验证数据展示
经过测试的应用
| Positive WB detected in | mouse heart tissue, HeLa cells, U-251 cells, mouse skeletal muscle tissue, rat heart tissue, rat skeletal muscle tissue |
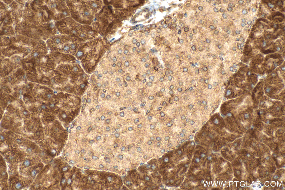
| Positive IHC detected in | mouse skeletal muscle tissue, mouse pancreas tissue Note: suggested antigen retrieval with TE buffer pH 9.0; (*) Alternatively, antigen retrieval may be performed with citrate buffer pH 6.0 |
| Positive IF-P detected in | mouse skeletal muscle tissue |
推荐稀释比
| 应用 | 推荐稀释比 |
|---|---|
| Western Blot (WB) | WB : 1:20000-1:100000 |
| Immunohistochemistry (IHC) | IHC : 1:500-1:2000 |
| Immunofluorescence (IF)-P | IF-P : 1:50-1:500 |
| It is recommended that this reagent should be titrated in each testing system to obtain optimal results. | |
| Sample-dependent, Check data in validation data gallery. | |
产品信息
31438-1-AP targets TMEM109 in WB, IHC, IF-P, ELISA applications and shows reactivity with human, mouse, rat samples.
| 经测试应用 | WB, IHC, IF-P, ELISA Application Description |
| 经测试反应性 | human, mouse, rat |
| 免疫原 |
CatNo: Ag34866 Product name: Recombinant human TMEM109 protein Source: e coli.-derived, PGEX-4T Tag: GST Domain: 194-243 aa of BC001309 Sequence: ILYALLSRLTGSRASGAQLEAKVRGLERQVEELRWRQRRAAKGARSVEEE 种属同源性预测 |
| 宿主/亚型 | Rabbit / IgG |
| 抗体类别 | Polyclonal |
| 产品类型 | Antibody |
| 全称 | transmembrane protein 109 |
| 别名 | Mg23, Mitsugumin 23, transmembrane protein 109 |
| 计算分子量 | 26 kDa |
| 观测分子量 | 22 kDa |
| GenBank蛋白编号 | BC001309 |
| 基因名称 | TMEM109 |
| Gene ID (NCBI) | 79073 |
| RRID | AB_3669983 |
| 偶联类型 | Unconjugated |
| 形式 | Liquid |
| 纯化方式 | Antigen affinity Purification |
| UNIPROT ID | Q9BVC6 |
| 储存缓冲液 | PBS with 0.02% sodium azide and 50% glycerol, pH 7.3. |
| 储存条件 | Store at -20°C. Stable for one year after shipment. Aliquoting is unnecessary for -20oC storage. |
背景介绍
TMEM109, also known as mg23 or mitsugumin-23, is a transmembrane protein localized to the sarcoplasmic/endoplasmic reticulum and nuclear membranes. TMEM109 is a ball-shaped cation channel in the sarcoplasmic reticulum (SR).
实验方案
| Product Specific Protocols | |
|---|---|
| IF protocol for TMEM109 antibody 31438-1-AP | Download protocol |
| IHC protocol for TMEM109 antibody 31438-1-AP | Download protocol |
| WB protocol for TMEM109 antibody 31438-1-AP | Download protocol |
| Standard Protocols | |
|---|---|
| Click here to view our Standard Protocols |






