验证数据展示
经过测试的应用
| Positive WB detected in | HEK-293 cells, HeLa cells, HepG2 cells, Jurkat cells, K-562 cells, MCF-7 cells |
| Positive IP detected in | HEK-293 cells |
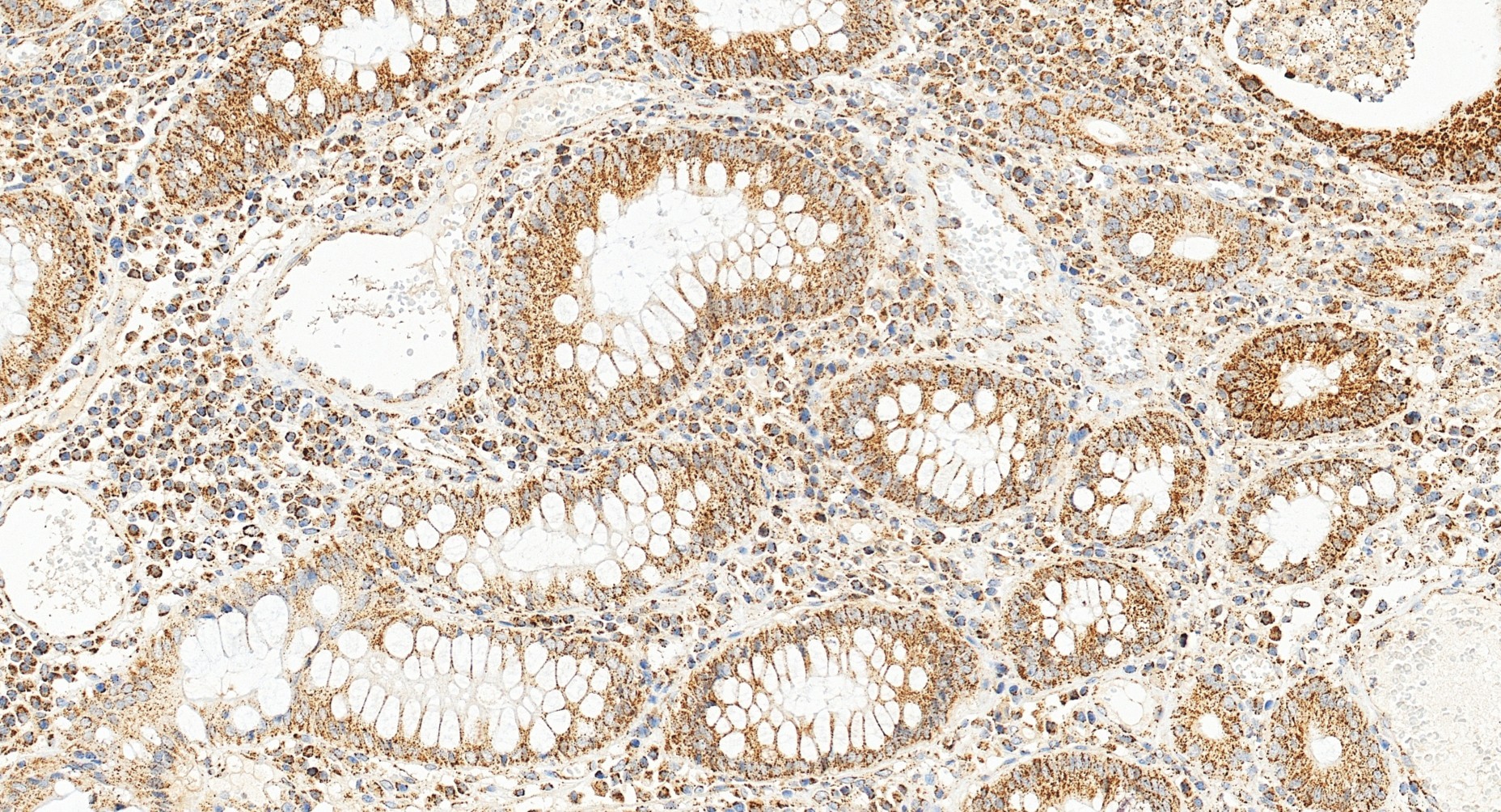
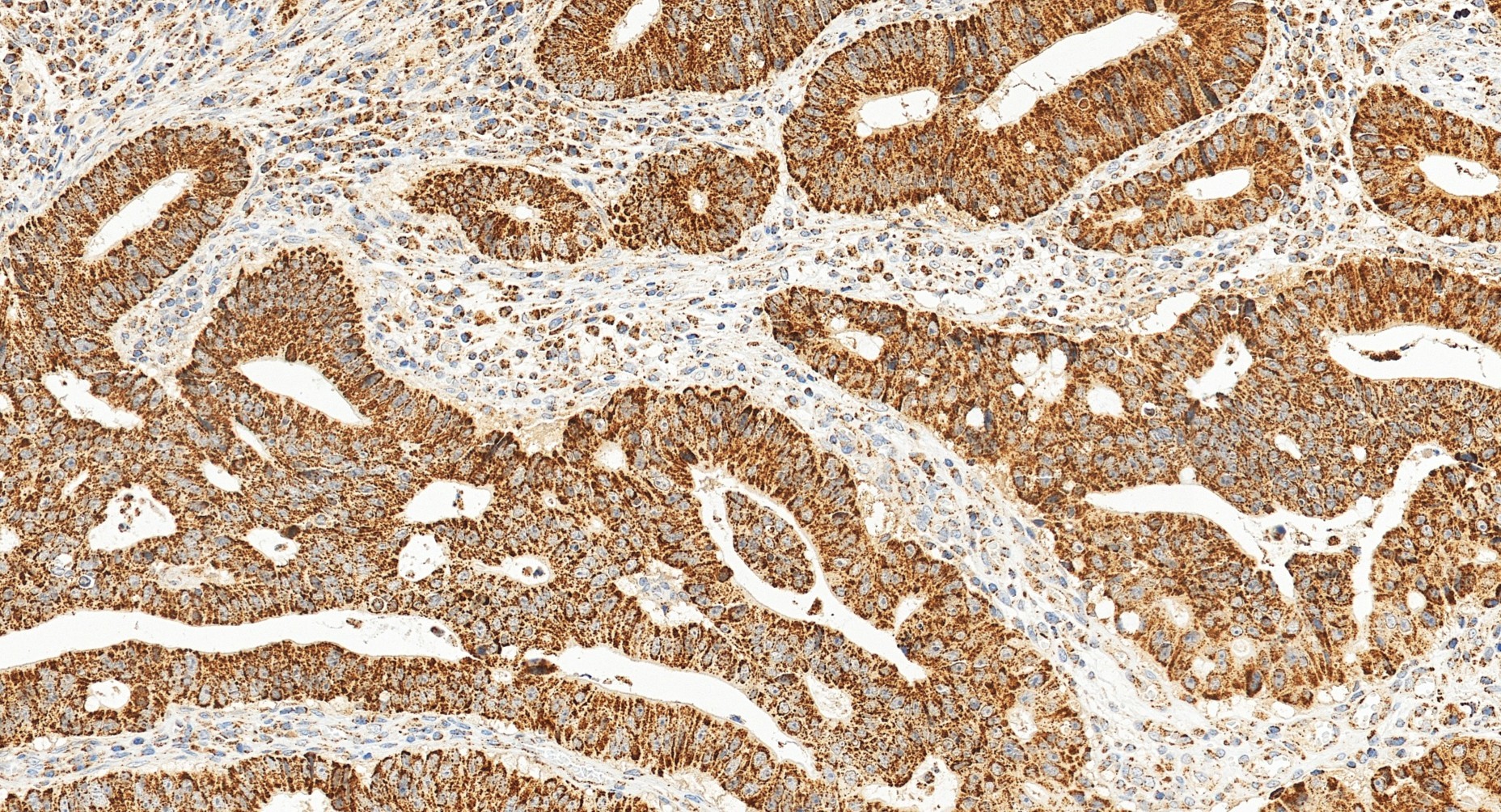
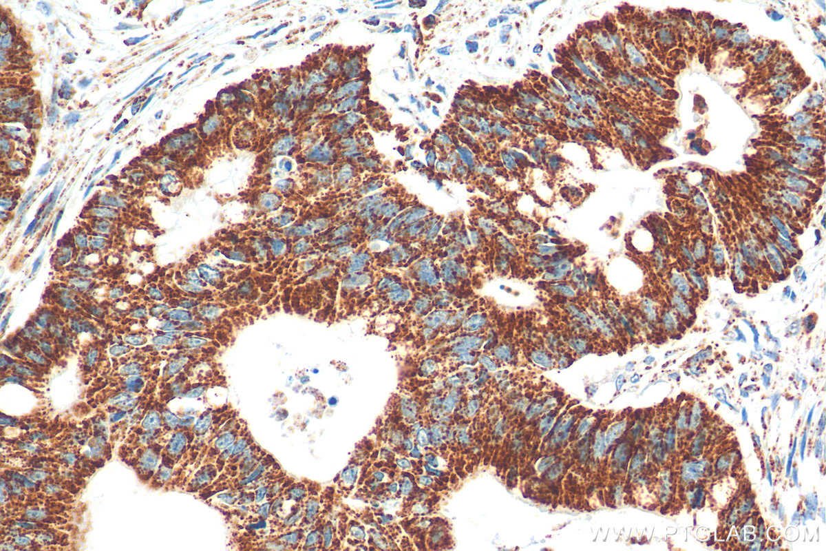
| Positive IHC detected in | human colon cancer tissue Note: suggested antigen retrieval with TE buffer pH 9.0; (*) Alternatively, antigen retrieval may be performed with citrate buffer pH 6.0 |
| Positive IF/ICC detected in | HepG2 cells |
推荐稀释比
| 应用 | 推荐稀释比 |
|---|---|
| Western Blot (WB) | WB : 1:5000-1:50000 |
| Immunoprecipitation (IP) | IP : 0.5-4.0 ug for 1.0-3.0 mg of total protein lysate |
| Immunohistochemistry (IHC) | IHC : 1:1000-1:4000 |
| Immunofluorescence (IF)/ICC | IF/ICC : 1:200-1:800 |
| It is recommended that this reagent should be titrated in each testing system to obtain optimal results. | |
| Sample-dependent, Check data in validation data gallery. | |
产品信息
22586-1-AP targets TFAM in WB, IHC, IF/ICC, IP, CoIP, chIP, ELISA applications and shows reactivity with human samples.
