验证数据展示
经过测试的应用
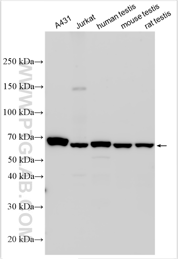
| Positive WB detected in | A431 cells, Jurkat cells, human testis tissue, mouse testis tissue, rat testis tissue |
推荐稀释比
| 应用 | 推荐稀释比 |
|---|---|
| Western Blot (WB) | WB : 1:1000-1:8000 |
| It is recommended that this reagent should be titrated in each testing system to obtain optimal results. | |
| Sample-dependent, Check data in validation data gallery. | |
产品信息
33203-1-AP targets TMEM209 in WB, ELISA applications and shows reactivity with human, mouse, rat samples.
| 经测试应用 | WB, ELISA Application Description |
| 经测试反应性 | human, mouse, rat |
| 免疫原 |
CatNo: Ag34162 Product name: Recombinant human TMEM209 protein Source: e coli.-derived, PET28a Tag: 6*His Domain: 210-362 aa of BC045618 Sequence: VESSGLRSRYRSSPTVYNSPTDKEDYMTDLRTLDTFLRSEEEKQHRVKLGSPDSTSPSSSPTFWNYSRSMGDYAQTLKKFQYQLACRSQAPCANKDEADLSSKQAAEEVWARVAMNRQLLDHMDSWTAKFRNWINETILVPLVQEIESVSTQM 种属同源性预测 |
| 宿主/亚型 | Rabbit / IgG |
| 抗体类别 | Polyclonal |
| 产品类型 | Antibody |
| 全称 | transmembrane protein 209 |
| 别名 | Transmembrane protein 209 |
| 计算分子量 | 561 aa, 63 kDa |
| 观测分子量 | 63 kDa |
| GenBank蛋白编号 | BC045618 |
| 基因名称 | TMEM209 |
| Gene ID (NCBI) | 84928 |
| 偶联类型 | Unconjugated |
| 形式 | Liquid |
| 纯化方式 | Antigen affinity Purification |
| UNIPROT ID | Q96SK2 |
| 储存缓冲液 | PBS with 0.02% sodium azide and 50% glycerol, pH 7.3. |
| 储存条件 | Store at -20°C. Stable for one year after shipment. Aliquoting is unnecessary for -20oC storage. |
背景介绍
Transmembrane protein 209 (TMEM209) is a nuclear envelope protein that interacts with nucleoporin protein NUP205, and may be involved in nuclear transport of various nuclear proteins in addition to MYC (PMID: 22719065). Additionally, TMEM209 is implicated in the regulation of the Wnt/β-catenin signaling pathway, which is often activated in hepatocellular carcinoma (HCC) and contributes to tumor progression (PMID: 39414762).
实验方案
| Product Specific Protocols | |
|---|---|
| WB protocol for TMEM209 antibody 33203-1-AP | Download protocol |
| Standard Protocols | |
|---|---|
| Click here to view our Standard Protocols |
