验证数据展示
经过测试的应用
| Positive WB detected in | A549 cells, U2OS cells, mouse kidney tissue |
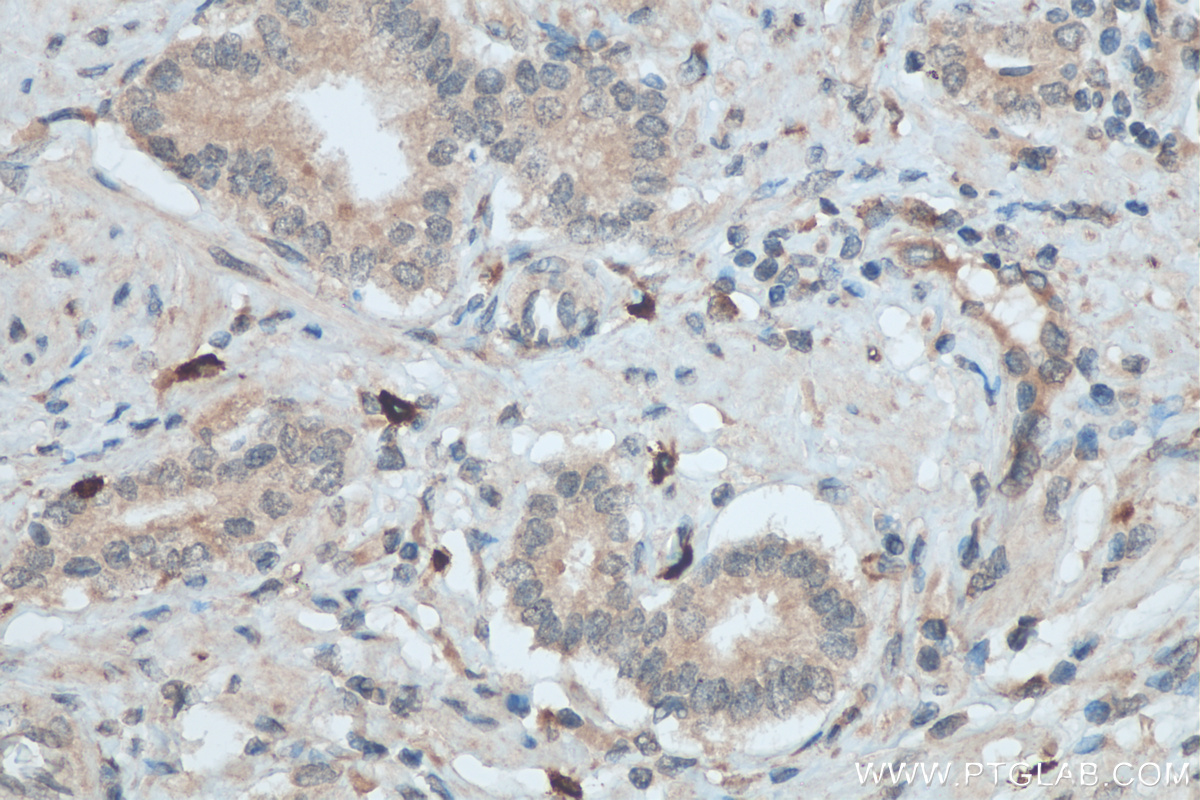
| Positive IHC detected in | human prostate cancer tissue Note: suggested antigen retrieval with TE buffer pH 9.0; (*) Alternatively, antigen retrieval may be performed with citrate buffer pH 6.0 |
| Positive IF/ICC detected in | HeLa cells |
推荐稀释比
| 应用 | 推荐稀释比 |
|---|---|
| Western Blot (WB) | WB : 1:500-1:2000 |
| Immunohistochemistry (IHC) | IHC : 1:50-1:500 |
| Immunofluorescence (IF)/ICC | IF/ICC : 1:200-1:800 |
| It is recommended that this reagent should be titrated in each testing system to obtain optimal results. | |
| Sample-dependent, Check data in validation data gallery. | |
产品信息
28426-1-AP targets TGFB2/TGF-beta 2 in WB, IHC, IF/ICC, ELISA applications and shows reactivity with human, mouse samples.
