验证数据展示
经过测试的应用
| Positive WB detected in | mouse brain tissue, mouse cerebellum tissue, rat brain tissue, rat cerebellum tissue |
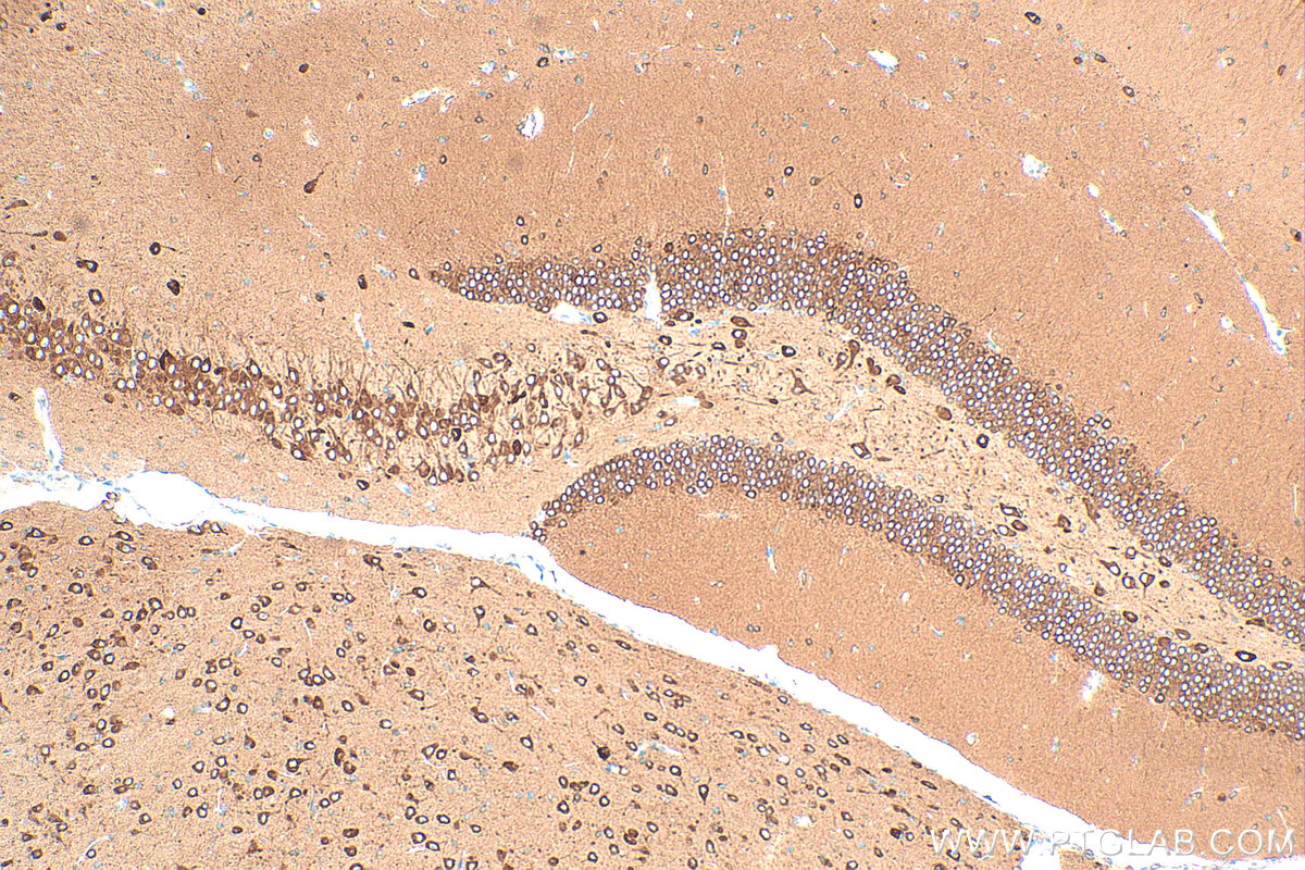
| Positive IHC detected in | mouse brain tissue Note: suggested antigen retrieval with TE buffer pH 9.0; (*) Alternatively, antigen retrieval may be performed with citrate buffer pH 6.0 |
推荐稀释比
| 应用 | 推荐稀释比 |
|---|---|
| Western Blot (WB) | WB : 1:20000-1:100000 |
| Immunohistochemistry (IHC) | IHC : 1:200-1:800 |
| It is recommended that this reagent should be titrated in each testing system to obtain optimal results. | |
| Sample-dependent, Check data in validation data gallery. | |
发表文章中的应用
| WB | See 1 publications below |
| IF | See 1 publications below |
产品信息
24786-1-AP targets TMEM35 in WB, IHC, IF, ELISA applications and shows reactivity with human, mouse samples.
| 经测试应用 | WB, IHC, ELISA Application Description |
| 文献引用应用 | WB, IF |
| 经测试反应性 | human, mouse |
| 文献引用反应性 | human |
| 免疫原 |
CatNo: Ag20589 Product name: Recombinant human TMEM35 protein Source: e coli.-derived, PGEX-4T Tag: GST Domain: 125-167 aa of BC078658 Sequence: LTCRLLIARKPEDRSSEKKPLPGNAEEQPSLYEKAPQGKVKVS 种属同源性预测 |
| 宿主/亚型 | Rabbit / IgG |
| 抗体类别 | Polyclonal |
| 产品类型 | Antibody |
| 全称 | transmembrane protein 35 |
| 别名 | NACHO, Novel acetylcholine receptor chaperone, TMEM35A, transmembrane protein 35 |
| 计算分子量 | 167 aa, 18 kDa |
| 观测分子量 | 20 kDa |
| GenBank蛋白编号 | BC078658 |
| 基因名称 | TMEM35 |
| Gene ID (NCBI) | 59353 |
| RRID | AB_2879723 |
| 偶联类型 | Unconjugated |
| 形式 | Liquid |
| 纯化方式 | Antigen affinity purification |
| UNIPROT ID | Q53FP2 |
| 储存缓冲液 | PBS with 0.02% sodium azide and 50% glycerol, pH 7.3. |
| 储存条件 | Store at -20°C. Stable for one year after shipment. Aliquoting is unnecessary for -20oC storage. |
背景介绍
TMEM35 is a 167-amino acid peptide with a putative NH2 terminal signal peptide, three hydrophobic transmembrane domains, and a nerve growth factor binding domain.TMEM35is 18kDa and has been shown to localize to membrane-bound structures within cells.
实验方案
| Product Specific Protocols | |
|---|---|
| IHC protocol for TMEM35 antibody 24786-1-AP | Download protocol |
| WB protocol for TMEM35 antibody 24786-1-AP | Download protocol |
| Standard Protocols | |
|---|---|
| Click here to view our Standard Protocols |
发表文章
| Species | Application | Title |
|---|---|---|
Am J Respir Cell Mol Biol Nicotine-induced ER Stress and ASM Cell Proliferation is Mediated by α7nAChR and Chaperones-RIC-3 and TMEM35 | ||


