验证数据展示
经过测试的应用
| Positive WB detected in | HepG2 cells, L02 cells, MCF-7 cells, mouse liver tissue |
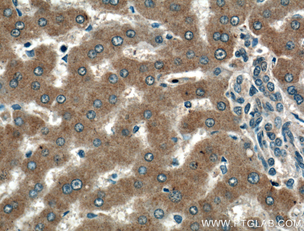
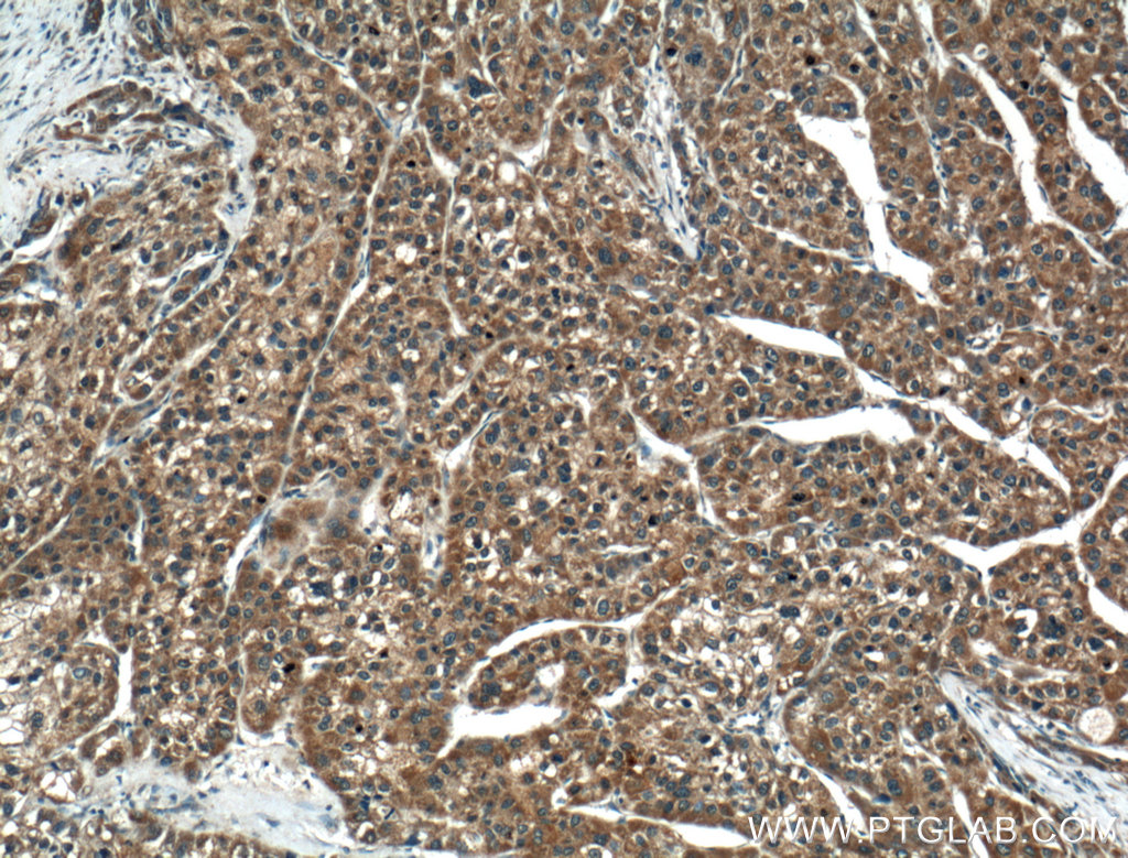
| Positive IHC detected in | human liver tissue, human liver cancer tissue Note: suggested antigen retrieval with TE buffer pH 9.0; (*) Alternatively, antigen retrieval may be performed with citrate buffer pH 6.0 |
推荐稀释比
| 应用 | 推荐稀释比 |
|---|---|
| Western Blot (WB) | WB : 1:500-1:1000 |
| Immunohistochemistry (IHC) | IHC : 1:100-1:400 |
| It is recommended that this reagent should be titrated in each testing system to obtain optimal results. | |
| Sample-dependent, Check data in validation data gallery. | |
发表文章中的应用
| WB | See 2 publications below |
产品信息
21355-1-AP targets TMEM195 in WB, IHC, ELISA applications and shows reactivity with human, mouse samples.
| 经测试应用 | WB, IHC, ELISA Application Description |
| 文献引用应用 | WB |
| 经测试反应性 | human, mouse |
| 文献引用反应性 | human |
| 免疫原 |
CatNo: Ag15774 Product name: Recombinant human TMEM195 protein Source: e coli.-derived, PET28a Tag: 6*His Domain: 132-333 aa of BC108676 Sequence: HRMAHEVNIMWAGHQTHHSSEDYNLSTALRQSVLQIYTSWIFYSPLALFIPPSVYAVHLQFNLLYQFWIHTEVINNLGPLELILNTPSHHRVHHGRNRYCIDKNYAGVLIIWDKIFGTFEAENEKVVYGLTHPINTFEPIKVQFHHLFSIWTTFWATPGFFNKFSVIFKGPGWGPGKPRLGLSEEIPEVTGKEVPFSSSSSQ 种属同源性预测 |
| 宿主/亚型 | Rabbit / IgG |
| 抗体类别 | Polyclonal |
| 产品类型 | Antibody |
| 全称 | transmembrane protein 195 |
| 别名 | Alkylglycerol monooxygenase, TMEM195, transmembrane protein 195 |
| 计算分子量 | 445 aa, 52 kDa |
| 观测分子量 | 52 kDa |
| GenBank蛋白编号 | BC108676 |
| 基因名称 | TMEM195 |
| Gene ID (NCBI) | 392636 |
| RRID | AB_2878845 |
| 偶联类型 | Unconjugated |
| 形式 | Liquid |
| 纯化方式 | Antigen affinity purification |
| UNIPROT ID | Q6ZNB7 |
| 储存缓冲液 | PBS with 0.02% sodium azide and 50% glycerol, pH 7.3. |
| 储存条件 | Store at -20°C. Stable for one year after shipment. Aliquoting is unnecessary for -20oC storage. |
实验方案
| Product Specific Protocols | |
|---|---|
| IHC protocol for TMEM195 antibody 21355-1-AP | Download protocol |
| WB protocol for TMEM195 antibody 21355-1-AP | Download protocol |
| Standard Protocols | |
|---|---|
| Click here to view our Standard Protocols |
发表文章
| Species | Application | Title |
|---|---|---|
J Infect Dis Biochemical Characterization of AGMO Variants Implicated in Relapses in Visceral Leishmaniasis. | ||
Hum Genet Biallelic variants in AGMO with diminished enzyme activity are associated with a neurodevelopmental disorder. |






