验证数据展示
产品信息
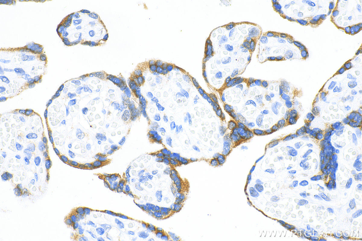
83136-3-PBS targets TLR3/CD283 in WB, IHC, Indirect ELISA applications and shows reactivity with human samples.
| 经测试应用 | WB, IHC, Indirect ELISA Application Description |
| 经测试反应性 | human |
| 免疫原 |
CatNo: Ag34044 Product name: Recombinant human TLR3 protein Source: e coli.-derived, PGEX-4T Tag: GST Domain: 725-904 aa of BC094737 Sequence: FEGWRISFYWNVSVHRVLGFKEIDRQTEQFEYAAYIIHAYKDKDWVWEHFSSMEKEDQSLKFCLEERDFEAGVFELEAIVNSIKRSRKIIFVITHHLLKDPLCKRFKVHHAVQQAIEQNLDSIILVFLEEIPDYKLNHALCLRRGMFKSHCILNWPVQKERIGAFRHKLQVALGSKNSVH 种属同源性预测 |
| 宿主/亚型 | Rabbit / IgG |
| 抗体类别 | Recombinant |
| 产品类型 | Antibody |
| 全称 | toll-like receptor 3 |
| 别名 | TLR3, 230445G4, CD283, toll like receptor 3, Toll-like receptor 3 |
| 计算分子量 | 904 aa, 104 kDa |
| 观测分子量 | 120 kDa, 68 kDa |
| GenBank蛋白编号 | BC094737 |
| 基因名称 | TLR3 |
| Gene ID (NCBI) | 7098 |
| RRID | AB_3670837 |
| 偶联类型 | Unconjugated |
| 形式 | Liquid |
| 纯化方式 | Protein A purfication |
| UNIPROT ID | O15455 |
| 储存缓冲液 | PBS only, pH 7.3. |
| 储存条件 | Store at -80°C. The product is shipped with ice packs. Upon receipt, store it immediately at -80°C |
背景介绍
TLR3 belongs to the Toll-like receptor family which is important in the innate immune response to pathogens. TLRs are highly conserved from Drosophila to humans and share structural and functional similarities. TLR3 is a nucleotide-sensing TLR that is activated by double-stranded RNA. Upon recognition of dsRNA, TLR3 transmits signals via the adaptor protein TICAM-1/TRIF, leading to the induction of type I IFN, cytokine/chemokine production, and dendritic cell (DC) maturation (PMID: 18262679). Western detected full-length (∼120 kD) and cleaved (∼70 kDa) TLR3 (PMID: 28717003).





