验证数据展示
经过测试的应用
| Positive WB detected in | HEK-293 cells, HeLa cells, NIH/3T3 cells |
| Positive IP detected in | HEK-293 cells |
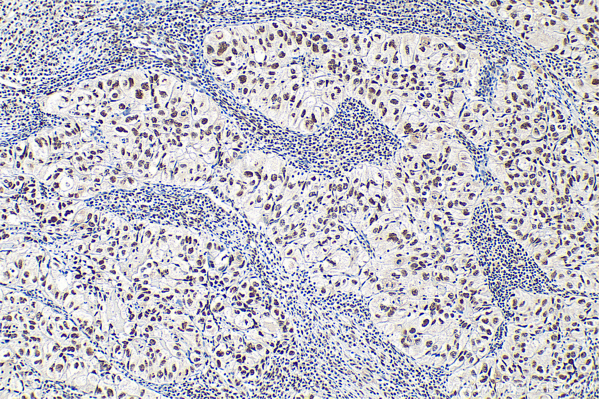
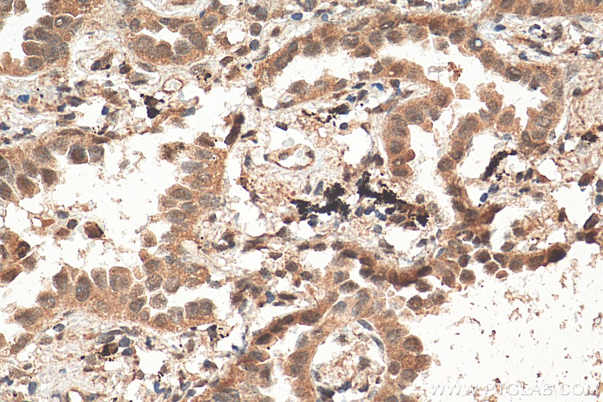
| Positive IHC detected in | human breast cancer tissue, human lung cancer tissue Note: suggested antigen retrieval with TE buffer pH 9.0; (*) Alternatively, antigen retrieval may be performed with citrate buffer pH 6.0 |
| Positive IF/ICC detected in | HepG2 cells |
推荐稀释比
| 应用 | 推荐稀释比 |
|---|---|
| Western Blot (WB) | WB : 1:3000-1:8000 |
| Immunoprecipitation (IP) | IP : 0.5-4.0 ug for 1.0-3.0 mg of total protein lysate |
| Immunohistochemistry (IHC) | IHC : 1:500-1:2000 |
| Immunofluorescence (IF)/ICC | IF/ICC : 1:50-1:500 |
| It is recommended that this reagent should be titrated in each testing system to obtain optimal results. | |
| Sample-dependent, Check data in validation data gallery. | |
发表文章中的应用
| KD/KO | See 2 publications below |
| WB | See 1 publications below |
产品信息
14862-1-AP targets THOC5 in WB, IHC, IF/ICC, IP, ELISA applications and shows reactivity with human, mouse, rat samples.
| 经测试应用 | WB, IHC, IF/ICC, IP, ELISA Application Description |
| 文献引用应用 | WB |
| 经测试反应性 | human, mouse, rat |
| 文献引用反应性 | mouse, rat |
| 免疫原 |
CatNo: Ag6664 Product name: Recombinant human THOC5 protein Source: e coli.-derived, PGEX-4T Tag: GST Domain: 354-683 aa of BC003615 Sequence: CKDDSVLHLTFYYLMNLNIMTVKAKVTTAMELITPISAGDLLSPDSVLSCLYPGDHGKKTPNPANQYQFDKVGILTLSDYVLELGHPYLWVQKLGGLHFPKEQPQQTVIADHSLSASHMETTMKLLKTRVQSRLALHKQFASLEHGIVPVTSDCQYLFPAKVVSRLVKWVTIAHEDYMELHFTKDIVDAGLAGDTNLYYMALIERGTAKLQAAVVLNPGYSSIPPIFQLCLNWKGEKTNSNDDNIRAMEGEVNVCYKELCGPWPSHQLLTNQLQRLCVLLDVYLETESHDDSVEGPKEFPQEKMCLRLFRGPSRMKPFKYNHPQGFFSHR 种属同源性预测 |
| 宿主/亚型 | Rabbit / IgG |
| 抗体类别 | Polyclonal |
| 产品类型 | Antibody |
| 全称 | THO complex 5 |
| 别名 | C22orf19, Functional spliceosome-associated protein 79, KIAA0983 |
| 计算分子量 | 79 kDa |
| 观测分子量 | 79 kDa |
| GenBank蛋白编号 | BC003615 |
| 基因名称 | THOC5 |
| Gene ID (NCBI) | 8563 |
| RRID | AB_2878088 |
| 偶联类型 | Unconjugated |
| 形式 | Liquid |
| 纯化方式 | Antigen affinity purification |
| UNIPROT ID | Q13769 |
| 储存缓冲液 | PBS with 0.02% sodium azide and 50% glycerol, pH 7.3. |
| 储存条件 | Store at -20°C. Stable for one year after shipment. Aliquoting is unnecessary for -20oC storage. |
背景介绍
THOC5, also named as C22orf19, or KIAA0983, is a 683 amino acid protein, which belongs to the THOC5 family. THOC5 is ubiquitously expressed in many tissues. THOC5 localizes in the nucleus and acts as component of the THO subcomplex of the TREX complex which is thought to couple mRNA transcription, processing and nuclear export, and which specifically associates with spliced mRNA and not with unspliced pre-mRNA.THOC5 plays a role in cytokine-stimulated monocytic development and affects granulocyte/macrophage differentiation.
实验方案
| Product Specific Protocols | |
|---|---|
| IF protocol for THOC5 antibody 14862-1-AP | Download protocol |
| IHC protocol for THOC5 antibody 14862-1-AP | Download protocol |
| IP protocol for THOC5 antibody 14862-1-AP | Download protocol |
| WB protocol for THOC5 antibody 14862-1-AP | Download protocol |
| Standard Protocols | |
|---|---|
| Click here to view our Standard Protocols |
发表文章
| Species | Application | Title |
|---|---|---|
Cell Stem Cell The THO Complex Regulates Pluripotency Gene mRNA Export and Controls Embryonic Stem Cell Self-Renewal and Somatic Cell Reprogramming.
| ||
Eur J Med Res Long non-coding RNA HMGCR suppresses vascular remodeling in streptozotocin-induced type 1 diabetic rats via interaction with THOC5.
|








