验证数据展示
产品信息
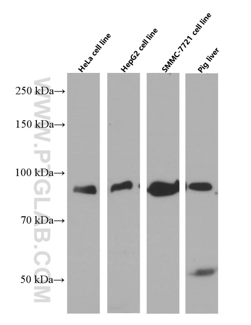
66477-1-PBS targets TGN46 in WB, IHC, Indirect ELISA applications and shows reactivity with human, mouse, rat, pig samples.
| 经测试应用 | WB, IHC, Indirect ELISA Application Description |
| 经测试反应性 | human, mouse, rat, pig |
| 免疫原 |
CatNo: Ag4470 Product name: Recombinant human TGOLN2,TGN46 protein Source: e coli.-derived, PGEX-4T Tag: GST Domain: 25-384 aa of BC028219 Sequence: SVKQEEAGVRPSAGNVSTHPSLSQRPGGSTKSHPEPQTPKDSPSKSSAEAQTPEDTPNKSGAEAKTQKDSSNKSGAEAKTQKGSTSKSGSEAQTTKDSTSKSHPELQTPKDSTGKSGAEAQTPEDSPNRSGAEAKTQKDSPSKSGSEAQTTKDVPNKSGADGQTPKDGSSKSGAEDQTPKDVPNKSGAEKQTPKDGSNKSGAEEQGPIDGPSKSGAEEQTSKDSPNKVVPEQPSRKDHSKPISNPSDNKELPKADTNQLADKGKLSPHAFKTESGEETDLISPPQEEVKSSEPTEDVEPKEAEDDDTGPEEGSPPKEEKEKMSGSASSENREGTLSDSTGSEKDDLYPNGSGNGSAESSH 种属同源性预测 |
| 宿主/亚型 | Mouse / IgG1 |
| 抗体类别 | Monoclonal |
| 产品类型 | Antibody |
| 全称 | trans-golgi network protein 2 |
| 别名 | TGOLN2, 1F6D5, hTGN46, hTGN48, hTGN51 |
| 计算分子量 | 447 aa, 47 kDa |
| 观测分子量 | 90 kDa |
| GenBank蛋白编号 | BC028219 |
| 基因名称 | TGN46 |
| Gene ID (NCBI) | 10618 |
| RRID | AB_2881843 |
| 偶联类型 | Unconjugated |
| 形式 | Liquid |
| 纯化方式 | Protein G purification |
| UNIPROT ID | O43493 |
| 储存缓冲液 | PBS only, pH 7.3. |
| 储存条件 | Store at -80°C. The product is shipped with ice packs. Upon receipt, store it immediately at -80°C |
背景介绍
TGN46 (TGOLN2), the human homologue of rat Tgn38, is a transmembrane glycoprotein predominantly localized to the TGN (trans-Golgi network). TGN is a major secretory pathway sorting station for proteins and lipids. TGN46 may be involved in regulating membrane traffic to and from TGN. Alternatively spliced transcript variants encode different TGN46 isoforms. TGN46 has an apparent molecular mass of 100-150 kDa, suggesting extensive O- and N-glycosylations.





