验证数据展示
经过测试的应用
| Positive WB detected in | U-87 MG cells |
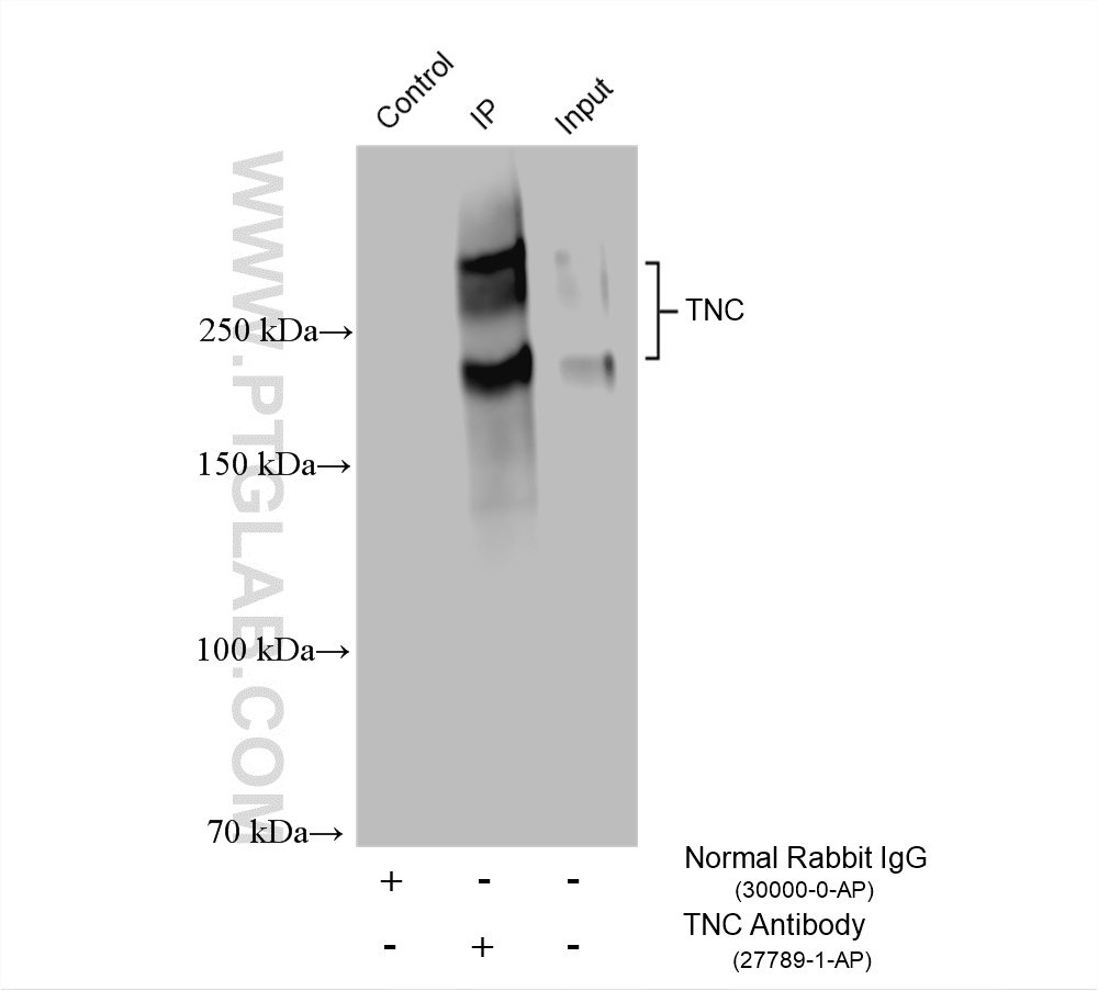
| Positive IP detected in | U-87 MG cells |
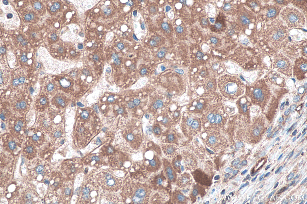
| Positive IHC detected in | human liver cancer tissue, human breast cancer tissue, human lung cancer tissue Note: suggested antigen retrieval with TE buffer pH 9.0; (*) Alternatively, antigen retrieval may be performed with citrate buffer pH 6.0 |
推荐稀释比
| 应用 | 推荐稀释比 |
|---|---|
| Western Blot (WB) | WB : 1:500-1:1000 |
| Immunoprecipitation (IP) | IP : 0.5-4.0 ug for 1.0-3.0 mg of total protein lysate |
| Immunohistochemistry (IHC) | IHC : 1:500-1:2000 |
| It is recommended that this reagent should be titrated in each testing system to obtain optimal results. | |
| Sample-dependent, Check data in validation data gallery. | |
发表文章中的应用
| WB | See 1 publications below |
产品信息
27789-1-AP targets TNC/Tenascin-C in WB, IHC, IP, ELISA applications and shows reactivity with human samples.
