验证数据展示
经过测试的应用
| Positive WB detected in | HeLa cells, U2OS cells |
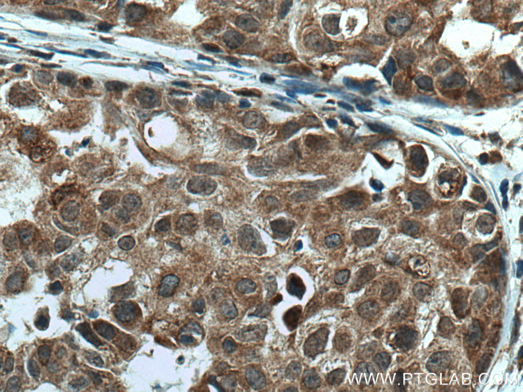
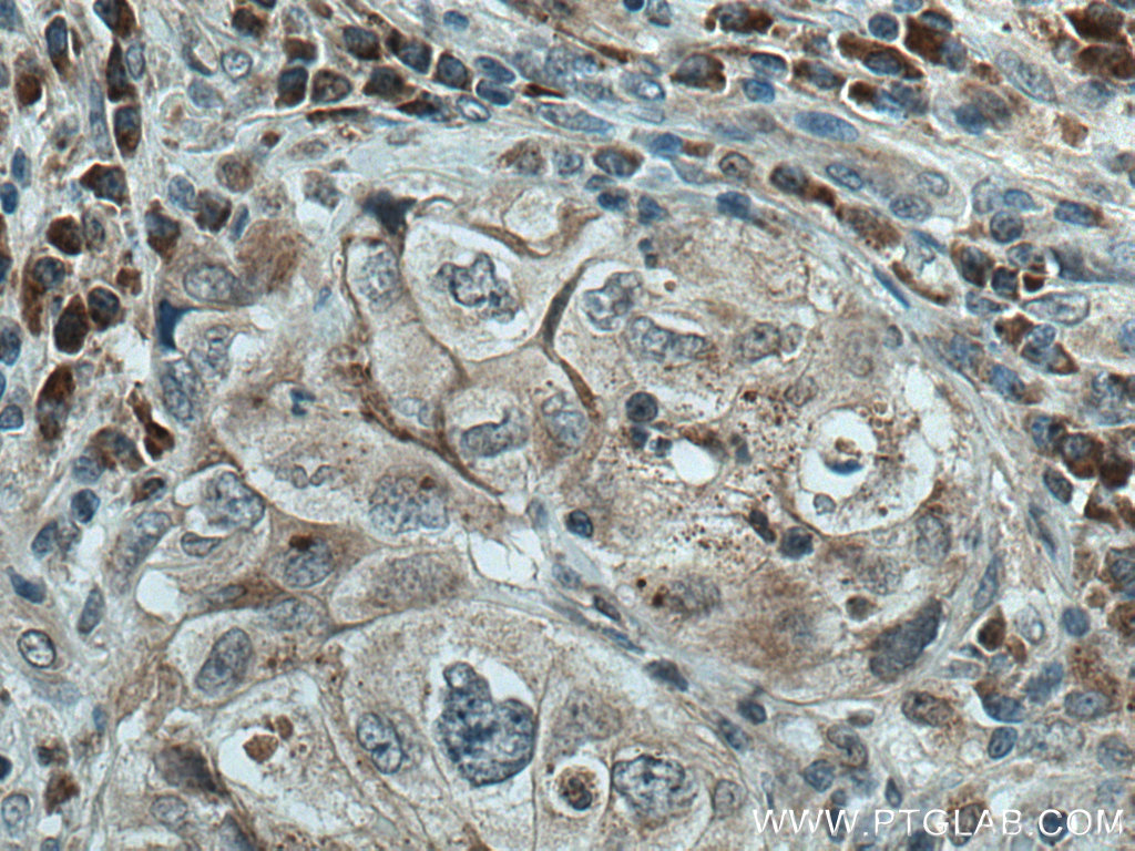
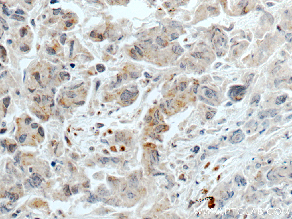
| Positive IHC detected in | human breast cancer tissue, human liver cancer tissue, human lung cancer tissue, human prostate cancer tissue, mouse cerebellum tissue Note: suggested antigen retrieval with TE buffer pH 9.0; (*) Alternatively, antigen retrieval may be performed with citrate buffer pH 6.0 |
推荐稀释比
| 应用 | 推荐稀释比 |
|---|---|
| Western Blot (WB) | WB : 1:1000-1:4000 |
| Immunohistochemistry (IHC) | IHC : 1:50-1:500 |
| It is recommended that this reagent should be titrated in each testing system to obtain optimal results. | |
| Sample-dependent, Check data in validation data gallery. | |
产品信息
28263-1-AP targets TMEM192 in WB, IHC, IP, ELISA applications and shows reactivity with Human, mouse samples.
| 经测试应用 | WB, IHC, ELISA Application Description |
| 文献引用应用 | WB, IHC, IP |
| 经测试反应性 | Human, mouse |
| 文献引用反应性 | human |
| 免疫原 |
CatNo: Ag27576 Product name: Recombinant human TMEM192 protein Source: e coli.-derived, PGEX-4T Tag: GST Domain: 193-271 aa of BC036301 Sequence: KIRRFNKAKPEPDILEEEKIYAYPSNITSETGFRTISSLEEIVEKQGDTIEYLKRHNALLSKRLLALTSSDLGCQPSRT 种属同源性预测 |
| 宿主/亚型 | Rabbit / IgG |
| 抗体类别 | Polyclonal |
| 产品类型 | Antibody |
| 全称 | transmembrane protein 192 |
| 别名 | FLJ38482, TMEM192, transmembrane protein 192 |
| 观测分子量 | 30 kDa |
| GenBank蛋白编号 | BC036301 |
| 基因名称 | TMEM192 |
| Gene ID (NCBI) | 201931 |
| RRID | AB_2881099 |
| 偶联类型 | Unconjugated |
| 形式 | Liquid |
| 纯化方式 | Antigen affinity purification |
| UNIPROT ID | Q8IY95 |
| 储存缓冲液 | PBS with 0.02% sodium azide and 50% glycerol, pH 7.3. |
| 储存条件 | Store at -20°C. Stable for one year after shipment. Aliquoting is unnecessary for -20oC storage. |
背景介绍
Transmembrane protein 192 (TMEM192) has been previously identified in proteomic analyses of lysosomal membranes.TMEM192 shows a wide expression pattern in mouse tissues. Interestingly, TMEM192 was found to be highly expressed in tumor cell lines, while it was not expressed or detected at low levels in normal cell lines(PMID: 22736246). TMEM192 can be detected as 30 kDa.
实验方案
| Product Specific Protocols | |
|---|---|
| IHC protocol for TMEM192 antibody 28263-1-AP | Download protocol |
| WB protocol for TMEM192 antibody 28263-1-AP | Download protocol |
| Standard Protocols | |
|---|---|
| Click here to view our Standard Protocols |
发表文章
| Species | Application | Title |
|---|---|---|
Nat Commun Activation of lysophagy by a TBK1-SCFFBXO3-TMEM192-TAX1BP1 axis in response to lysosomal damage | ||
Mol Ther Polyphyllin D "Punctures" Hypertrophic Lysosomes to Reverse Drug Resistance of Hepatocellular Carcinoma by Targeting Acid Sphingomyelinase |










