验证数据展示
经过测试的应用
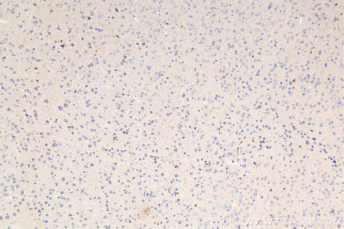
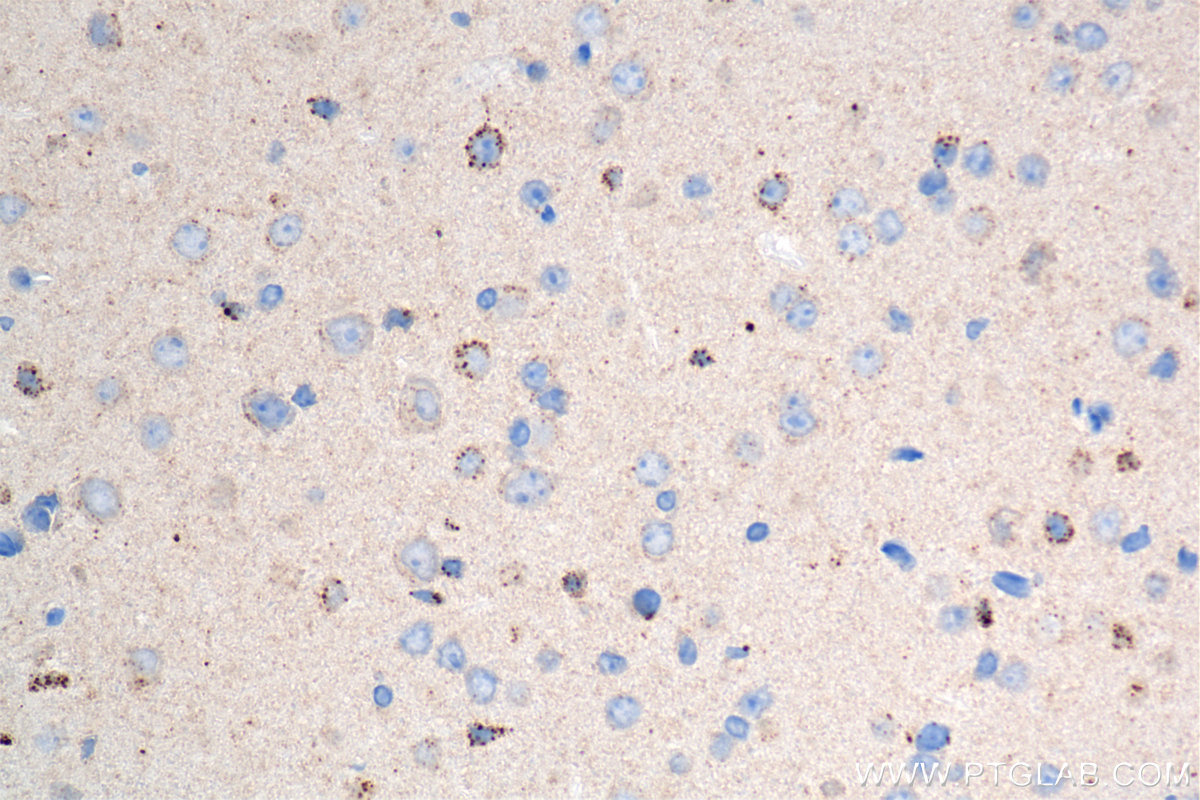
| Positive IHC detected in | mouse cerebellum tissue, mouse brain tissue Note: suggested antigen retrieval with TE buffer pH 9.0; (*) Alternatively, antigen retrieval may be performed with citrate buffer pH 6.0 |
推荐稀释比
| 应用 | 推荐稀释比 |
|---|---|
| Immunohistochemistry (IHC) | IHC : 1:50-1:500 |
| It is recommended that this reagent should be titrated in each testing system to obtain optimal results. | |
| Sample-dependent, Check data in validation data gallery. | |
产品信息
84196-3-RR targets TMEM106B in IHC, ELISA applications and shows reactivity with human, mouse samples.
| 经测试应用 | IHC, ELISA Application Description |
| 经测试反应性 | human, mouse |
| 免疫原 |
CatNo: Eg4518 Product name: recombinant human TMEM106B protein Source: mammalian cells-derived, pHZ-KIsec-C-rFc Tag: C-rFc Domain: 119-274 aa of BC033901 Sequence: RSIDVKYIGVKSAYVSYDVQKRTIYLNITNTLNITNNNYYSVEVENITAQVQFSKTVIGKARLNNITIIGPLDMKQIDYTVPTVIAEEMSYMYDFCTLISIKVHNIVLMMQVTVTTTYFGHSEQISQERYQYVDCGRNTTYQLGQSEYLNVLQPQQ 种属同源性预测 |
| 宿主/亚型 | Rabbit / IgG |
| 抗体类别 | Recombinant |
| 产品类型 | Antibody |
| 全称 | transmembrane protein 106B |
| 别名 | Transmembrane protein 106B |
| 计算分子量 | 31 kDa |
| GenBank蛋白编号 | BC033901 |
| 基因名称 | TMEM106B |
| Gene ID (NCBI) | 54664 |
| 偶联类型 | Unconjugated |
| 形式 | Liquid |
| 纯化方式 | Protein A purification |
| UNIPROT ID | Q9NUM4 |
| 储存缓冲液 | PBS with 0.02% sodium azide and 50% glycerol, pH 7.3. |
| 储存条件 | Store at -20°C. Stable for one year after shipment. Aliquoting is unnecessary for -20oC storage. |
背景介绍
TMEM106B is a genetic risk factor for frontotemporal lobar degeneration with TDP-43 inclusions (FTLD-TDP). Amyotrophic lateral sclerosis (ALS), like FTLD-TDP, is characterized by pathological TDP-43 inclusions. TMEM106B expression in the brain may be linked to mechanisms of disease in FTLD-TDP and risk alleles confer genetic susceptibility by increasing gene expression. TMEM106B can be showed as 31-55 kDa and 70-90 kDa (Glycosylated or Dimer) form in western blot test. (PMID: 27543298, 22895706, PMID: 23136129).



