验证数据展示
经过测试的应用
| Positive WB detected in | HEK-293 cells, mouse lung tissue |
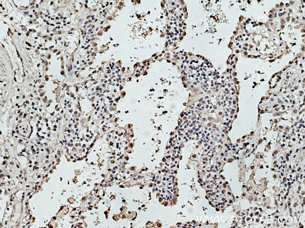
| Positive IHC detected in | human lung cancer tissue Note: suggested antigen retrieval with TE buffer pH 9.0; (*) Alternatively, antigen retrieval may be performed with citrate buffer pH 6.0 |
| Positive IF/ICC detected in | HepG2 cells |
推荐稀释比
| 应用 | 推荐稀释比 |
|---|---|
| Western Blot (WB) | WB : 1:1000-1:8000 |
| Immunohistochemistry (IHC) | IHC : 1:50-1:500 |
| Immunofluorescence (IF)/ICC | IF/ICC : 1:50-1:500 |
| It is recommended that this reagent should be titrated in each testing system to obtain optimal results. | |
| Sample-dependent, Check data in validation data gallery. | |
产品信息
15867-1-AP targets THYN1 in WB, IHC, IF/ICC, ELISA applications and shows reactivity with human, mouse, rat samples.
| 经测试应用 | WB, IHC, IF/ICC, ELISA Application Description |
| 经测试反应性 | human, mouse, rat |
| 免疫原 |
CatNo: Ag8481 Product name: Recombinant human THYN1 protein Source: e coli.-derived, PGEX-4T Tag: GST Domain: 1-166 aa of BC006978 Sequence: MSRPRKRLAGTSGSDKGLSGKRTKTENSGEALAKVEDSNPQKTSATKNCLKNLSSHWLMKSEPESRLEKGVDVKFSIEDLKAQPKQTTCWDGVRNYQARNFLRAMKLGEEAFFYHSNCKEPGIAGLMKIVKEAYPDHTQFEKNNPHYDPSSKEDNPKWSMKSLILF 种属同源性预测 |
| 宿主/亚型 | Rabbit / IgG |
| 抗体类别 | Polyclonal |
| 产品类型 | Antibody |
| 全称 | thymocyte nuclear protein 1 |
| 别名 | THY28KD, THY28, MY105, My0054, MDS012 |
| 计算分子量 | 225aa,26 kDa; 166aa,19 kDa |
| 观测分子量 | 28-32 kDa |
| GenBank蛋白编号 | BC006978 |
| 基因名称 | THYN1 |
| Gene ID (NCBI) | 29087 |
| RRID | AB_2287179 |
| 偶联类型 | Unconjugated |
| 形式 | Liquid |
| 纯化方式 | Antigen affinity purification |
| UNIPROT ID | Q9P016 |
| 储存缓冲液 | PBS with 0.02% sodium azide and 50% glycerol, pH 7.3. |
| 储存条件 | Store at -20°C. Stable for one year after shipment. Aliquoting is unnecessary for -20oC storage. |
背景介绍
THYN1, also named as THY28, is a 28-32 kDa protein which located mainly in the nucleus. It appears to correlate with induction of apoptosis. (PMID:14601557)
实验方案
| Product Specific Protocols | |
|---|---|
| WB protocol for THYN1 antibody 15867-1-AP | Download protocol |
| IHC protocol for THYN1 antibody 15867-1-AP | Download protocol |
| IF protocol for THYN1 antibody 15867-1-AP | Download protocol |
| Standard Protocols | |
|---|---|
| Click here to view our Standard Protocols |







