验证数据展示
经过测试的应用
| Positive WB detected in | COLO 320 cells, Caco-2 cells, T-47D cells |
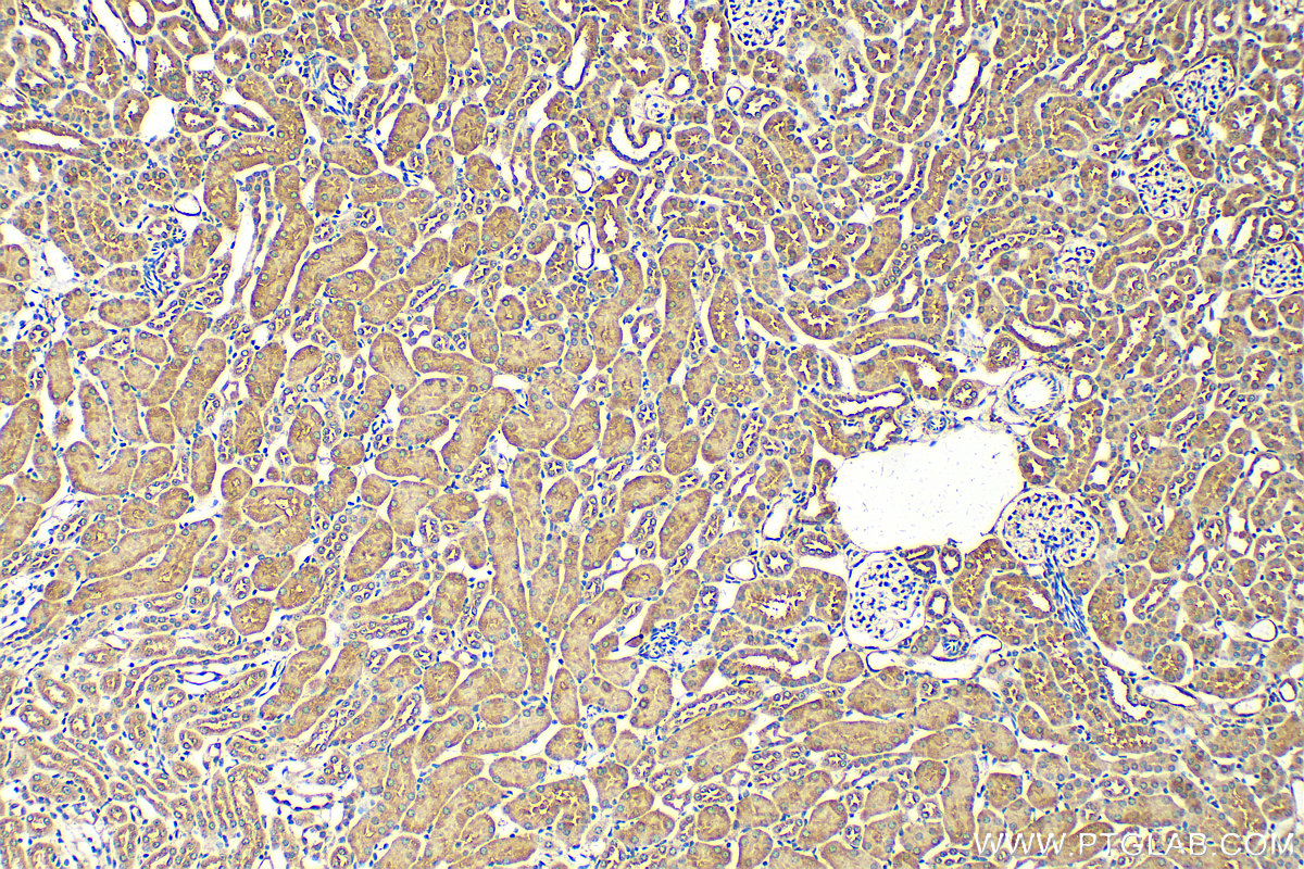
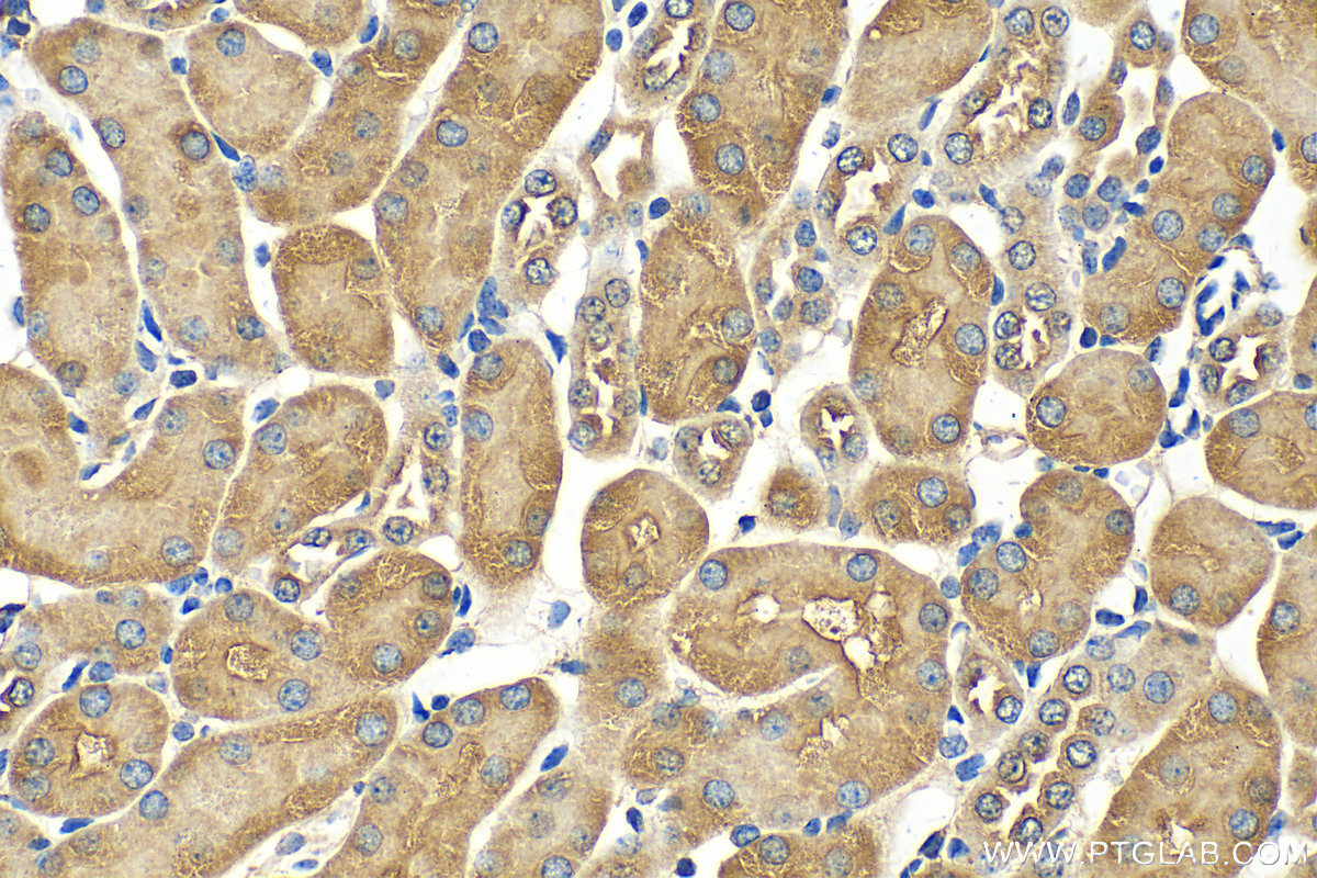
| Positive IHC detected in | human colon cancer tissue, human prostate cancer tissue, mouse kidney tissue Note: suggested antigen retrieval with TE buffer pH 9.0; (*) Alternatively, antigen retrieval may be performed with citrate buffer pH 6.0 |
| Positive IF-P detected in | human tonsillitis tissue |
推荐稀释比
| 应用 | 推荐稀释比 |
|---|---|
| Western Blot (WB) | WB : 1:500-1:2000 |
| Immunohistochemistry (IHC) | IHC : 1:100-1:400 |
| Immunofluorescence (IF)-P | IF-P : 1:50-1:500 |
| It is recommended that this reagent should be titrated in each testing system to obtain optimal results. | |
| Sample-dependent, Check data in validation data gallery. | |
产品信息
14437-1-AP targets TMPRSS2 in WB, IHC, IF-P, ELISA applications and shows reactivity with human, mouse, rat samples.
