验证数据展示
经过测试的应用
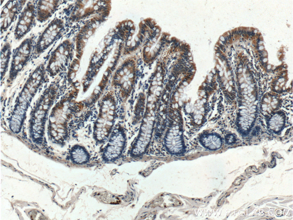
| Positive IHC detected in | human liver tissue, human colon tissue, mouse kidney tissue Note: suggested antigen retrieval with TE buffer pH 9.0; (*) Alternatively, antigen retrieval may be performed with citrate buffer pH 6.0 |
推荐稀释比
| 应用 | 推荐稀释比 |
|---|---|
| Immunohistochemistry (IHC) | IHC : 1:50-1:500 |
| It is recommended that this reagent should be titrated in each testing system to obtain optimal results. | |
| Sample-dependent, Check data in validation data gallery. | |
产品信息
19727-1-AP targets Thrombospondin 3-Specific in WB, IHC, IF, ELISA applications and shows reactivity with human, mouse samples.
| 经测试应用 | IHC, ELISA Application Description |
| 文献引用应用 | WB, IF |
| 经测试反应性 | human, mouse |
| 文献引用反应性 | human, mouse |
| 免疫原 |
Peptide 种属同源性预测 |
| 宿主/亚型 | Rabbit / IgG |
| 抗体类别 | Polyclonal |
| 产品类型 | Antibody |
| 全称 | thrombospondin 3 |
| 别名 | THBS3, thrombospondin 3, Thrombospondin 3-Specific, TSP3 |
| 计算分子量 | 104 kDa |
| GenBank蛋白编号 | NM_007112 |
| 基因名称 | Thrombospondin 3 |
| Gene ID (NCBI) | 7059 |
| RRID | AB_10695895 |
| 偶联类型 | Unconjugated |
| 形式 | Liquid |
| 纯化方式 | Antigen affinity purification |
| UNIPROT ID | P49746 |
| 储存缓冲液 | PBS with 0.02% sodium azide and 50% glycerol, pH 7.3. |
| 储存条件 | Store at -20°C. Stable for one year after shipment. Aliquoting is unnecessary for -20oC storage. |
背景介绍
THBS3, also named as TSP3, belongs to the thrombospondin family. THBS3 is an adhesive glycoprotein that mediates cell-to-cell and cell-to-matrix interactions. THBS3 can bind to fibrinogen, fibronectin, laminin and type V collagen. The antibody is specific to THBS3.
实验方案
| Product Specific Protocols | |
|---|---|
| IHC protocol for Thrombospondin 3-Specific antibody 19727-1-AP | Download protocol |
| Standard Protocols | |
|---|---|
| Click here to view our Standard Protocols |
发表文章
| Species | Application | Title |
|---|---|---|
Front Cell Dev Biol Time-Resolved Extracellular Matrix Atlas of the Developing Human Skin Dermis. | ||
Mol Cell Biochem Microrna363-5p targets thrombospondin3 to regulate pathological cardiac remodeling | ||
Cartilage The Role of THBS-3 in the Regulation of Cartilage Angiogenesis and Fibrosis Via the TGF-β/Smad2/3 Pathway in Osteoarthritis.
| ||
Nat Commun Thrombospondin-3 augments injury-induced cardiomyopathy by intracellular integrin inhibition and sarcolemmal instability.
|






