验证数据展示
经过测试的应用
| Positive WB detected in | HCT 116 cells, HepG2 cells, MCF-7 cells, L02 cells, MDA-MB-231 cells |
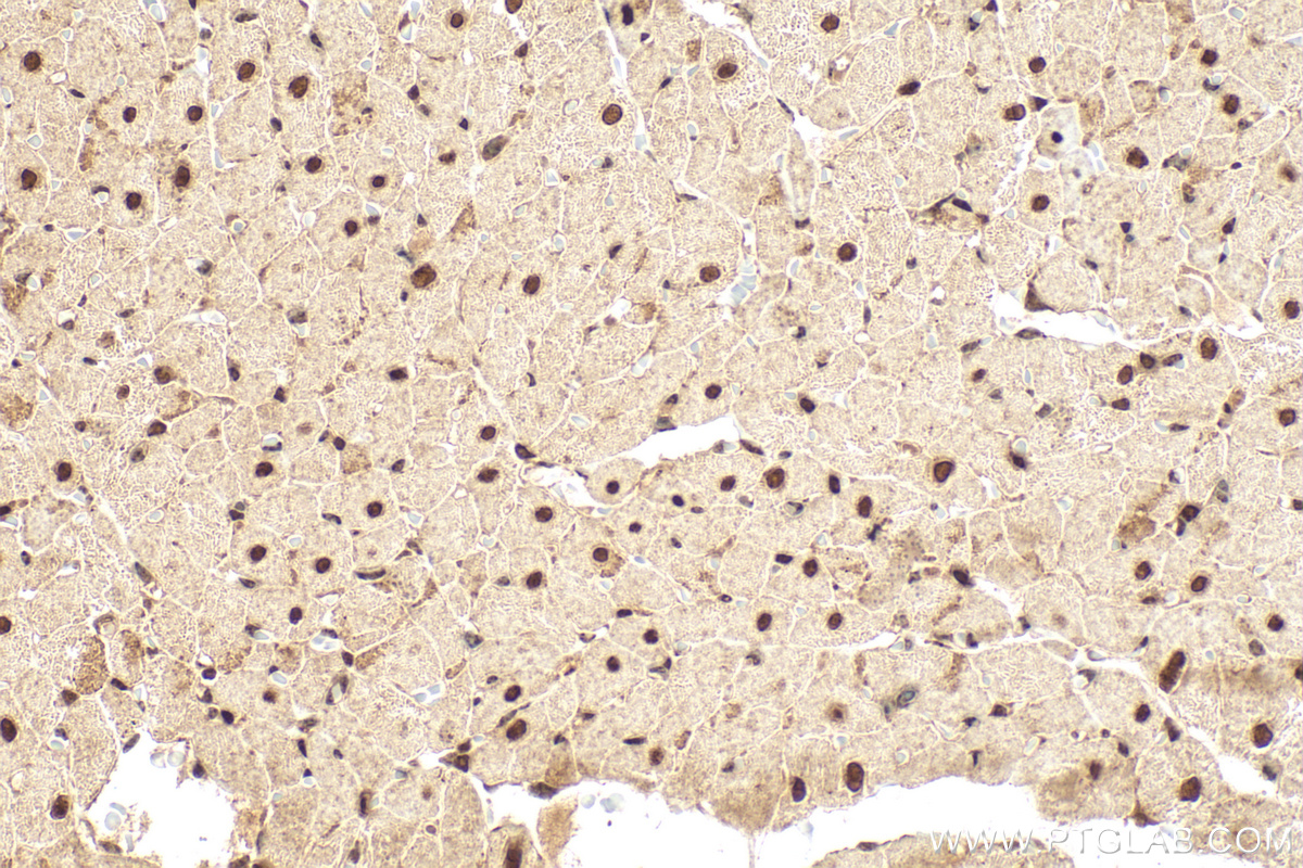
| Positive IHC detected in | rat heart tissue, mouse intestine Note: suggested antigen retrieval with TE buffer pH 9.0; (*) Alternatively, antigen retrieval may be performed with citrate buffer pH 6.0 |
| Positive IF/ICC detected in | MCF-7 cells |
推荐稀释比
| 应用 | 推荐稀释比 |
|---|---|
| Western Blot (WB) | WB : 1:500-1:2000 |
| Immunohistochemistry (IHC) | IHC : 1:200-1:800 |
| Immunofluorescence (IF)/ICC | IF/ICC : 1:50-1:500 |
| It is recommended that this reagent should be titrated in each testing system to obtain optimal results. | |
| Sample-dependent, Check data in validation data gallery. | |
发表文章中的应用
| WB | See 9 publications below |
| IHC | See 1 publications below |
产品信息
13120-1-AP targets TEAD3 in WB, IHC, IF/ICC, ELISA applications and shows reactivity with human, mouse samples.