| 经测试应用 | WB, IHC, IF/ICC, IP, ELISA Application Description |
| 文献引用应用 | WB, IHC, IF, IP, CoIP, chIP, ELISA |
| 经测试反应性 | human |
| 文献引用反应性 | human, chicken, zebrafish, bovine, goat |
| 免疫原 |
CatNo: Ag18299 Product name: Recombinant human TFAM protein Source: e coli.-derived, PGEX-4T Tag: GST Domain: 1-246 aa of BC126366 Sequence: MAFLRSMWGVLSALGRSGAELCTGCGSRLRSPFSFVYLPRWFSSVLASCPKKPVSSYLRFSKEQLPIFKAQNPDAKTTELIRRIAQRWRELPDSKKKIYQDAYRAEWQVYKEEISRFKEQLTPSQIMSLEKEIMDKHLKRKAMTKKKELTLLGKPKRPRSAYNVYVAERFQEAKGDSPQEKLKTVKENWKNLSDSEKELYIQHAKEDETRYHNEMKSWEEQMIEVGRKDLLRRTIKKQRKYGAEEC 种属同源性预测 |
| 宿主/亚型 | Rabbit / IgG |
| 抗体类别 | Polyclonal |
| 产品类型 | Antibody |
| 全称 | transcription factor A, mitochondrial |
| 别名 | MtTF1, mtTFA, TCF6, TCF-6, Transcription factor 6-like 2 |
| 计算分子量 | 246 aa, 29 kDa |
| 观测分子量 | 25 kDa |
| GenBank蛋白编号 | BC126366 |
| 基因名称 | TFAM |
| Gene ID (NCBI) | 7019 |
| RRID | AB_11182588 |
| 偶联类型 | Unconjugated |
| 形式 | Liquid |
| 纯化方式 | Antigen affinity purification |
| UNIPROT ID | Q00059 |
| 储存缓冲液 | PBS with 0.02% sodium azide and 50% glycerol, pH 7.3. |
| 储存条件 | Store at -20°C. Stable for one year after shipment. Aliquoting is unnecessary for -20oC storage. |
背景介绍
TFAM, also named as TCF6L2, MtTF1, TCF6, TCF6L1, TCF6L3 and mtTFA, is a mitochondrial transcription factor that is a key activator of mitochondrial transcription as well as a participant in mitochondrial genome replication. It is involved in mitochondrial transcription regulation. TFAM is required for accurate and efficient promoter recognition by the mitochondrial RNA polymerase. It activates transcription by binding immediately upstream of transcriptional start sites. TFAM is able to unwind and bend DNA.
实验方案
| Product Specific Protocols | |
|---|---|
| IF protocol for TFAM antibody 22586-1-AP | Download protocol |
| IHC protocol for TFAM antibody 22586-1-AP | Download protocol |
| IP protocol for TFAM antibody 22586-1-AP | Download protocol |
| WB protocol for TFAM antibody 22586-1-AP | Download protocol |
| Standard Protocols | |
|---|---|
| Click here to view our Standard Protocols |
发表文章
| Species | Application | Title |
|---|---|---|
Cell Res Mitochondria-localized cGAS suppresses ferroptosis to promote cancer progression | ||
Adv Mater Neonatal Tissue-derived Extracellular Vesicle Therapy (NEXT): A Potent Strategy for Precision Regenerative Medicine | ||
Cell Metab Mitochondrial Damage and Activation of the STING Pathway Lead to Renal Inflammation and Fibrosis. | ||
Nat Cell Biol Mitochondrial RNA granules are fluid condensates positioned by membrane dynamics. |





