验证数据展示
经过测试的应用
| Positive WB detected in | mouse heart tissue, mouse liver tissue, PC-3 cells |
| Positive IP detected in | PC-3 cells |
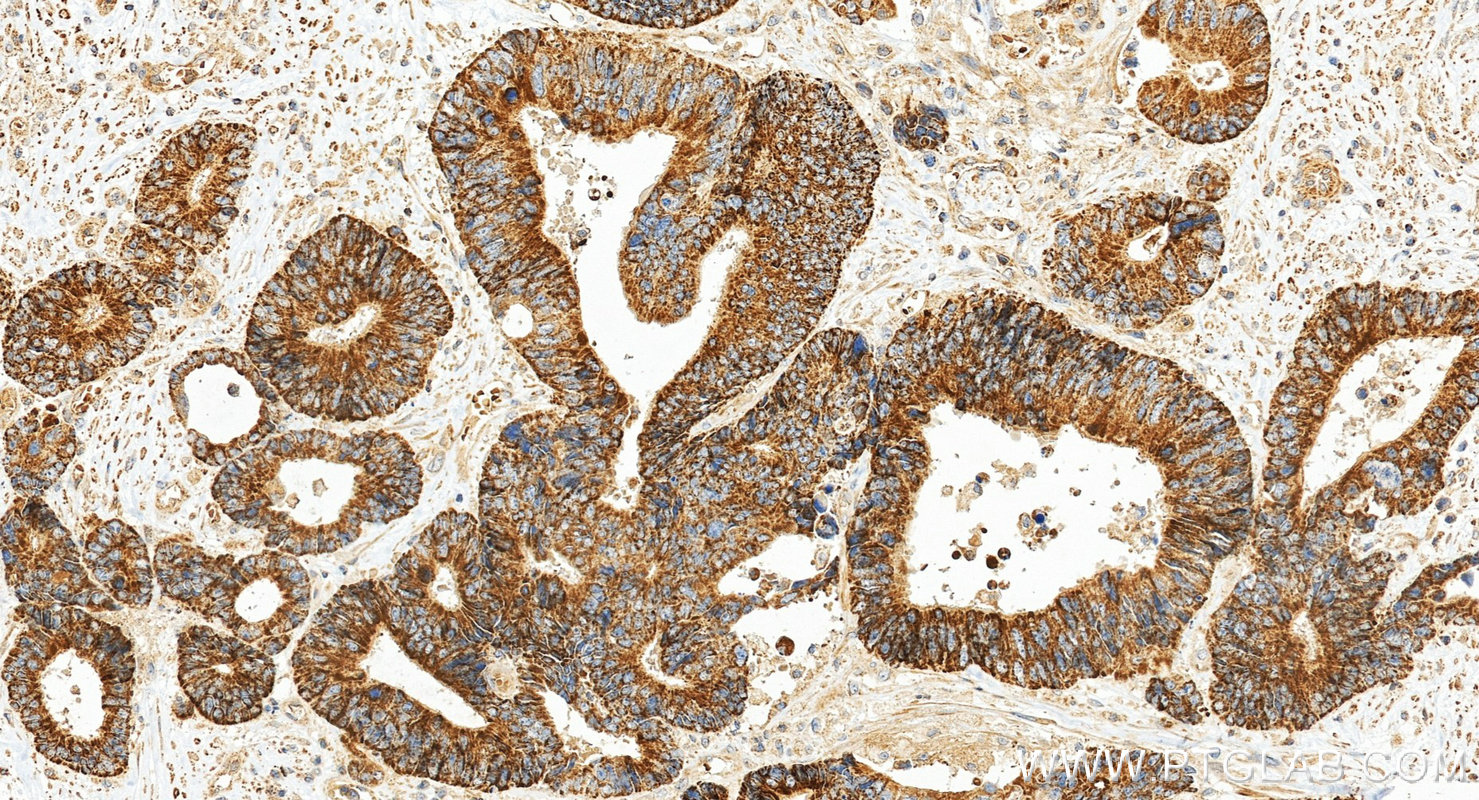
| Positive IHC detected in | human colon cancer tissue Note: suggested antigen retrieval with TE buffer pH 9.0; (*) Alternatively, antigen retrieval may be performed with citrate buffer pH 6.0 |
推荐稀释比
| 应用 | 推荐稀释比 |
|---|---|
| Western Blot (WB) | WB : 1:500-1:1000 |
| Immunoprecipitation (IP) | IP : 0.5-4.0 ug for 1.0-3.0 mg of total protein lysate |
| Immunohistochemistry (IHC) | IHC : 1:200-1:800 |
| It is recommended that this reagent should be titrated in each testing system to obtain optimal results. | |
| Sample-dependent, Check data in validation data gallery. | |
发表文章中的应用
| WB | See 7 publications below |
| IHC | See 1 publications below |
产品信息
11062-1-AP targets TIMM17B in WB, IHC, IP, ELISA applications and shows reactivity with human, mouse, rat samples.
