验证数据展示
经过测试的应用
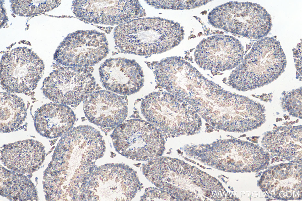
| Positive IHC detected in | mouse testis tissue Note: suggested antigen retrieval with TE buffer pH 9.0; (*) Alternatively, antigen retrieval may be performed with citrate buffer pH 6.0  | 
推荐稀释比
| 应用 | 推荐稀释比 | 
|---|---|
| Immunohistochemistry (IHC) | IHC : 1:400-1:1600 | 
| It is recommended that this reagent should be titrated in each testing system to obtain optimal results. | |
| Sample-dependent, Check data in validation data gallery. | |
产品信息
18351-1-AP targets TEX14 in WB, IHC, IF, ELISA applications and shows reactivity with human, mouse samples.
| 经测试应用 | IHC, ELISA Application Description | 
| 文献引用应用 | WB, IHC, IF | 
| 经测试反应性 | human, mouse | 
| 文献引用反应性 | human, mouse | 
| 免疫原 | 
                                             CatNo: Ag13177 Product name: Recombinant human TEX14 protein Source: e coli.-derived, PGEX-4T Tag: GST Domain: 1149-1497 aa of BC040526 Sequence: QPVRSTEDEQEETSKESPKELKEKDISLTDIQDLSSISYEPDSSFKEASCKTPKINHAPTSVSTPLSPGSVSSAASQYKDCLESITFQVKTEFASCWNSQEFIQTLSDDFISVRERAKKLDSLLTSSETPPSRLTGLKRLSSFIGAGSPSLVKACDSSPPHATQRRSLPKVEAFSQHHIDELPPPSQELLDDIELLKQQQGSSTVLHENTASDGGGTANDQRHLEEQETDSKKEDSSMPLSKETEDLGEDTERAHSTLDEDLERWLQPPEESVELQDLPKGSERETNIKDQKVGEEKRKREDSITPERRKSEGVLGTSEEDELKSCFWKRLGWSESSRIIVLDQSDLSD 种属同源性预测 | 
                                    
| 宿主/亚型 | Rabbit / IgG | 
| 抗体类别 | Polyclonal | 
| 产品类型 | Antibody | 
| 全称 | testis expressed 14 | 
| 别名 | SGK307, SGK307, Sugen kinase 307, testis expressed 14, Testis expressed protein 14, Testis expressed sequence 14, TEX14 | 
| 计算分子量 | 957aa,107 kDa; 1497aa,168 kDa | 
| 观测分子量 | 180-200 kDa, 106 kDa | 
| GenBank蛋白编号 | BC040526 | 
| 基因名称 | TEX14 | 
| Gene ID (NCBI) | 56155 | 
| RRID | AB_10641992 | 
| 偶联类型 | Unconjugated | 
| 形式 | Liquid | 
| 纯化方式 | Antigen affinity purification | 
| UNIPROT ID | Q8IWB6 | 
| 储存缓冲液 | PBS with 0.02% sodium azide and 50% glycerol, pH 7.3. | 
| 储存条件 | Store at -20°C. Stable for one year after shipment. Aliquoting is unnecessary for -20oC storage. | 
背景介绍
Tex14 is required both for the formation of intercellular bridges during meiosis and for kinetochore-microtubule attachment during mitosis. Intercellular bridges are evolutionarily conserved structures that connect differentiating germ cells and are required for spermatogenesis and male fertility. Tex14 acts by promoting the conversion of midbodies into intercellular bridges via its interaction with CEP55: interaction with CEP55 inhibits the interaction between CEP55 and PDCD6IP/ALIX and TSG101, blocking cell abscission and leading to transform midbodies into intercellular bridges.Tex14 also plays a role during mitosis: recruited to kinetochores by PLK1 during early mitosis and regulates the maturation of the outer kinetochores and microtubule attachment. Tex14 has several variant isoforms with the MW from about 100 kDa to 168 kDa.
实验方案
| Product Specific Protocols | |
|---|---|
| IHC protocol for TEX14 antibody 18351-1-AP | Download protocol | 
| IP protocol for TEX14 antibody 18351-1-AP | Download protocol | 
| WB protocol for TEX14 antibody 18351-1-AP | Download protocol | 
| Standard Protocols | |
|---|---|
| Click here to view our Standard Protocols | 
发表文章
| Species | Application | Title | 
|---|---|---|
Dev Cell Long-lived cytokinetic bridges coordinate sister-cell elimination in mouse embryos | ||
Int J Mol Sci MCF7 Spheroid Development: New Insight about Spatio/Temporal Arrangements of TNTs, Amyloid Fibrils, Cell Connections, and Cellular Bridges. | ||
FASEB J Dazl determines primordial follicle formation through the translational regulation of Tex14. | ||
Methods Mol Biol Whole-mount immunohistochemistry to study spermatogonial stem cells and spermatogenic lineage development in mice, monkeys, and humans. | ||
Cell Death Dis Specific deletion of protein phosphatase 6 catalytic subunit in Sertoli cells leads to disruption of spermatogenesis. | ||
Cells The Male Mouse Meiotic Cilium Emanates from the Mother Centriole at Zygotene Prior to Centrosome Duplication | 