| 经测试应用 | WB, IHC, IF-P, ELISA Application Description |
| 文献引用应用 | WB, IHC, IF |
| 经测试反应性 | human, mouse, rat |
| 文献引用反应性 | human, mouse, monkey |
| 免疫原 |
CatNo: Ag5824 Product name: Recombinant human TMPRSS2 protein Source: e coli.-derived, PET28a Tag: 6*His Domain: 108-492 aa of BC051839 Sequence: FMGSKCSNSGIECDSSGTCINPSNWCDGVSHCPGGEDENRCVRLYGPNFILQVYSSQRKSWHPVCQDDWNENYGRAACRDMGYKNNFYSSQGIVDDSGSTSFMKLNTSAGNVDIYKKLYHSDACSSKAVVSLRCIACGVNLNSSRQSRIVGGESALPGAWPWQVSLHVQNVHVCGGSIITPEWIVTAAHCVEKPLNNPWHWTAFAGILRQSFMFYGAGYQVEKVISHPNYDSKTKNNDIALMKLQKPLTFNDLVKPVCLPNPGMMLQPEQLCWISGWGATEEKGKTSEVLNAAKVLLIETQRCNSRYVYDNLITPAMICAGFLQGNVDSCQGDSGGPLVTSKNNIWWLIGDTSWGSGCAKAYRPGVYGNVMVFTDWIYRQMRADG 种属同源性预测 |
| 宿主/亚型 | Rabbit / IgG |
| 抗体类别 | Polyclonal |
| 产品类型 | Antibody |
| 全称 | transmembrane protease, serine 2 |
| 别名 | Transmembrane protease serine 2 non-catalytic chain, Transmembrane protease serine 2 catalytic chain, PRSS10, PP9284, EC:3.4.21.122 |
| 计算分子量 | 54 kDa |
| 观测分子量 | 70, 54, 31 kDa |
| GenBank蛋白编号 | BC051839 |
| 基因名称 | TMPRSS2 |
| Gene ID (NCBI) | 7113 |
| RRID | AB_2878058 |
| 偶联类型 | Unconjugated |
| 形式 | Liquid |
| 纯化方式 | Antigen affinity purification |
| UNIPROT ID | O15393 |
| 储存缓冲液 | PBS with 0.02% sodium azide and 50% glycerol, pH 7.3. |
| 储存条件 | Store at -20°C. Stable for one year after shipment. Aliquoting is unnecessary for -20oC storage. |
背景介绍
TMPRSS2, also named as PRSS10, is a type II transmembrane serine protease which is highly expressed by the epithelium of the human prostate gland. TMPRSS2 may contribute to prostate tumour metastasis via the activation of PAR-2. TMPRSS2 is a Serine protease that proteolytically cleaves and activates the viral spike glycoproteins which facilitate virus-cell membrane fusions. TMPRSS2 is a host cell factor that is critical for the spread of several clinically relevant viruses, including influenza A viruses and coronaviruses (PMID: 23468491, 30626688). SARS-CoV-2 uses the SARS-CoV receptor ACE2 for entry and the serine protease TMPRSS2 for S protein priming. The initial spike protein priming by TMPRSS2 is essential for the entry and viral spread of SARS-CoV-2 through interaction with the ACE2 receptor (PMID: 32142651, 30626688 ). Camostat mesylate, an inhibitor of TMPRSS2, can block SARS-CoV-2 infection of lung cells (PMID: 32142651). The MW of TMPRSS2 is about 65-70 kDa. It can be cleaved into some chains with MW 54 kDa, 31 kDa and 26 kDa (PMID: 25734995, 20382709, 26018085).
实验方案
| Product Specific Protocols | |
|---|---|
| IF protocol for TMPRSS2 antibody 14437-1-AP | Download protocol |
| IHC protocol for TMPRSS2 antibody 14437-1-AP | Download protocol |
| WB protocol for TMPRSS2 antibody 14437-1-AP | Download protocol |
| Standard Protocols | |
|---|---|
| Click here to view our Standard Protocols |
发表文章
| Species | Application | Title |
|---|---|---|
Nat Microbiol SARS-CoV-2 Omicron is an immune escape variant with an altered cell entry pathway. | ||
Allergy Distinct expression of SARS-CoV-2 receptor ACE2 correlates with endotypes of chronic rhinosinusitis with nasal polyps. | ||
Eur Respir J Influenza virus infection increases ACE2 expression and shedding in human small airway epithelial cells. | ||
Theranostics Environmentally-induced mdig contributes to the severity of COVID-19 through fostering expression of SARS-CoV-2 receptor NRPs and glycan metabolism. | ||
Mol Ther Nucleic Acids The accessible promoter-mediated supplementary effect of host factors provides new insight into the tropism of SARS-CoV-2. | ||
PLoS Pathog Infection of human Nasal Epithelial Cells with SARS-CoV-2 and a 382-nt deletion isolate lacking ORF8 reveals similar viral kinetics and host transcriptional profiles. |











