验证数据展示
经过测试的应用
| Positive WB detected in | HUVEC cells, HeLa cells |
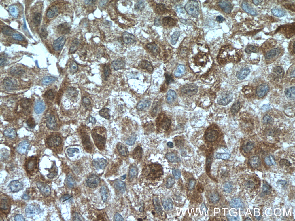
| Positive IHC detected in | human lung cancer tissue, human colon cancer tissue Note: suggested antigen retrieval with TE buffer pH 9.0; (*) Alternatively, antigen retrieval may be performed with citrate buffer pH 6.0 |
推荐稀释比
| 应用 | 推荐稀释比 |
|---|---|
| Western Blot (WB) | WB : 1:1000-1:6000 |
| Immunohistochemistry (IHC) | IHC : 1:150-1:600 |
| It is recommended that this reagent should be titrated in each testing system to obtain optimal results. | |
| Sample-dependent, Check data in validation data gallery. | |
发表文章中的应用
| WB | See 1 publications below |
产品信息
60327-1-Ig targets TNFAIP1 in WB, IHC, ELISA applications and shows reactivity with human samples.
| 经测试应用 | WB, IHC, ELISA Application Description |
| 文献引用应用 | WB |
| 经测试反应性 | human |
| 文献引用反应性 | human |
| 免疫原 |
CatNo: Ag7873 Product name: Recombinant human TNFAIP1 protein Source: e coli.-derived, PET28a Tag: 6*His Domain: 71-239 aa of BC001949 Sequence: ILIDRCGKHFGTILNYLRDDTITLPQNRQEIKELMAEAKYYLIQGLVNMCQSALQDKKDSYQPVCNIPIITSLKEEERLIESSTKPVVKLLYNRSNNKYSYTSNSDDHLLKNIELFDKLSLRFNGRVLFIKDVIGDEICCWSFYGQGRKLAEVCCTSIVYATEKKQTKV 种属同源性预测 |
| 宿主/亚型 | Mouse / IgG1 |
| 抗体类别 | Monoclonal |
| 产品类型 | Antibody |
| 全称 | tumor necrosis factor, alpha-induced protein 1 (endothelial) |
| 别名 | 4F11B5, BTB/POZ domain-containing adapter for CUL3-mediated RhoA degradation protein 2, BTB/POZ domain-containing protein TNFAIP1, EDP1, Tumor necrosis factor, alpha-induced protein 1, endothelial |
| 计算分子量 | 36 kDa |
| 观测分子量 | 36 kDa |
| GenBank蛋白编号 | BC001949 |
| 基因名称 | TNFAIP1 |
| Gene ID (NCBI) | 7126 |
| RRID | AB_2881437 |
| 偶联类型 | Unconjugated |
| 形式 | Liquid |
| 纯化方式 | Protein G purification |
| UNIPROT ID | Q13829 |
| 储存缓冲液 | PBS with 0.02% sodium azide and 50% glycerol, pH 7.3. |
| 储存条件 | Store at -20°C. Stable for one year after shipment. Aliquoting is unnecessary for -20oC storage. |
实验方案
| Product Specific Protocols | |
|---|---|
| IHC protocol for TNFAIP1 antibody 60327-1-Ig | Download protocol |
| WB protocol for TNFAIP1 antibody 60327-1-Ig | Download protocol |
| Standard Protocols | |
|---|---|
| Click here to view our Standard Protocols |