| 经测试应用 | WB, IHC, IP, ELISA Application Description |
| 文献引用应用 | WB |
| 经测试反应性 | human |
| 文献引用反应性 | human |
| 免疫原 |
CatNo: Ag27122 Product name: Recombinant human TNC protein Source: e coli.-derived, PGEX-4T Tag: GST Domain: 23-200 aa of BC151843 Sequence: GVLKKVIRHKRQSGVNATLPEENQPVVFNHVYNIKLPVGSQCSVDLESASGEKDLAPPSEPSESFQEHTVDGENQIVFTHRINIPRRACGCAAAPDVKELLSRLEELENLVSSLREQCTAGAGCCLQPATGRLDTRPFCSGRGNFSTEGCGCVCEPGWKGPNCSEPECPGNCHLRGRC 种属同源性预测 |
| 宿主/亚型 | Rabbit / IgG |
| 抗体类别 | Polyclonal |
| 产品类型 | Antibody |
| 全称 | tenascin C |
| 别名 | Tenascin, TNC, Glioma-associated-extracellular matrix antigen, GMEM, GP 150 225 |
| 计算分子量 | 2201 aa, 241 kDa |
| 观测分子量 | 220-350 kDa, 190-240 kDa |
| GenBank蛋白编号 | BC151843 |
| 基因名称 | Tenascin C |
| Gene ID (NCBI) | 3371 |
| RRID | AB_2918131 |
| 偶联类型 | Unconjugated |
| 形式 | Liquid |
| 纯化方式 | Antigen affinity purification |
| UNIPROT ID | P24821 |
| 储存缓冲液 | PBS with 0.02% sodium azide and 50% glycerol, pH 7.3. |
| 储存条件 | Store at -20°C. Stable for one year after shipment. Aliquoting is unnecessary for -20oC storage. |
背景介绍
Tenascin-C (TNC) is a large hexameric extracellular matrix glycoprotein of the tenascin family (PMID: 21818551). It is a multimodular protein containing multiple epidermal growth factor (EGF)-like repeats and fibronectin type III (FN III) domains (PMID: 1719530). Tenascin-C is highly expressed during embryonic development, particularly in the developing central nervous system, around motile cells and at epithelial-mesenchymal interaction sites (PMID: 25738825). In adult tissues, the expression and the distribution of TNC are typically limited under normal physiological conditions. It is upregulated during injury, inflammation, regeneration, and cancer (PMID: 7694605; 25120494). Tenascin-C is a diverse protein that can produce different functions including regulating cell adhesion, migration and proliferation.
实验方案
| Product Specific Protocols | |
|---|---|
| IHC protocol for TNC/Tenascin-C antibody 27789-1-AP | Download protocol |
| IP protocol for TNC/Tenascin-C antibody 27789-1-AP | Download protocol |
| WB protocol for TNC/Tenascin-C antibody 27789-1-AP | Download protocol |
| Standard Protocols | |
|---|---|
| Click here to view our Standard Protocols |