| 经测试应用 | WB, IHC, IF/ICC, ELISA Application Description |
| 文献引用应用 | WB, IHC |
| 经测试反应性 | human, mouse |
| 文献引用反应性 | human, mouse |
| 免疫原 |
CatNo: Ag3875 Product name: Recombinant human TEAD3 protein Source: e coli.-derived, PGEX-4T Tag: GST Domain: 1-324 aa of BC027877 Sequence: MNLDQVSKDKALQSMASMSSAQIVSASVLQNKFSPPSPLPQAVFSTSSRFWSSPPLLGQQPGPSQDIKPFAQPAYPIQPPLPPTLSSYEPLAPLPSAAASVPVWQDRTIASSRLRLLEYSAFMEVQRDPDTYSKHLFVHIGQTNPAFSDPPLEAVDVRQIYDKFPEKKGGLKELYEKGPPNAFFLVKFWADLNSTIQEGPGAFYGVSSQYSSADSMTISVSTKVCSFGKQVVEKVETEYARLENGRFVYRIHRSPMCEYMINFIHKLKHLPEKYMMNSVLENFTILQVVTSRDSQETLLVIAFVFEVSTSEHGAQHHVYKLVKD 种属同源性预测 |
| 宿主/亚型 | Rabbit / IgG |
| 抗体类别 | Polyclonal |
| 产品类型 | Antibody |
| 全称 | TEA domain family member 3 |
| 别名 | DTEF 1, DTEF-1, ETFR 1, TEA domain family member 3, TEAD 3 |
| 计算分子量 | 435 aa, 49 kDa |
| 观测分子量 | 50 kDa |
| GenBank蛋白编号 | BC027877 |
| 基因名称 | TEAD3 |
| Gene ID (NCBI) | 7005 |
| RRID | AB_2203068 |
| 偶联类型 | Unconjugated |
| 形式 | Liquid |
| 纯化方式 | Antigen affinity purification |
| UNIPROT ID | Q99594 |
| 储存缓冲液 | PBS with 0.02% sodium azide and 50% glycerol, pH 7.3. |
| 储存条件 | Store at -20°C. Stable for one year after shipment. Aliquoting is unnecessary for -20oC storage. |
背景介绍
TEAD3, others named ranscriptional enhancer factor 5(TEF5), a member of family of transcription factors that plays a key role in the Hippo signaling pathway, suggesting involve in organ and tumor suppression by restricting proliferation and promoting. TEAD3 contains the TEA/ATTS DNA-binding domain. Human TEAD3 has a strong mRNA expression in placenta and choriocarcinoma cells(JEG-3), but low in Hela, HepG2 and MCF-7. This is a rabbit polyclonal anti-TEAD3 antibody raised against part of C-terminal chain of human TEAD3.
实验方案
| Product Specific Protocols | |
|---|---|
| IF protocol for TEAD3 antibody 13120-1-AP | Download protocol |
| IHC protocol for TEAD3 antibody 13120-1-AP | Download protocol |
| WB protocol for TEAD3 antibody 13120-1-AP | Download protocol |
| Standard Protocols | |
|---|---|
| Click here to view our Standard Protocols |
发表文章
| Species | Application | Title |
|---|---|---|
Res Sq Long noncoding RNA Malat1 inhibits Tead3-Nfatc1-mediated osteoclastogenesis to suppress osteoporosis and bone metastasis | ||
Adv Sci (Weinh) SUMOylation of TEAD1 Modulates the Mechanism of Pathological Cardiac Hypertrophy | ||
J Med Chem Selective Degradation of TEADs by a PROTAC Molecule Exhibited Robust Anticancer Efficacy In Vitro and In Vivo |




