验证数据展示
经过测试的应用
| Positive WB detected in | human saliva, mouse kidney tissue |
| Positive IP detected in | mouse kidney tissue |
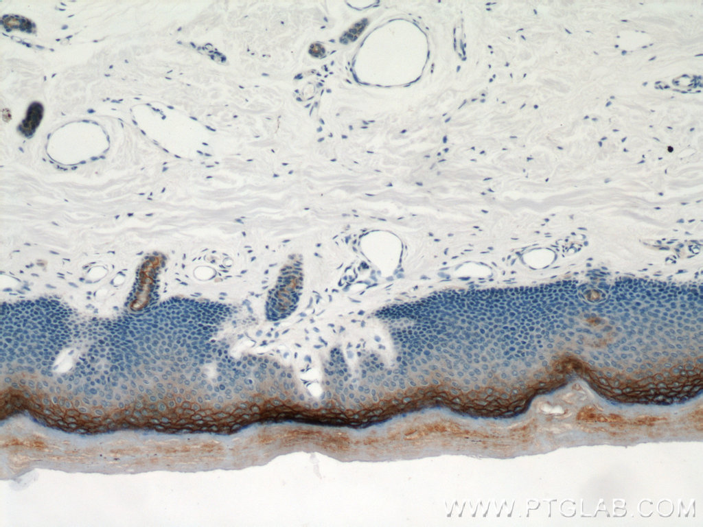
| Positive IHC detected in | human cervical cancer tissue, human bowen disease, human brown disease, human cervix tissue, human skin tissue Note: suggested antigen retrieval with TE buffer pH 9.0; (*) Alternatively, antigen retrieval may be performed with citrate buffer pH 6.0 |
推荐稀释比
| 应用 | 推荐稀释比 |
|---|---|
| Western Blot (WB) | WB : 1:1000-1:8000 |
| Immunoprecipitation (IP) | IP : 0.5-4.0 ug for 1.0-3.0 mg of total protein lysate |
| Immunohistochemistry (IHC) | IHC : 1:200-1:800 |
| It is recommended that this reagent should be titrated in each testing system to obtain optimal results. | |
| Sample-dependent, Check data in validation data gallery. | |
产品信息
12912-3-AP targets TGM1 in WB, IHC, IF, IP, ELISA applications and shows reactivity with human, mouse samples.
| 经测试应用 | WB, IHC, IP, ELISA Application Description |
| 文献引用应用 | WB, IHC, IF, ELISA |
| 经测试反应性 | human, mouse |
| 文献引用反应性 | human, mouse, rat |
| 免疫原 |
CatNo: Ag3905 Product name: Recombinant human TGM1 protein Source: e coli.-derived, PGEX-4T Tag: GST Domain: 467-817 aa of BC034699 Sequence: SGIFCCGPCSVESIKNGLVYMKYDTPFIFAEVNSDKVYWQRQDDGSFKIVYVEEKAIGTLIVTKAISSNMREDITYLYKHPEGSDAERKAVETAAAHGSKPNVYANRGSAEDVAMQVEAQDAVMGQDLMVSVMLINHSSSRRTVKLHLYLSVTFYTGVSGTIFKETKKEVELAPGASDRVTMPVAYKEYRPHLVDQGAMLLNVSGHVKESGQVLAKQHTFRLRTPDLSLTLLGAAVVGQECEVQIVFKNPLPVTLTNVVFRLEGSGLQRPKILNVGDIGGNETVTLRQSFVPVRPGPRQLIASLDSPQLSQVHGVIQVDVAPAPGDGGFFSDAGGDSHLGETIPMASRGGA 种属同源性预测 |
| 宿主/亚型 | Rabbit / IgG |
| 抗体类别 | Polyclonal |
| 产品类型 | Antibody |
| 全称 | transglutaminase 1 (K polypeptide epidermal type I, protein-glutamine-gamma-glutamyltransferase) |
| 别名 | LI1, LI, KTG, ICR2, Epidermal TGase |
| 计算分子量 | 817 aa, 90 kDa |
| 观测分子量 | 90 kDa |
| GenBank蛋白编号 | BC034699 |
| 基因名称 | TGM1 |
| Gene ID (NCBI) | 7051 |
| RRID | AB_2271748 |
| 偶联类型 | Unconjugated |
| 形式 | Liquid |
| 纯化方式 | Antigen affinity purification |
| UNIPROT ID | P22735 |
| 储存缓冲液 | PBS with 0.02% sodium azide and 50% glycerol, pH 7.3. |
| 储存条件 | Store at -20°C. Stable for one year after shipment. Aliquoting is unnecessary for -20oC storage. |
背景介绍
Transglutaminase 1 is an epidermal enzyme that is expressed during the terminal differentiation of keratinized squamous epithelium to form cornified cell envelopes in differentiated keratinocytes. Mutation of TGM1 has been linked to various epidermal diseases. This antibody recognizes the endogenous 90 kDa TGM1 proteins.
实验方案
| Product Specific Protocols | |
|---|---|
| IHC protocol for TGM1 antibody 12912-3-AP | Download protocol |
| IP protocol for TGM1 antibody 12912-3-AP | Download protocol |
| WB protocol for TGM1 antibody 12912-3-AP | Download protocol |
| Standard Protocols | |
|---|---|
| Click here to view our Standard Protocols |
发表文章
| Species | Application | Title |
|---|---|---|
J Control Release Superior COL7A1 and TGM1 gene expression in difficult-to-transfect skin cell mediated by highly branched poly(β-amino esters) through stepwise fractionation | ||
J Invest Dermatol Investigation of Omega-3 Polyunsaturated Fatty Acid Biological Activity in a Tissue-Engineered Skin Model Involving Psoriatic Cells. | ||
J Invest Dermatol Cathelicidin LL-37 Activates Human Keratinocyte Autophagy through the P2X₇, Mechanistic Target of Rapamycin, and MAPK Pathways | ||
Int J Mol Sci Docosahexaenoic Acid Modulates Paracellular Absorption of Testosterone and Claudin-1 Expression in a Tissue-Engineered Skin Model. | ||
Cells Increased Osteoclastogenesis in Absence of TG2 Is Reversed by Transglutaminase Inhibition-Evidence for the Role for TG1 in Osteoclast Formation |













