验证数据展示
经过测试的应用
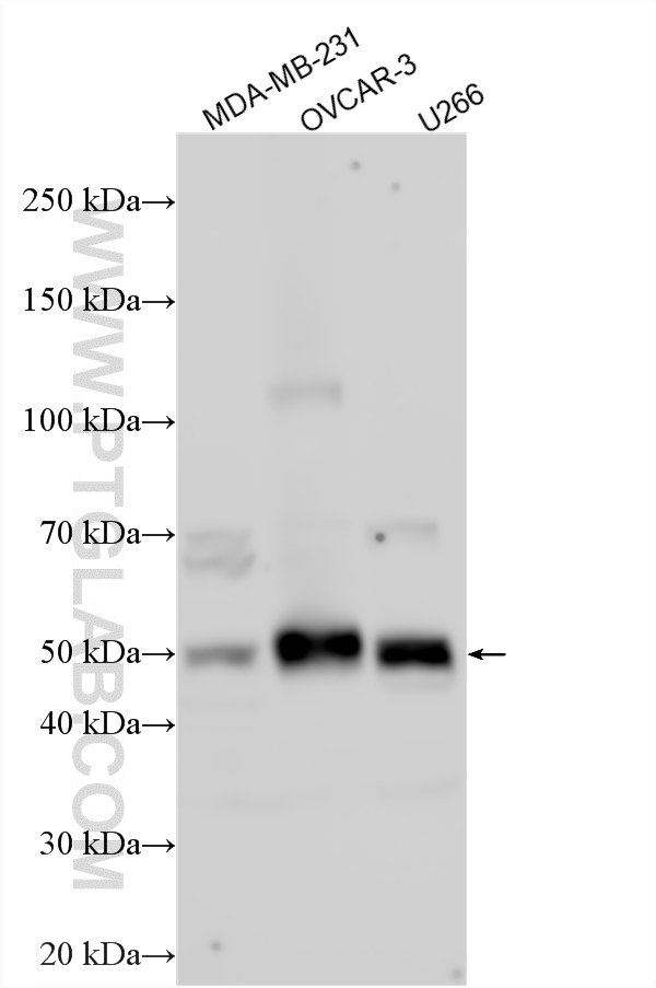
| Positive WB detected in | MDA-MB-231 cells, OVCAR-3 cells, U266 cells |
推荐稀释比
| 应用 | 推荐稀释比 |
|---|---|
| Western Blot (WB) | WB : 1:2000-1:16000 |
| It is recommended that this reagent should be titrated in each testing system to obtain optimal results. | |
| Sample-dependent, Check data in validation data gallery. | |
产品信息
32730-1-AP targets TMCC3 in WB, ELISA applications and shows reactivity with human samples.
| 经测试应用 | WB, ELISA Application Description |
| 经测试反应性 | human |
| 免疫原 |
CatNo: Ag38430 Product name: Recombinant human TMCC3 protein Source: e coli.-derived, PGEX-4T Tag: GST Domain: 120-250 aa of NM_001301036.1 Sequence: QKSAHSIAQLQKKLEQYHRKLREIEQNGASRSSKDISKDHLKDIHRSLKDAHVKSRTAPHCMESSKSGMPGVSLTPPVFVFNKSREFANLIRNKFGSADNIAHLKNSLEEFRPEASARAYGGSATIVNKPK 种属同源性预测 |
| 宿主/亚型 | Rabbit / IgG |
| 抗体类别 | Polyclonal |
| 产品类型 | Antibody |
| 全称 | transmembrane and coiled-coil domain family 3 |
| 别名 | KIAA1145, Q9ULS5, Transmembrane and coiled-coil domain protein 3 |
| 计算分子量 | 54kDa,477aa |
| 观测分子量 | 54 kDa |
| GenBank蛋白编号 | NM_001301036.1 |
| 基因名称 | TMCC3 |
| Gene ID (NCBI) | 57458 |
| RRID | AB_3742727 |
| 偶联类型 | Unconjugated |
| 形式 | Liquid |
| 纯化方式 | Antigen affinity Purification |
| UNIPROT ID | Q9ULS5 |
| 储存缓冲液 | PBS with 0.02% sodium azide and 50% glycerol, pH 7.3. |
| 储存条件 | Store at -20°C. Stable for one year after shipment. Aliquoting is unnecessary for -20oC storage. |
背景介绍
TMCC3 is a member of the transmembrane and coiled-coil domain (TMCC) family of proteins, which are integral membrane proteins localized in the endoplasmic reticulum (ER). The TMCC family consists of three members: TMCC1, TMCC2, and TMCC3, which are conserved from nematodes to humans. (PMID: 33742122)
实验方案
| Product Specific Protocols | |
|---|---|
| WB protocol for TMCC3 antibody 32730-1-AP | Download protocol |
| Standard Protocols | |
|---|---|
| Click here to view our Standard Protocols |
