验证数据展示
经过测试的应用
| Positive WB detected in | HepG2 cells, HEK-293 cells, HeLa cells, MCF-7 cells, mouse heart tissue, mouse brain tissue, rat brain tissue, NIH/3T3 cells, C6 cells |
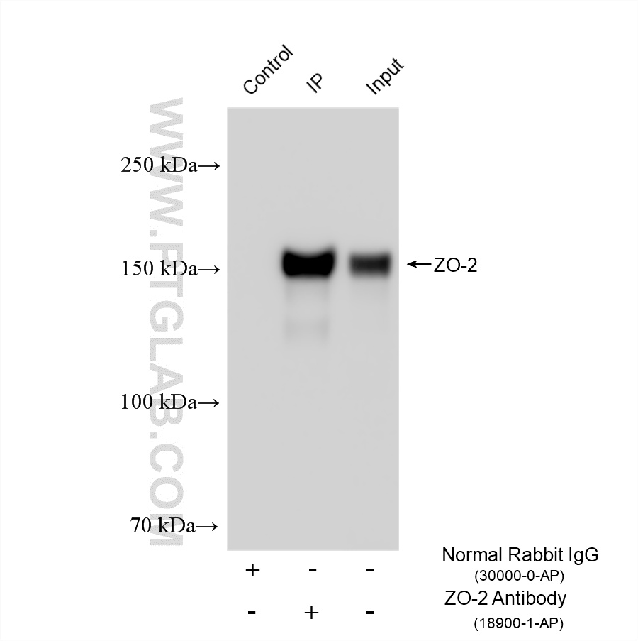
| Positive IP detected in | HepG2 cells |
| Positive IHC detected in | human stomach tissue Note: suggested antigen retrieval with TE buffer pH 9.0; (*) Alternatively, antigen retrieval may be performed with citrate buffer pH 6.0 |
| Positive IF/ICC detected in | MCF-7 cells |
推荐稀释比
| 应用 | 推荐稀释比 |
|---|---|
| Western Blot (WB) | WB : 1:2000-1:12000 |
| Immunoprecipitation (IP) | IP : 0.5-4.0 ug for 1.0-3.0 mg of total protein lysate |
| Immunohistochemistry (IHC) | IHC : 1:200-1:800 |
| Immunofluorescence (IF)/ICC | IF/ICC : 1:50-1:500 |
| It is recommended that this reagent should be titrated in each testing system to obtain optimal results. | |
| Sample-dependent, Check data in validation data gallery. | |
产品信息
18900-1-AP targets ZO-2 in WB, IHC, IF/ICC, IP, ELISA applications and shows reactivity with human, mouse, rat samples.
| 经测试应用 | WB, IHC, IF/ICC, IP, ELISA Application Description |
| 文献引用应用 | WB, IHC, IF, IP |
| 经测试反应性 | human, mouse, rat |
| 文献引用反应性 | human, mouse, rat, pig |
| 免疫原 |
CatNo: Ag13534 Product name: Recombinant human TJP2 protein Source: e coli.-derived, PGEX-4T Tag: GST Domain: 1-289 aa of BC027592 Sequence: MPVRGDRGFPPRRELSGWLRAPGMEELIWEQYTVTLQKDSKRGFGIAVSGGRDNPHFENGETSIVISDVLPGGPADGLLQENDRVVMVNGTPMEDVLHSFAVQQLRKSGKVAAIVVKRPRKVQVAALQASPPLDQDDRAFEVMDEFDGRSFRSGYSERSRLNSHGGRSRSWEDSPERGRPHERARSRERDLSRDRSRGRSLERGLDQDHARTRDRSRGRSLERGLDHDFGPSRDRDRDRSRGRSIDQDYERAYHRAYDPDYERAYSPEYRRGARHDARSRGPRSRSREH 种属同源性预测 |
| 宿主/亚型 | Rabbit / IgG |
| 抗体类别 | Polyclonal |
| 产品类型 | Antibody |
| 全称 | tight junction protein 2 (zona occludens 2) |
| 别名 | TJP2, ZO2, Tight junction protein 2, Tight junction protein ZO 2, Tight junction protein ZO-2 |
| 计算分子量 | 134 kDa |
| 观测分子量 | 150 kDa |
| GenBank蛋白编号 | BC027592 |
| 基因名称 | TJP2 |
| Gene ID (NCBI) | 9414 |
| RRID | AB_2203584 |
| 偶联类型 | Unconjugated |
| 形式 | Liquid |
| 纯化方式 | Antigen affinity purification |
| UNIPROT ID | Q9UDY2 |
| 储存缓冲液 | PBS with 0.02% sodium azide and 50% glycerol, pH 7.3. |
| 储存条件 | Store at -20°C. Stable for one year after shipment. Aliquoting is unnecessary for -20oC storage. |
背景介绍
Zona occludens protein 2 (ZO-2), also known as tight junction protein 2 (TJP2), is a membrane-associated guanylate kinase acting at intercellular contacts of epithelial and endothelial cells but also in their nuclei.
