验证数据展示
产品信息
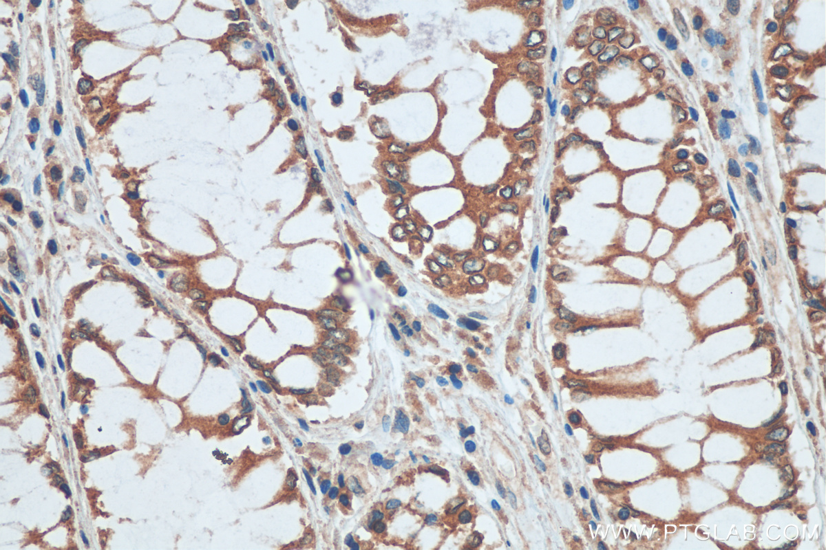
67876-1-PBS targets TMP21 in WB, IHC, IF/ICC, FC (Intra), ELISA applications and shows reactivity with human, mouse, rat, pig samples.
| 经测试应用 | WB, IHC, IF/ICC, FC (Intra), ELISA Application Description |
| 经测试反应性 | human, mouse, rat, pig |
| 免疫原 |
CatNo: Ag7516 Product name: Recombinant human TMED10 protein Source: e coli.-derived, PET28a Tag: 6*His Domain: 40-186 aa of BC001825 Sequence: SRKCLREEIHKDLLVTGAYEISDQSGGAGGLRSHLKITDSAGHILYSKEDATKGKFAFTTEDYDMFEVCFESKGTGRIPDQLVILDMKHGVEAKNYEEIAKVEKLKPLEVELRRLEDLSESIVNDFAYMKKREEEMRDTNESTNTRV 种属同源性预测 |
| 宿主/亚型 | Mouse / IgG2b |
| 抗体类别 | Monoclonal |
| 产品类型 | Antibody |
| 全称 | transmembrane emp24-like trafficking protein 10 (yeast) |
| 别名 | TMED10, 21 kDa transmembrane-trafficking protein, 3B11F9, p23, p24 family protein delta-1 |
| 计算分子量 | 25 kDa |
| 观测分子量 | 21 kDa |
| GenBank蛋白编号 | BC001825 |
| 基因名称 | TMED10 |
| Gene ID (NCBI) | 10972 |
| RRID | AB_2918633 |
| 偶联类型 | Unconjugated |
| 形式 | Liquid |
| 纯化方式 | Protein A purification |
| UNIPROT ID | P49755 |
| 储存缓冲液 | PBS only, pH 7.3. |
| 储存条件 | Store at -80°C. The product is shipped with ice packs. Upon receipt, store it immediately at -80°C |







