验证数据展示
产品信息
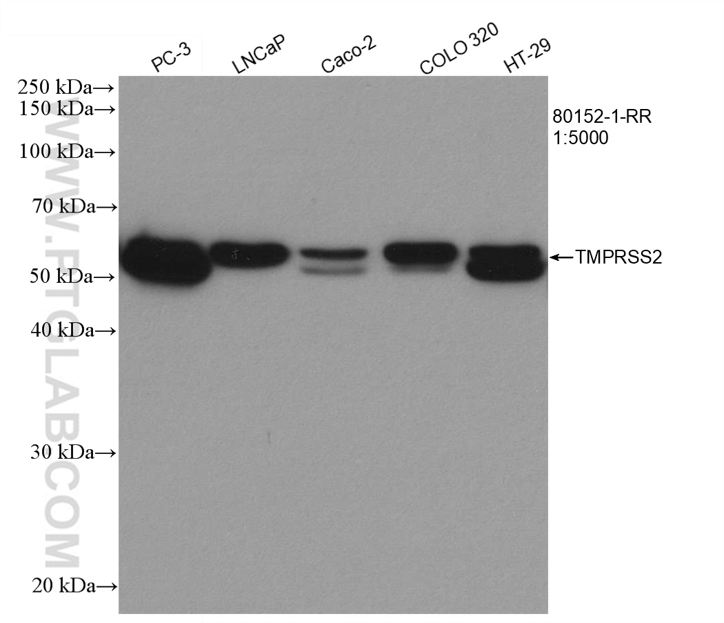
80152-1-PBS targets TMPRSS2 in WB, Indirect ELISA applications and shows reactivity with human samples.
| 经测试应用 | WB, Indirect ELISA Application Description |
| 经测试反应性 | human |
| 免疫原 |
CatNo: Ag5824 Product name: Recombinant human TMPRSS2 protein Source: e coli.-derived, PET28a Tag: 6*His Domain: 108-492 aa of BC051839 Sequence: FMGSKCSNSGIECDSSGTCINPSNWCDGVSHCPGGEDENRCVRLYGPNFILQVYSSQRKSWHPVCQDDWNENYGRAACRDMGYKNNFYSSQGIVDDSGSTSFMKLNTSAGNVDIYKKLYHSDACSSKAVVSLRCIACGVNLNSSRQSRIVGGESALPGAWPWQVSLHVQNVHVCGGSIITPEWIVTAAHCVEKPLNNPWHWTAFAGILRQSFMFYGAGYQVEKVISHPNYDSKTKNNDIALMKLQKPLTFNDLVKPVCLPNPGMMLQPEQLCWISGWGATEEKGKTSEVLNAAKVLLIETQRCNSRYVYDNLITPAMICAGFLQGNVDSCQGDSGGPLVTSKNNIWWLIGDTSWGSGCAKAYRPGVYGNVMVFTDWIYRQMRADG 种属同源性预测 |
| 宿主/亚型 | Rabbit / IgG |
| 抗体类别 | Recombinant |
| 产品类型 | Antibody |
| 全称 | transmembrane protease, serine 2 |
| 别名 | 7I5, EC:3.4.21.122, PP9284, PRSS10, Transmembrane protease serine 2 catalytic chain |
| 计算分子量 | 54 kDa |
| 观测分子量 | 55 kDa |
| GenBank蛋白编号 | BC051839 |
| 基因名称 | TMPRSS2 |
| Gene ID (NCBI) | 7113 |
| RRID | AB_2935544 |
| 偶联类型 | Unconjugated |
| 形式 | Liquid |
| 纯化方式 | Protein A purification |
| UNIPROT ID | O15393 |
| 储存缓冲液 | PBS only, pH 7.3. |
| 储存条件 | Store at -80°C. The product is shipped with ice packs. Upon receipt, store it immediately at -80°C |
背景介绍
TMPRSS2, also named as PRSS10, is a type II transmembrane serine protease which is highly expressed by the epithelium of the human prostate gland. TMPRSS2 may contribute to prostate tumor metastasis via the activation of PAR-2. TMPRSS2 is a Serine protease that proteolytically cleaves and activates the viral spike glycoproteins which facilitate virus-cell membrane fusions. TMPRSS2 as a host cell factor that is critical for spread of several clinically relevant viruses, including influenza A viruses and coronaviruses (PMID: 23468491, 30626688). SARS-CoV-2 uses the SARS-CoV receptor ACE2 for entry and the serine protease TMPRSS2 for S protein priming. The initial spike protein priming by TMPRSS2 is essential for entry and viral spread of SARS-CoV-2 through interaction with the ACE2 receptor (PMID: 32142651, 30626688 ). Camostat mesylate, an inhibitor of TMPRSS2, can block SARS-CoV-2 infection of lung cells (PMID: 32142651). The MW of TMPRSS2 is about 65-70 kDa. It can be cleaved into some chains with MW 54 kDa, 31 kDa and 26 kDa (PMID: 25734995, 20382709, 26018085).
