验证数据展示
经过测试的应用
| Positive WB detected in | MCF-7 cells |
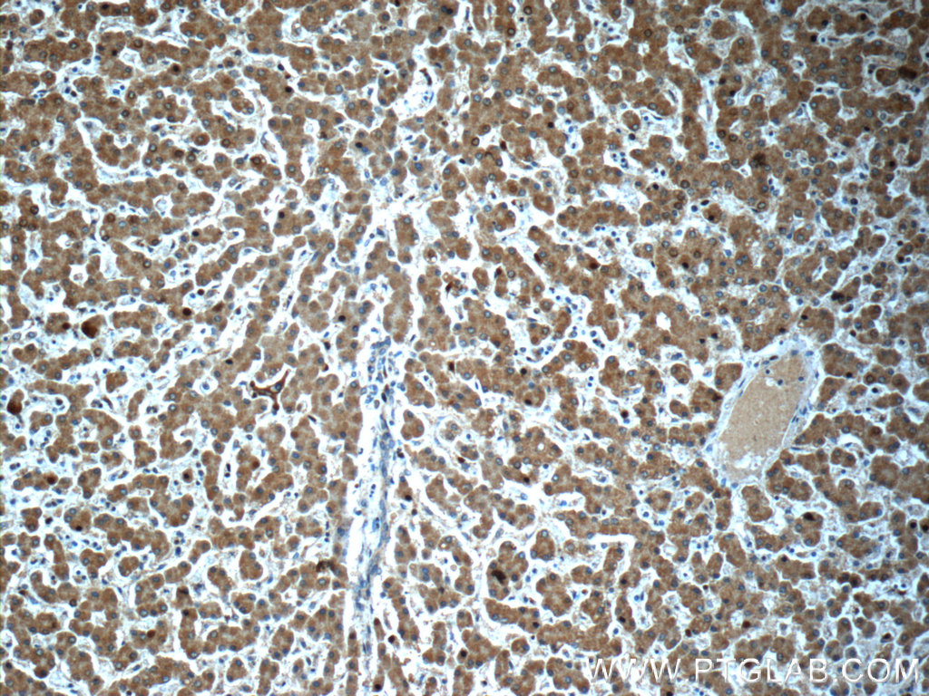
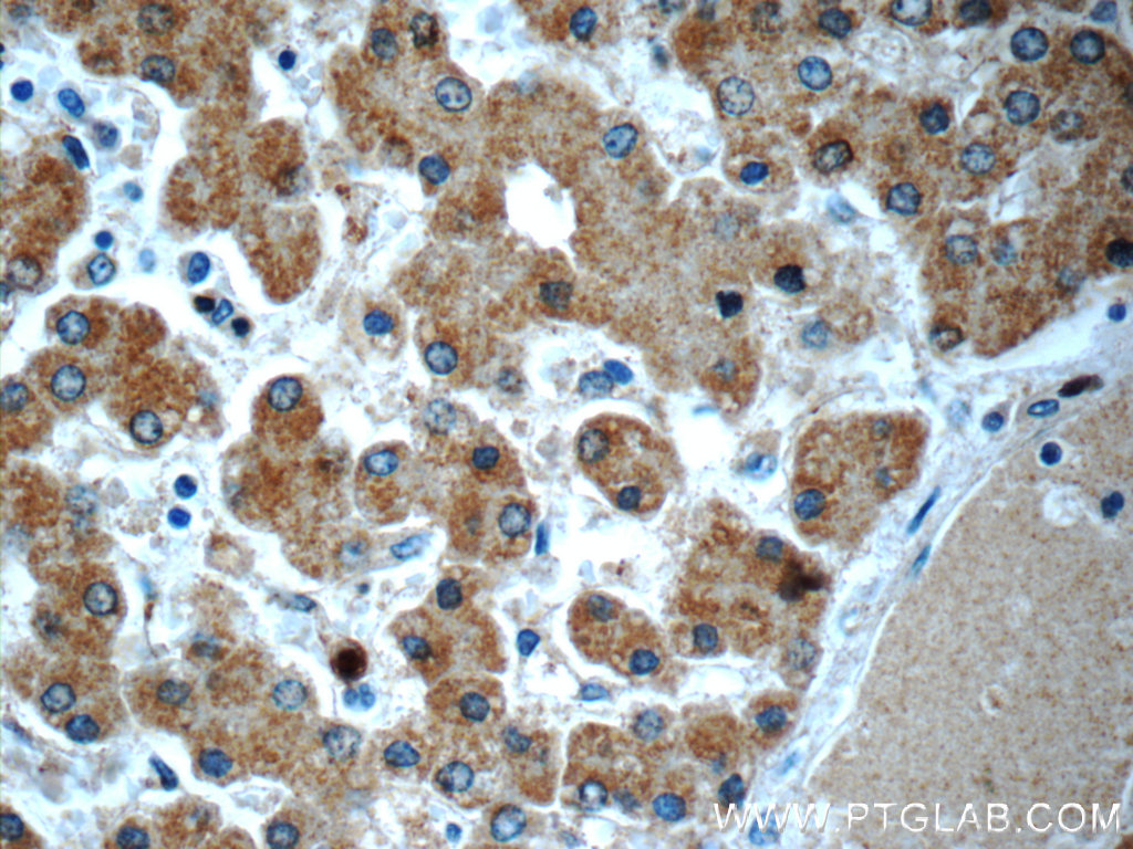
| Positive IHC detected in | human breast cancer tissue, human liver tissue Note: suggested antigen retrieval with TE buffer pH 9.0; (*) Alternatively, antigen retrieval may be performed with citrate buffer pH 6.0 |
| Positive IF/ICC detected in | HepG2 cells |
推荐稀释比
| 应用 | 推荐稀释比 |
|---|---|
| Western Blot (WB) | WB : 1:200-1:1000 |
| Immunohistochemistry (IHC) | IHC : 1:20-1:200 |
| Immunofluorescence (IF)/ICC | IF/ICC : 1:10-1:100 |
| It is recommended that this reagent should be titrated in each testing system to obtain optimal results. | |
| Sample-dependent, Check data in validation data gallery. | |
产品信息
24134-1-AP targets TMEM59 in WB, IHC, IF/ICC, IP, CoIP, ELISA applications and shows reactivity with human samples.
