验证数据展示
经过测试的应用
| Positive WB detected in | mouse liver tissue | 
| Positive IP detected in | mouse testis tissue | 
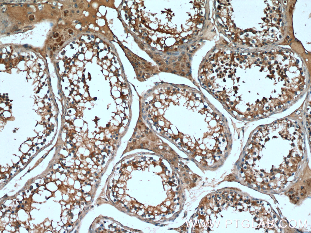
| Positive IHC detected in | human testis tissue Note: suggested antigen retrieval with TE buffer pH 9.0; (*) Alternatively, antigen retrieval may be performed with citrate buffer pH 6.0  | 
推荐稀释比
| 应用 | 推荐稀释比 | 
|---|---|
| Western Blot (WB) | WB : 1:500-1:2000 | 
| Immunoprecipitation (IP) | IP : 0.5-4.0 ug for 1.0-3.0 mg of total protein lysate | 
| Immunohistochemistry (IHC) | IHC : 1:50-1:500 | 
| It is recommended that this reagent should be titrated in each testing system to obtain optimal results. | |
| Sample-dependent, Check data in validation data gallery. | |
产品信息
26782-1-AP targets TMBIM6 in WB, IHC, IF, IP, ELISA applications and shows reactivity with human, mouse samples.
| 经测试应用 | WB, IP, IHC, ELISA Application Description | 
| 文献引用应用 | WB, IHC, IF | 
| 经测试反应性 | human, mouse | 
| 文献引用反应性 | human, mouse | 
| 免疫原 | 
                                             CatNo: Ag24780 Product name: Recombinant human TMBIM6 protein Source: e coli.-derived, PET30a Tag: 6*His Domain: 1-86 aa of BC000916 Sequence: MNIFDRKINFDALLKFSHITPSTQQHLKKVYASFALCMFVAAAGAYVHMVTHFIQAGLLSALGSLILMIWLMATPHSHETEQKRLG 种属同源性预测 | 
                                    
| 宿主/亚型 | Rabbit / IgG | 
| 抗体类别 | Polyclonal | 
| 产品类型 | Antibody | 
| 全称 | transmembrane BAX inhibitor motif containing 6 | 
| 别名 | Bax inhibitor 1, BAXI1, BI 1, BI1, TEGT, TMBIM6 | 
| 计算分子量 | 27 kDa | 
| 观测分子量 | 27 kDa | 
| GenBank蛋白编号 | BC000916 | 
| 基因名称 | TMBIM6 | 
| Gene ID (NCBI) | 7009 | 
| RRID | AB_2880633 | 
| 偶联类型 | Unconjugated | 
| 形式 | Liquid | 
| 纯化方式 | Antigen affinity purification | 
| UNIPROT ID | P55061 | 
| 储存缓冲液 | PBS with 0.02% sodium azide and 50% glycerol, pH 7.3. | 
| 储存条件 | Store at -20°C. Stable for one year after shipment. Aliquoting is unnecessary for -20oC storage. | 
实验方案
| Product Specific Protocols | |
|---|---|
| IHC protocol for TMBIM6 antibody 26782-1-AP | Download protocol | 
| IP protocol for TMBIM6 antibody 26782-1-AP | Download protocol | 
| WB protocol for TMBIM6 antibody 26782-1-AP | Download protocol | 
| Standard Protocols | |
|---|---|
| Click here to view our Standard Protocols | 
发表文章
| Species | Application | Title | 
|---|---|---|
J Cell Physiol Involvement of miR-27a-3p in diabetic nephropathy via affecting renal fibrosis, mitochondrial dysfunction, and endoplasmic reticulum stress. | ||
Mol Biol Rep TMBIM6 promotes diabetic tubular epithelial cell survival and albumin endocytosis by inhibiting the endoplasmic reticulum stress sensor, IRE1α. | ||
Life Sci Alliance The ADAM17 sheddase complex regulator iTAP/Frmd8 modulates inflammation and tumor growth | ||
Mol Med Methyltransferase-like 3 aggravates endoplasmic reticulum stress in preeclampsia by targeting TMBIM6 in YTHDF2-dependent manner | ||
Eur J Med Chem 13-oxyingenol dodecanoate derivatives induce mitophagy and ferroptosis through targeting TMBIM6 as potential anti-NSCLC agents | ||
J Cancer LncRNA SNHG1 acts as a ceRNA for miR-216a-3p to regulate TMBIM6 expression in esophageal squamous cell carcinoma | 