| 经测试应用 | WB, IHC, IF/ICC, ELISA Application Description |
| 文献引用应用 | WB, IHC, IF |
| 经测试反应性 | human, mouse |
| 文献引用反应性 | human, mouse, rat, rabbit |
| 免疫原 |
CatNo: Ag29126 Product name: Recombinant human TGFB2 protein Source: e coli.-derived, PET28a Tag: 6*His Domain: 73-278 aa of NM_001135599 Sequence: STRDLLQEKASRRAAACERERSDEEYYAKEVYKIDMPPFFPSENAIPPTFYRPYFRIVRFDVSAMEKNASNLVKAEFRVFRLQNPKARVPEQRIELYQILKSKDLTSPTQRYIDSKVVKTRAEGEWLSFDVTDAVHEWLHHKDRNLGFKISLHCPCCTFVPSNNYIIPNKSEELEARFAGIDGTSTYTSGDQKTIKSTRKKNSGKT 种属同源性预测 |
| 宿主/亚型 | Rabbit / IgG |
| 抗体类别 | Polyclonal |
| 产品类型 | Antibody |
| 全称 | transforming growth factor, beta 2 |
| 别名 | TGFB2, TGF-beta 2, Glioblastoma-derived T-cell suppressor factor, G-TSF, Latency-associated peptide |
| 计算分子量 | 48 kDa |
| 观测分子量 | 48 kDa, 51 kDa |
| GenBank蛋白编号 | NM_001135599 |
| 基因名称 | TGFB2 |
| Gene ID (NCBI) | 7042 |
| RRID | AB_2918162 |
| 偶联类型 | Unconjugated |
| 形式 | Liquid |
| 纯化方式 | Antigen affinity purification |
| UNIPROT ID | P61812 |
| 储存缓冲液 | PBS with 0.02% sodium azide and 50% glycerol, pH 7.3. |
| 储存条件 | Store at -20°C. Stable for one year after shipment. Aliquoting is unnecessary for -20oC storage. |
背景介绍
Tranforming growth factor beta-2 (TGFB2), also named G-TSF, BSC-1 cell growth inhibitor, Polyergin and Cetermin, belongs to the TGF-beta family. TGFB2 is a secreted protein and contains a 19aa signal peptides at its N-terminal. Heterodimers with TGFB1 and with TGFB2 have been found in bone. It was proved to have suppressive effects on interleukin-2 dependent T-cell growth.
实验方案
| Product Specific Protocols | |
|---|---|
| IF protocol for TGFB2/TGF-beta 2 antibody 28426-1-AP | Download protocol |
| IHC protocol for TGFB2/TGF-beta 2 antibody 28426-1-AP | Download protocol |
| WB protocol for TGFB2/TGF-beta 2 antibody 28426-1-AP | Download protocol |
| Standard Protocols | |
|---|---|
| Click here to view our Standard Protocols |
发表文章
| Species | Application | Title |
|---|---|---|
Front Microbiol Characteristics of Gut Microbiota in Patients With Clear Cell Renal Cell Carcinoma. | ||
Front Chem ADSCs Promote Tenocyte Proliferation by Reducing the Methylation Level of lncRNA Morf4l1 in Tendon Injury. | ||
Life (Basel) MPP7 as a Novel Biomarker of Esophageal Cancer: MPP7 Knockdown Inhibits Esophageal Cancer Cell Migration and Invasion | ||
Cancers (Basel) Profiling the Adrenergic System in Breast Cancer and the Development of Metastasis | ||
J Ocul Pharmacol Ther Activation of Sonic Hedgehog Signaling Pathway Regulates Human Trabecular Meshwork Cell Function | ||
Small MiR-141-3p-Functionalized Exosomes Loaded in Dissolvable Microneedle Arrays for Hypertrophic Scar Treatment |




