验证数据展示
经过测试的应用
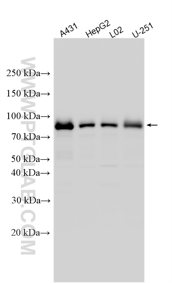
| Positive WB detected in | A431 cells, HepG2 cells, human skeletal muscle tissue, L02 cells, U-251 cells |
推荐稀释比
| 应用 | 推荐稀释比 |
|---|---|
| Western Blot (WB) | WB : 1:500-1:2000 |
| It is recommended that this reagent should be titrated in each testing system to obtain optimal results. | |
| Sample-dependent, Check data in validation data gallery. | |
产品信息
17734-1-AP targets TJAP1 in WB, ELISA applications and shows reactivity with human samples.
| 经测试应用 | WB, ELISA Application Description |
| 经测试反应性 | human |
| 免疫原 |
CatNo: Ag12174 Product name: Recombinant human TJAP1 protein Source: e coli.-derived, PGEX-4T Tag: GST Domain: 1-351 aa of BC064401 Sequence: MTSAAPAKKPYRKAPPEHRELRLEIPGSRLEQEEPLTDAERMKLLQEENEELRRRLASATRRTEALERELEIGQDCLELELGQSREELDKFKDKFRRLQNSYTASQRTNQELEDKLHTLIKKAEMDRKTLDWEIVELTNKLLDAKNTINKLEELNERYRLDCNLAVQLLKCNKSHFRNHKFADLPCELQDMVRKHLHSGQEAASPGPAPSLAPGAVVPTSVIARVLEKPESLLLNSAQSGSAGRPLAEDVFVHVDMSEGVPGDPASPPAPGSPTPQPNGECHSLGTARGSPEEELPLPAFEKLNPYPTPSPPHPLYPGRRVIEFSEDKVRIPRNSPLPNCTYATRQAISLS 种属同源性预测 |
| 宿主/亚型 | Rabbit / IgG |
| 抗体类别 | Polyclonal |
| 产品类型 | Antibody |
| 全称 | tight junction associated protein 1 (peripheral) |
| 别名 | PILT, Tight junction-associated protein 1, TJAP 1, TJP4 |
| 计算分子量 | 547 aa, 61 kDa |
| 观测分子量 | 86-95 kDa |
| GenBank蛋白编号 | BC064401 |
| 基因名称 | TJAP1 |
| Gene ID (NCBI) | 93643 |
| RRID | AB_2240742 |
| 偶联类型 | Unconjugated |
| 形式 | Liquid |
| 纯化方式 | Antigen affinity purification |
| UNIPROT ID | Q5JTD0 |
| 储存缓冲液 | PBS with 0.02% sodium azide and 50% glycerol, pH 7.3. |
| 储存条件 | Store at -20°C. Stable for one year after shipment. Aliquoting is unnecessary for -20oC storage. |
背景介绍
TJAP1, also named as PILT and TJP4, is colocalized at the tight junctions. TJAP1 has some forms with MW 60 kDa (native) and 86-90 kDa (modified).
实验方案
| Product Specific Protocols | |
|---|---|
| WB protocol for TJAP1 antibody 17734-1-AP | Download protocol |
| Standard Protocols | |
|---|---|
| Click here to view our Standard Protocols |