| 经测试应用 | WB, IHC, IF/ICC, ELISA Application Description |
| 文献引用应用 | WB, IP, CoIP |
| 经测试反应性 | human |
| 文献引用反应性 | human, bovine |
| 免疫原 |
CatNo: Ag21150 Product name: Recombinant human TMEM59 protein Source: e coli.-derived, PET30a Tag: 6*His Domain: 1-324 aa of BC016374 Sequence: MAAPKGSLWVRTQLGLPPLLLLTMALAGGSGTASAEAFDSVLGDTASCHRACQLTYPLHTYPKEEELYACQRGCRLFSICQFVDDGIDLNRTKLECESACTEAYSQSDEQYACHLGCQNQLPFAELRQEQLMSLMPKMHLLFPLTLVRSFWSDMMDSAQSFITSSWTFYLQADDGKIVIFQSKPEIQYAPHLEQEPTNLRESSLSKMSSDLQMRNSQAHRNFLEDGESDGFLRCLSLNSGWILTTTLVLSVMVLLWICCATVATAVEQYVPSEKLSIYGDLEFMNEQKLNRYPASSLVVVRSKTEDHEEAGPLPTKVNLAHSEI 种属同源性预测 |
| 宿主/亚型 | Rabbit / IgG |
| 抗体类别 | Polyclonal |
| 产品类型 | Antibody |
| 全称 | transmembrane protein 59 |
| 别名 | C1orf8, HSPC001, Liver membrane bound protein, TMEM59, transmembrane protein 59, UNQ169/PRO195 |
| 计算分子量 | 36 kDa |
| 观测分子量 | 41 kDa |
| GenBank蛋白编号 | BC016374 |
| 基因名称 | TMEM59 |
| Gene ID (NCBI) | 9528 |
| RRID | AB_2879439 |
| 偶联类型 | Unconjugated |
| 形式 | Liquid |
| 纯化方式 | Antigen affinity purification |
| UNIPROT ID | Q9BXS4 |
| 储存缓冲液 | PBS with 0.02% sodium azide and 50% glycerol, pH 7.3. |
| 储存条件 | Store at -20°C. Stable for one year after shipment. Aliquoting is unnecessary for -20oC storage. |
背景介绍
TMEM59 is a regulator of autophagy in response to bacterial infection. Overexpression of this protein has been found to promote apoptosis in a glioma cell line. Alternative splicing of TMEM59 results in multiple transcript variants.
实验方案
| Product Specific Protocols | |
|---|---|
| IF protocol for TMEM59 antibody 24134-1-AP | Download protocol |
| IHC protocol for TMEM59 antibody 24134-1-AP | Download protocol |
| WB protocol for TMEM59 antibody 24134-1-AP | Download protocol |
| Standard Protocols | |
|---|---|
| Click here to view our Standard Protocols |
发表文章
| Species | Application | Title |
|---|---|---|
Mol Cell An mTORC1-GRASP55 signaling axis controls unconventional secretion to reshape the extracellular proteome upon stress. | ||
J Extracell Vesicles A multi-omics approach identifies pancreatic cancer cell extracellular vesicles as mediators of the unfolded protein response in normal pancreatic epithelial cells. | ||
Nat Commun Progenitor translatome changes coordinated by Tsc1 increase perception of Wnt signals to end nephrogenesis. | ||
J Ethnopharmacol In vivo and in vitro anti-inflammation of Rhapontici Radix extract on mastitis via TMEM59 and GPR161 |





