验证数据展示
经过测试的应用
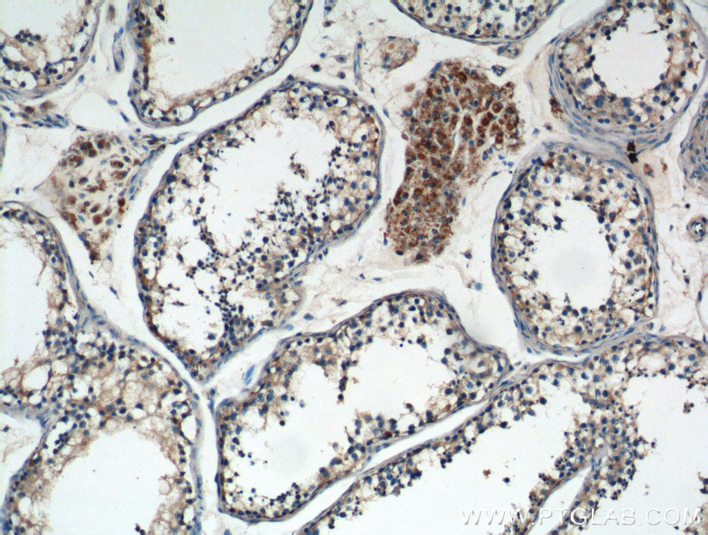
| Positive IHC detected in | human malignant melanoma tissue, human testis tissue, human tonsillitis tissue Note: suggested antigen retrieval with TE buffer pH 9.0; (*) Alternatively, antigen retrieval may be performed with citrate buffer pH 6.0 |
推荐稀释比
| 应用 | 推荐稀释比 |
|---|---|
| Immunohistochemistry (IHC) | IHC : 1:50-1:500 |
| It is recommended that this reagent should be titrated in each testing system to obtain optimal results. | |
| Sample-dependent, Check data in validation data gallery. | |
发表文章中的应用
| WB | See 1 publications below |
| IF | See 3 publications below |
产品信息
13111-1-AP targets TNF beta in WB, IHC, IF, ELISA applications and shows reactivity with human samples.
| 经测试应用 | IHC, ELISA Application Description |
| 文献引用应用 | WB, IF |
| 经测试反应性 | human |
| 文献引用反应性 | human, mouse |
| 免疫原 |
CatNo: Ag3775 Product name: Recombinant human TNFB protein Source: e coli.-derived, PGEX-4T Tag: GST Domain: 35-205 aa of BC034729 Sequence: LPGVGLTPSAAQTARQHPKMHLAHSTLKPAAHLIGDPSKQNSLLWRANTDRAFLQDGFSLSNNSLLVPTSGIYFVYSQVVFSGKAYSPKATSSPLYLAHEVQLFSSQYPFHVPLLSSQKMVYPGLQEPWLHSMYHGAAFQLTQGDQLSTHTDGIPHLVLSPSTVFFGAFAL 种属同源性预测 |
| 宿主/亚型 | Rabbit / IgG |
| 抗体类别 | Polyclonal |
| 产品类型 | Antibody |
| 全称 | lymphotoxin alpha (TNF superfamily, member 1) |
| 别名 | LTA, LT alpha, TNFB, TNF β, Lymphotoxin-alpha |
| 计算分子量 | 205 aa, 22 kDa |
| GenBank蛋白编号 | BC034729 |
| 基因名称 | TNF beta |
| Gene ID (NCBI) | 4049 |
| RRID | AB_2877916 |
| 偶联类型 | Unconjugated |
| 形式 | Liquid |
| 纯化方式 | Antigen affinity purification |
| UNIPROT ID | P01374 |
| 储存缓冲液 | PBS with 0.02% sodium azide and 50% glycerol, pH 7.3. |
| 储存条件 | Store at -20°C. Stable for one year after shipment. Aliquoting is unnecessary for -20oC storage. |
实验方案
| Product Specific Protocols | |
|---|---|
| IHC protocol for TNF beta antibody 13111-1-AP | Download protocol |
| Standard Protocols | |
|---|---|
| Click here to view our Standard Protocols |
发表文章
| Species | Application | Title |
|---|---|---|
Adv Sci (Weinh) Plac1+ Tumor Cell-Treg Interplay Supports Tumorigenesis and Progression of Head and Neck Cancer | ||
Diagnostics (Basel) Loss of Lymphotoxin Alpha-Expressing Memory B Cells Correlates with Metastasis of Human Primary Melanoma. | ||
Phytomedicine Glycosides from Buyang Huanwu Decoction inhibit atherosclerotic inflammation via JAK/STAT signaling pathway | ||
Br J Cancer Machine learning for the identification of neoantigen-reactive CD8 + T cells in gastrointestinal cancer using single-cell sequencing | ||
Microbiol Res Androgen deficiency-induced loss of Lactobacillus salivarius extracellular vesicles is associated with the pathogenesis of osteoporosis |





