验证数据展示
经过测试的应用
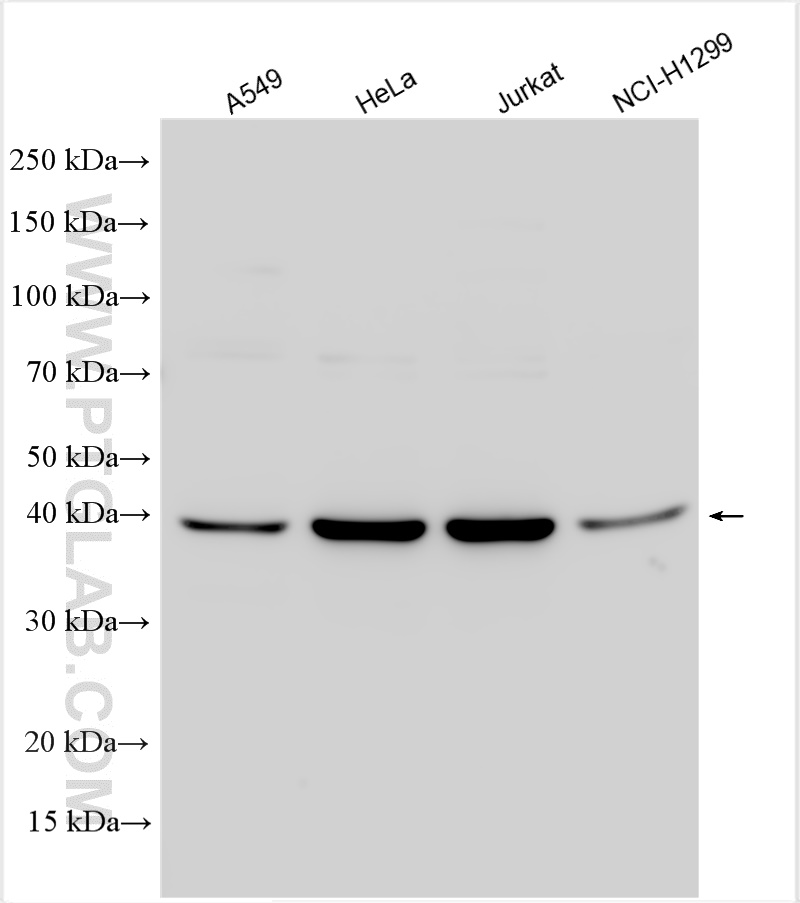
| Positive WB detected in | A549 cells, HeLa cells, Jurkat cells, NCI-H1299 cells |
| Positive IP detected in | HeLa cells |
推荐稀释比
| 应用 | 推荐稀释比 |
|---|---|
| Western Blot (WB) | WB : 1:500-1:3000 |
| Immunoprecipitation (IP) | IP : 0.5-4.0 ug for 1.0-3.0 mg of total protein lysate |
| It is recommended that this reagent should be titrated in each testing system to obtain optimal results. | |
| Sample-dependent, Check data in validation data gallery. | |
产品信息
12017-1-AP targets TFAP4 in WB, IHC, IP, ChIP, ELISA applications and shows reactivity with human, mouse, rat samples.
| 经测试应用 | WB, IP, ELISA Application Description |
| 文献引用应用 | WB, IHC, ChIP |
| 经测试反应性 | human, mouse, rat |
| 文献引用反应性 | human, mouse |
| 免疫原 |
CatNo: Ag2633 Product name: Recombinant human TFAP4 protein Source: e coli.-derived, PGEX-4T Tag: GST Domain: 1-338 aa of BC010576 Sequence: MEYFMVPTQKVPSLQHFRKTEKEVIGGLCSLANIPLTPETQRDQERRIRREIANSNERRRMQSINAGFQSLKTLIPHTDGEKLSKAAILQQTAEYIFSLEQEKTRLLQQNTQLKRFIQELSGSSPKRRRAEDKDEGIGSPDIWEDEKAEDLRREMIELRQQLDKERSVRMMLEEQVRSLEAHMYPEKLKVIAQQVQLQQQQEQVRLLHQEKLEREQQQLRTQLLPPPAPTHHPTVIVPAPPPPPSHHINVVTMGPSSVINSVSTSRQNLDTIVQAIQHIEGTQEKQELEEEQRRAVIVKPVRSCPEAPTSDTASDSEASDSDAMDQSREEPSGDGELP 种属同源性预测 |
| 宿主/亚型 | Rabbit / IgG |
| 抗体类别 | Polyclonal |
| 产品类型 | Antibody |
| 全称 | transcription factor AP-4 (activating enhancer binding protein 4) |
| 别名 | AP 4, bHLHc41, TFAP4, Transcription factor AP 4 |
| 计算分子量 | 338 aa, 39 kDa |
| 观测分子量 | 39-42 kDa |
| GenBank蛋白编号 | BC010576 |
| 基因名称 | TFAP4 |
| Gene ID (NCBI) | 7023 |
| RRID | AB_2199571 |
| 偶联类型 | Unconjugated |
| 形式 | Liquid |
| 纯化方式 | Antigen affinity purification |
| UNIPROT ID | Q01664 |
| 储存缓冲液 | PBS with 0.02% sodium azide and 50% glycerol, pH 7.3. |
| 储存条件 | Store at -20°C. Stable for one year after shipment. Aliquoting is unnecessary for -20oC storage. |
实验方案
| Product Specific Protocols | |
|---|---|
| IP protocol for TFAP4 antibody 12017-1-AP | Download protocol |
| WB protocol for TFAP4 antibody 12017-1-AP | Download protocol |
| Standard Protocols | |
|---|---|
| Click here to view our Standard Protocols |
发表文章
| Species | Application | Title |
|---|---|---|
Front Immunol Targeting NK-1R attenuates renal fibrosis via modulating inflammatory responses and cell fate in chronic kidney disease | ||
J Agric Food Chem Cucurbitacin E Chemosensitizes Colorectal Cancer Cells via Mitigating TFAP4/Wnt/β-Catenin Signaling. | ||
J Agric Food Chem Cucurbitacin E Triggers Cellular Senescence in Colon Cancer Cells via Regulating the miR-371b-5p/TFAP4 Signaling Pathway. | ||
Invest Ophthalmol Vis Sci A Novel Small Peptide H-KI20 Inhibits Retinal Neovascularization Through the JNK/ATF2 Signaling Pathway. | ||
Sci Adv Genome-wide CRISPR screen identifies IRF1 and TFAP4 as transcriptional regulators of Galectin-9 in T cell acute lymphoblastic leukemia
| ||
J Biochem Mol Toxicol Transcription Factor Activating Enhancer-Binding Protein 4/Acidic Nuclear Phosphoprotein 32 Family Member E Axis Increases Lactate Production to Promote Triple-Negative Breast Cancer Stemness |