What is the molecular weight of ZO-2? Are there any isoforms of ZO-2? Is ZO-2 post-translationally modified?
The molecular weight of ZO-2 is 160 kDa. There are two known isoforms of ZO-2: full-length ZO-2A and ZO-2C lacking the first 23 amino acids (PMID: 10360833). ZO-2 can be phosphorylated and O-glycosylated, which has an impact on its localization (PMID: 23804652).
What is the subcellular localization of ZO-2?
ZO-2 is present at the cytoplasmic face at cell-cell contact sites: tight junctions, adherens junctions, and gap junctions (PMID: 20224657). ZO-2 contains nuclear localization and nuclear export signals and can actively shuttle between the cytoplasm and nucleus (PMID: 11855865). In the nucleus it can affect the activity of various transcription factors. ZO-2 nuclear localization is most prominent in sparse 2D cell cultures and also in cells subjected to mechanical or chemical stress.
What is the tissue expression pattern of ZO-2?
ZO-2 is expressed in various tissues in epithelial and endothelial cells. ZO-2 isoforms have tissue specificity, with ZO-2A being abundant in the heart and brain, while ZO-2C is found in the kidney, pancreas, heart, and placenta (PMID: 11018256).
What proteins can be used as markers of tight junctions?
Zona occludens proteins are often used as tight junction markers. Apart from the antibody against ZO-2, one can use antibodies against ZO-1 (https://www.ptglab.com/products/ZO1-Antibody-21773-1-AP.htm), occludin (https://www.ptglab.com/products/OCLN-Antibody-13409-1-AP.htm), and claudins (e.g., claudin 1: https://www.ptglab.com/products/CLDN1-Antibody-13050-1-AP.htm).
实验方案
| Product Specific Protocols | |
|---|---|
| IF protocol for ZO-2 antibody 18900-1-AP | Download protocol |
| IHC protocol for ZO-2 antibody 18900-1-AP | Download protocol |
| IP protocol for ZO-2 antibody 18900-1-AP | Download protocol |
| WB protocol for ZO-2 antibody 18900-1-AP | Download protocol |
| Standard Protocols | |
|---|---|
| Click here to view our Standard Protocols |
发表文章
| Species | Application | Title |
|---|---|---|
EMBO Mol Med Deficiency in intestinal epithelial O-GlcNAcylation predisposes to gut inflammation. | ||
Mater Today Bio Endoscopic nasal delivery of engineered endothelial progenitor cell-derived exosomes improves angiogenesis and neurological deficits in rats with intracerebral hemorrhage | ||
Cell Rep p120 RasGAP and ZO-2 are essential for Hippo signaling and tumor-suppressor function mediated by p190A RhoGAP
| ||
Biomater Sci Improved epithelial cell-cell adhesion using molecular mobility of supramolecular surfaces. | ||
Free Radic Biol Med Prenylated xanthones from mangosteen (Garcinia mangostana) activate the AhR and Nrf2 pathways and protect intestinal barrier integrity in HT-29 cells. | ||
J Agric Food Chem Gut Microbiota from Short-Chain Chlorinated Paraffin-Exposed Mice Promotes Astrocyte Activation by Disrupting the Intestinal Tight Junction via Zonulin Upregulation |










