellularly at a low level (PMID: 11429548; 16825497). TNFRSF13B is a receptor for TNFSF13/APRIL/CD256 and TNFSF13B/BAFF/CD257 and mediates calcineurin-dependent activation of NF-AT, as well as activation of NF-κB and AP-1 (PMID: 10956646; 10973284; 9311921). It is involved in the stimulation of B- and T-cell function and the regulation of humoral immunity.
实验方案
| Product Specific Protocols | |
|---|---|
| IF protocol for TNFRSF13B/CD267 antibody 85902-1-RR | Download protocol |
| IHC protocol for TNFRSF13B/CD267 antibody 85902-1-RR | Download protocol |
| WB protocol for TNFRSF13B/CD267 antibody 85902-1-RR | Download protocol |
| Standard Protocols | |
|---|---|
| Click here to view our Standard Protocols |


