验证数据展示
经过测试的应用
| Positive WB detected in | human plasma, mouse serum, rat serum, human urine |
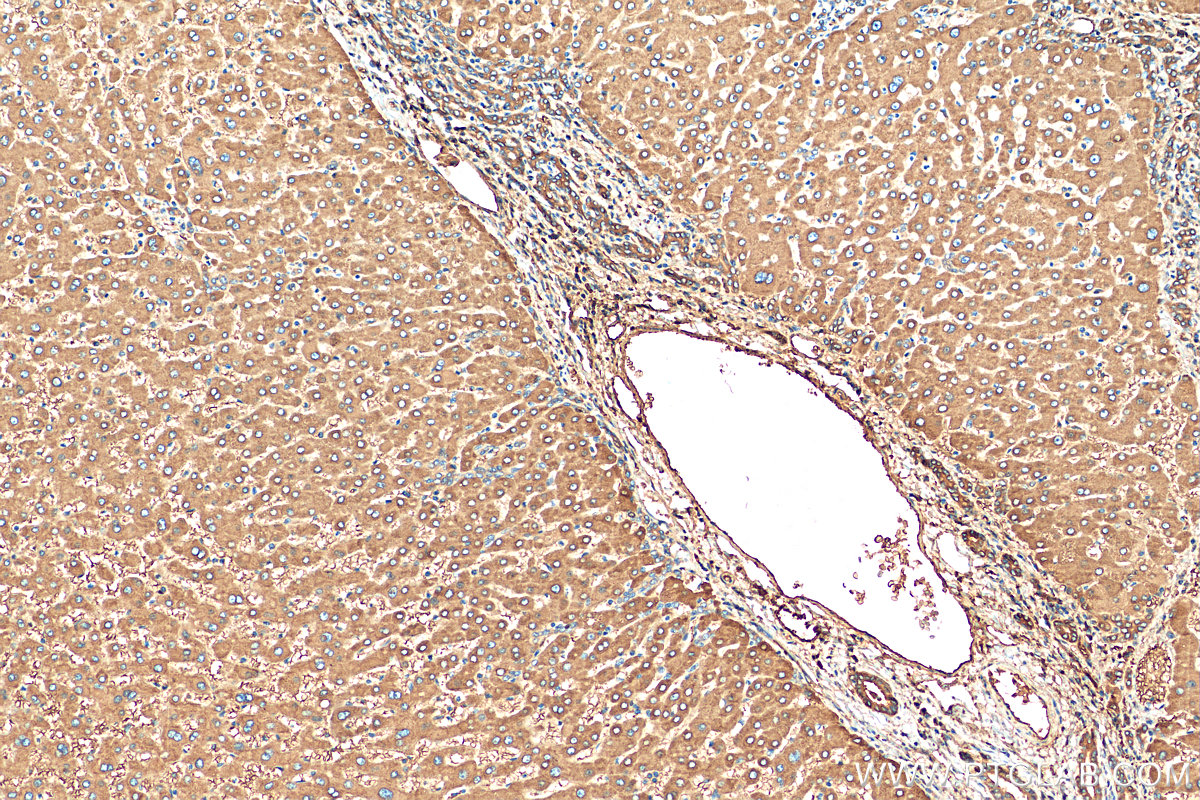
| Positive IHC detected in | human hepatocirrhosis tissue Note: suggested antigen retrieval with TE buffer pH 9.0; (*) Alternatively, antigen retrieval may be performed with citrate buffer pH 6.0 |
推荐稀释比
| 应用 | 推荐稀释比 |
|---|---|
| Western Blot (WB) | WB : 1:5000-1:50000 |
| Immunohistochemistry (IHC) | IHC : 1:475-1:1900 |
| It is recommended that this reagent should be titrated in each testing system to obtain optimal results. | |
| Sample-dependent, Check data in validation data gallery. | |
产品信息
81676-1-RR targets Transferrin/TF in WB, IHC, ELISA applications and shows reactivity with human, mouse, rat samples.
| 经测试应用 | WB, IHC, ELISA Application Description |
| 经测试反应性 | human, mouse, rat |
| 免疫原 |
CatNo: Ag11504 Product name: Recombinant human TF protein Source: e coli.-derived, PGEX-4T Tag: GST Domain: 347-698 aa of BC059367 Sequence: EGTCQEAPTDECKPVKWCALSHHERLKCDEWSVNSVGKIECVSAETTEDCIAKIMNGEADAMSLDGGFVYIAGKCGLVPVLAENYNKSDNCEDTPEAGYFAVAVVKKSASDLTWDNLKGKKSCHTAVGRTAGWNIPMGLLYNKINHCRFDEFFSEGCAPGSKKDSSLCKLCMGSGLNLCEPNNKEGYYGYTGAFRCLVEKGDVAFVKHQTVPQNTGGKNPDPWAKNLNEKDYELLCLDGTRKPVEEYANCHLARAPNHAVVTRKDKEACVHKILRQQQHLFGSNVTDCSGNFCLFRSETKDLLFRDDTVCLAKLHDRNTYEKYLGEEYVKAVGNLRKCSTSSLLEACTFRRP 种属同源性预测 |
| 宿主/亚型 | Rabbit / IgG |
| 抗体类别 | Recombinant |
| 产品类型 | Antibody |
| 全称 | transferrin |
| 别名 | TF, transferrin, 5O7, Beta 1 metal binding globulin, Beta-1 metal-binding globulin |
| 计算分子量 | 698 aa, 77 kDa |
| 观测分子量 | 77 kDa |
| GenBank蛋白编号 | BC059367 |
| 基因名称 | TF |
| Gene ID (NCBI) | 7018 |
| RRID | AB_2935573 |
| 偶联类型 | Unconjugated |
| 形式 | Liquid |
| 纯化方式 | Protein A purification |
| UNIPROT ID | P02787 |
| 储存缓冲液 | PBS with 0.02% sodium azide and 50% glycerol, pH 7.3. |
| 储存条件 | Store at -20°C. Stable for one year after shipment. Aliquoting is unnecessary for -20oC storage. |
背景介绍
Serotransferrin(TF) is a 77 kDa secreted protein which is also named as transferrin, siderophilin, beta-1 metal-binding globulin and belongs to a family of homologous iron-binding glycoproteins that encompasses lactoferrin (found both intracellular and in secretions, including milk), melanotrasferrin (present on melanoma cells) and ovotransferrin (present in egg white). TF is a multi-function protein with a primary role in transporting iron in a safe, redox-inactive state from absorption to utilization or storage sites around the body. The association of Tf with the immune system derives from its ability to restrict serum free-iron levels, creating low-iron environments where the infection capacity of pathogenic microorganisms is limited. TF is expressed predominantly in the liver and secreted in plasma, but lower amounts can be synthesized in other tissues such as the brain and the testis.
实验方案
| Product Specific Protocols | |
|---|---|
| IHC protocol for Transferrin/TF antibody 81676-1-RR | Download protocol |
| WB protocol for Transferrin/TF antibody 81676-1-RR | Download protocol |
| Standard Protocols | |
|---|---|
| Click here to view our Standard Protocols |



