验证数据展示
经过测试的应用
| Positive WB detected in | HT-29 cells, MCF-7 cells, T-47D cells |
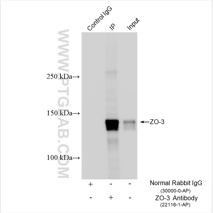
| Positive IP detected in | HT-29 cells |
推荐稀释比
| 应用 | 推荐稀释比 |
|---|---|
| Western Blot (WB) | WB : 1:1000-1:4000 |
| Immunoprecipitation (IP) | IP : 0.5-4.0 ug for 1.0-3.0 mg of total protein lysate |
| It is recommended that this reagent should be titrated in each testing system to obtain optimal results. | |
| Sample-dependent, Check data in validation data gallery. | |
发表文章中的应用
| WB | See 3 publications below |
产品信息
22116-1-AP targets ZO-3 in WB, IP, ELISA applications and shows reactivity with human samples.
| 经测试应用 | WB, IP, ELISA Application Description |
| 文献引用应用 | WB |
| 经测试反应性 | human |
| 文献引用反应性 | human, mouse, pig |
| 免疫原 |
CatNo: Ag17495 Product name: Recombinant human TJP3 protein Source: e coli.-derived, PET28a Tag: 6*His Domain: 84-330 aa of BC108906 Sequence: SMENATSAFAIQILKTCTKMANITVKRPRRIHLPATKASPSSPGRQDSDEDDGPQRVEEVDQGRGYDGDSSSGSGRSWDERSRRPRPGRRGRAGSHGRRSPGGGSEANGLALVSGFKRLPRQDVQMKPVKSVLVKRRDSEEFGVKLGSQIFIKHITDSGLAARHRGLQEGDLILQINGVSSQNLSLNDTRRLIEKSEGKLSLLVLRDRGQFLVNIPPAVSDSDSSPLEDISDLASELSQAPPSHIPP 种属同源性预测 |
| 宿主/亚型 | Rabbit / IgG |
| 抗体类别 | Polyclonal |
| 产品类型 | Antibody |
| 全称 | tight junction protein 3 (zona occludens 3) |
| 别名 | Tight junction protein 3, Tight junction protein ZO-3, TJP3, ZO3, Zona occludens protein 3 |
| 计算分子量 | 952 aa, 105 kDa |
| 观测分子量 | 140 kDa |
| GenBank蛋白编号 | BC108906 |
| 基因名称 | ZO-3 |
| Gene ID (NCBI) | 27134 |
| RRID | AB_2878998 |
| 偶联类型 | Unconjugated |
| 形式 | Liquid |
| 纯化方式 | Antigen affinity purification |
| UNIPROT ID | O95049 |
| 储存缓冲液 | PBS with 0.02% sodium azide and 50% glycerol, pH 7.3. |
| 储存条件 | Store at -20°C. Stable for one year after shipment. Aliquoting is unnecessary for -20oC storage. |
实验方案
| Product Specific Protocols | |
|---|---|
| IP protocol for ZO-3 antibody 22116-1-AP | Download protocol |
| WB protocol for ZO-3 antibody 22116-1-AP | Download protocol |
| Standard Protocols | |
|---|---|
| Click here to view our Standard Protocols |
发表文章
| Species | Application | Title |
|---|---|---|
Free Radic Biol Med Prenylated xanthones from mangosteen (Garcinia mangostana) activate the AhR and Nrf2 pathways and protect intestinal barrier integrity in HT-29 cells. | ||
Chem Biol Interact Benzo[a]pyrene induces epithelial tight junction disruption and apoptosis via inhibiting the initiation of autophagy in intestinal porcine epithelial cells | ||
Food Res Int Fermented grape pomace alleviates Salmonella typhimurium-induced Hepatointestinal inflammation: FXR mediates protection by orchestrating bile acid homeostasis and suppressing the colonic NLRP3 Inflammasome. |