| 经测试应用 | WB, IHC, IP, ELISA Application Description |
| 文献引用应用 | WB, IHC |
| 经测试反应性 | human, mouse, rat |
| 文献引用反应性 | human, mouse |
| 免疫原 |
CatNo: Ag1504 Product name: Recombinant human TIMM17B protein Source: e coli.-derived, PKG Tag: GST Domain: 1-172 aa of BC010142 Sequence: MEEYAREPCPWRIVDDCGGAFTMGVIGGGVFQAIKGFRNAPVGIRHRLRGSANAVRIRAPQIGGSFAVWGGLFSTIDCGLVRLRGKEDPWNSITSGALTGAVLAARSGPLAMVGSAMMGGILLALIEGVGILLTRYTAQQFRNAPPFLEDPSQLPPKDGTPAPGYPSYQQYH 种属同源性预测 |
| 宿主/亚型 | Rabbit / IgG |
| 抗体类别 | Polyclonal |
| 产品类型 | Antibody |
| 全称 | translocase of inner mitochondrial membrane 17 homolog B (yeast) |
| 别名 | DXS9822, JM3, Mitochondrial import inner membrane translocase subunit Tim17-B, TIM17B |
| 计算分子量 | 18 kDa |
| 观测分子量 | 17-20 kDa |
| GenBank蛋白编号 | BC010142 |
| 基因名称 | TIMM17B |
| Gene ID (NCBI) | 10245 |
| RRID | AB_2201995 |
| 偶联类型 | Unconjugated |
| 形式 | Liquid |
| 纯化方式 | Antigen affinity purification |
| UNIPROT ID | O60830 |
| 储存缓冲液 | PBS with 0.02% sodium azide and 50% glycerol, pH 7.3. |
| 储存条件 | Store at -20°C. Stable for one year after shipment. Aliquoting is unnecessary for -20oC storage. |
实验方案
| Product Specific Protocols | |
|---|---|
| IHC protocol for TIMM17B antibody 11062-1-AP | Download protocol |
| IP protocol for TIMM17B antibody 11062-1-AP | Download protocol |
| WB protocol for TIMM17B antibody 11062-1-AP | Download protocol |
| Standard Protocols | |
|---|---|
| Click here to view our Standard Protocols |
发表文章
| Species | Application | Title |
|---|---|---|
Cell Metab Acylglycerol Kinase Maintains Metabolic State and Immune Responses of CD8+ T Cells. | ||
Mol Cell Acylglycerol Kinase Mutated in Sengers Syndrome Is a Subunit of the TIM22 Protein Translocase in Mitochondria. | ||
Mol Cell Sengers Syndrome-Associated Mitochondrial Acylglycerol Kinase Is a Subunit of the Human TIM22 Protein Import Complex. | ||
Cell Rep TIM23 facilitates PINK1 activation by safeguarding against OMA1-mediated degradation in damaged mitochondria | ||
Sci Rep The presence of disulfide bonds reveals an evolutionarily conserved mechanism involved in mitochondrial protein translocase assembly. | ||
Infect Immun The type III system-secreted effector EspZ localizes to host mitochondria and interacts with the translocase of inner mitochondrial membrane 17b. |




