验证数据展示
经过测试的应用
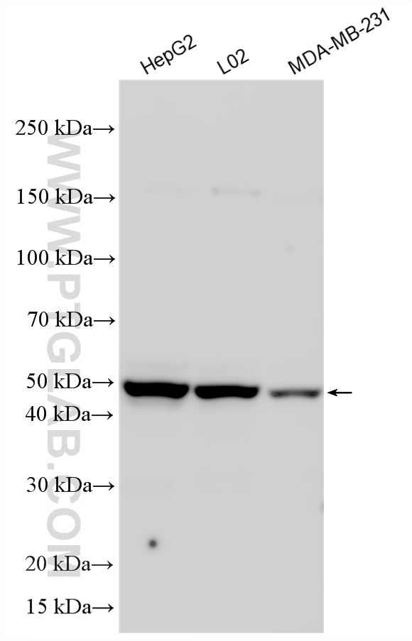
| Positive WB detected in | BGC-823 cells, HepG2 cells, MCF-7 cells, MDA-MB-231 cells, L02 cells |
推荐稀释比
| 应用 | 推荐稀释比 |
|---|---|
| Western Blot (WB) | WB : 1:1000-1:5000 |
| It is recommended that this reagent should be titrated in each testing system to obtain optimal results. | |
| Sample-dependent, Check data in validation data gallery. | |
产品信息
12418-1-AP targets TEAD4 in WB, IF, IP, CoIP, ChIP, ELISA applications and shows reactivity with human, mouse, rat samples.
| 经测试应用 | WB, ELISA Application Description |
| 文献引用应用 | WB, IF, IP, CoIP, ChIP |
| 经测试反应性 | human, mouse, rat |
| 文献引用反应性 | human, mouse, rat |
| 免疫原 |
CatNo: Ag3059 Product name: Recombinant human TEAD4 protein Source: e coli.-derived, PGEX-4T Tag: GST Domain: 135-434 aa of BC015497 Sequence: SAQIISATAFHSSMALARGPGRPAVSGFWQGALPGQAGTSHDVKPFSQQTYAVQPPLPLPGFESPAGPAPSPSAPPAPPWQGRSVASSKLWMLEFSAFLEQQQDPDTYNKHLFVHIGQSSPSYSDPYLEAVDIRQIYDKFPEKKGGLKDLFERGPSNAFFLVKFWADLNTNIEDEGSSFYGVSSQYESPENMIITCSTKVCSFGKQVVEKVETEYARYENGHYSYRIHRSPLCEYMINFIHKLKHLPEKYMMNSVLENFTILQVVTNRDTQETLLCIAYVFEVSASEHGAQHHIYRLVKE 种属同源性预测 |
| 宿主/亚型 | Rabbit / IgG |
| 抗体类别 | Polyclonal |
| 产品类型 | Antibody |
| 全称 | TEA domain family member 4 |
| 别名 | EFTR 2, hRTEF 1B, RTEF1, TCF13L1, TEA domain family member 4 |
| 计算分子量 | 434 aa, 48 kDa |
| 观测分子量 | 48 kDa |
| GenBank蛋白编号 | BC015497 |
| 基因名称 | TEAD4 |
| Gene ID (NCBI) | 7004 |
| RRID | AB_2203074 |
| 偶联类型 | Unconjugated |
| 形式 | Liquid |
| 纯化方式 | Antigen affinity purification |
| UNIPROT ID | Q15561 |
| 储存缓冲液 | PBS with 0.02% sodium azide and 50% glycerol, pH 7.3. |
| 储存条件 | Store at -20°C. Stable for one year after shipment. Aliquoting is unnecessary for -20oC storage. |
背景介绍
TEAD4 belongs to a protein family that share the TEA/ATTS domain. The transcriptional activity of TEAD4 required several regions of the proteins , a TBP-associated factor and a limiting transcriptional intermediary facotrs. TEAD4 also preforms an essential role in the Hippo signaling pathway. TEAD4 regulates gene expression of YAP1 and WWTR1/TAZ, thus mediating cell proliferation, migration and epithelial mesenchymal transition induction. The calculated molecular weight of TEAD4 is 48 kDa, but molecular weight of TEAD4 is detected about 50-55 kDa.
实验方案
| Product Specific Protocols | |
|---|---|
| WB protocol for TEAD4 antibody 12418-1-AP | Download protocol |
| Standard Protocols | |
|---|---|
| Click here to view our Standard Protocols |
发表文章
| Species | Application | Title |
|---|---|---|
Cell Mol Biol Lett KIAA1429-mediated m6A modification of CHST11 promotes progression of diffuse large B-cell lymphoma by regulating Hippo-YAP pathway | ||
Free Radic Biol Med Role of ferroptosis mediated by abnormal membrane structure in DEHP-induced reproductive injury | ||
Br J Pharmacol An agonist of the adenosine A2A receptor, CGS21680, promotes corneal epithelial wound healing via the YAP signalling pathway | ||
Clin Sci (Lond) IGFBP7 promotes endothelial cell repair in the recovery phase of acute lung injury | ||


