验证数据展示
经过测试的应用
| Positive WB detected in | NCCIT cell, mouse brain tissue |
| Positive IP detected in | mouse brain tissue |
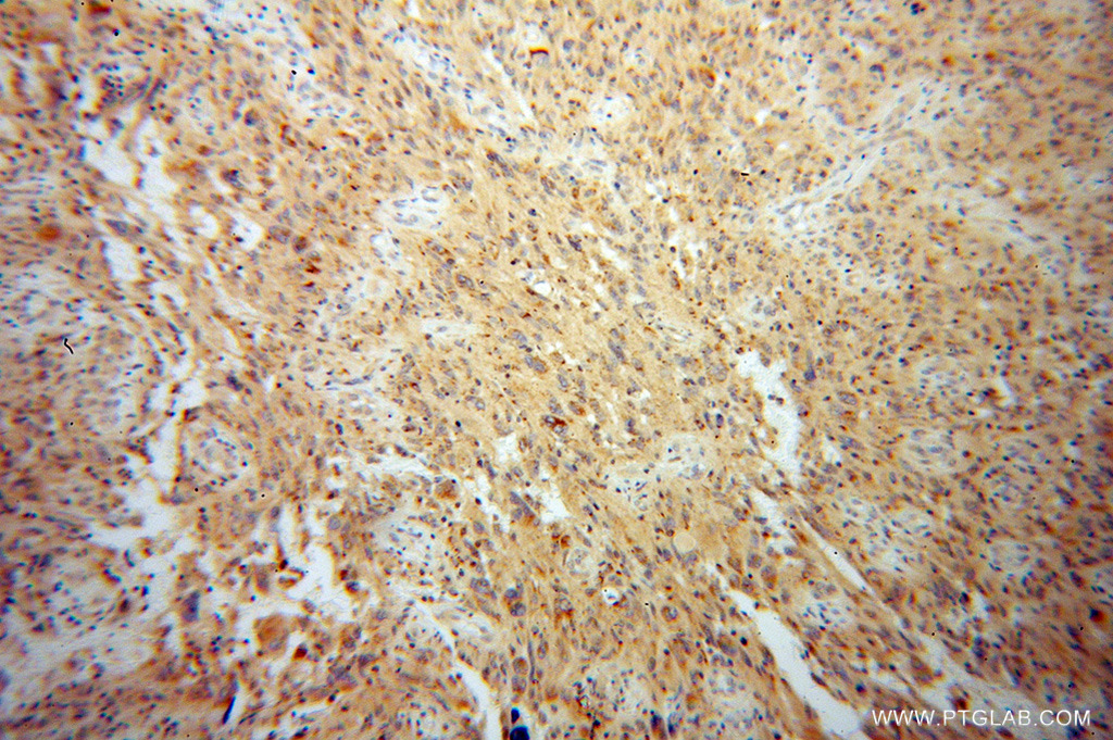
| Positive IHC detected in | human gliomas tissue Note: suggested antigen retrieval with TE buffer pH 9.0; (*) Alternatively, antigen retrieval may be performed with citrate buffer pH 6.0 |
| Positive IF/ICC detected in | HeLa cells |
推荐稀释比
| 应用 | 推荐稀释比 |
|---|---|
| Western Blot (WB) | WB : 1:2000-1:10000 |
| Immunoprecipitation (IP) | IP : 0.5-4.0 ug for 1.0-3.0 mg of total protein lysate |
| Immunohistochemistry (IHC) | IHC : 1:50-1:500 |
| Immunofluorescence (IF)/ICC | IF/ICC : 1:50-1:500 |
| It is recommended that this reagent should be titrated in each testing system to obtain optimal results. | |
| Sample-dependent, Check data in validation data gallery. | |
产品信息
13528-1-AP targets TDRKH specific in WB, IHC, IF/ICC, IP, RIP, ELISA applications and shows reactivity with human, mouse, rat samples.
| 经测试应用 | WB, IHC, IF/ICC, IP, ELISA Application Description |
| 文献引用应用 | WB, IHC, IF, IP, RIP |
| 经测试反应性 | human, mouse, rat |
| 文献引用反应性 | human, mouse, bovine |
| 免疫原 |
CatNo: Ag4422 Product name: Recombinant human TDRKH protein Source: e coli.-derived, PGEX-4T Tag: GST Domain: 1-374 aa of BC032690 Sequence: MSTERTSWTSLSTIQKIALGFGIPASATVAYILYRRYRESREERLTFVGEDDIEIEMRVPQEAVKLIIGRQGANIKQLRKQTGARIDVDTEDVGDERVLLISGFPVQVCKAKAAIHQILTENTPVSEQLSVPQRSVGRIIGRGGETIRSICKASGAKITCDKESEGTLLLSRLIKISGTQKEVAAAKHLILEKVSEDEELRKRIAHSAETRVPRKQPISVRREDMTEPGGAGEPALWKNTSSSMEPTAPLVTPPPKAGGDMAVVVSKEGSWEKPSDDSFQKSEAQAIPEMPMFEIPSPDFSFHADEYLEVYVSASEHPNHFWIQIVGSRSLQLDKLVNEMTQHYENSVPEDLTVHVGDIVAAPLPTNGSWYRAR 种属同源性预测 |
| 宿主/亚型 | Rabbit / IgG |
| 抗体类别 | Polyclonal |
| 产品类型 | Antibody |
| 全称 | tudor and KH domain containing |
| 别名 | TDRKH, Tudor domain-containing protein 2, Tudor and KH domain-containing protein, tudor and KH domain containing, TDRD2 |
| 计算分子量 | 606 aa, 67 kDa |
| 观测分子量 | 67 kDa |
| GenBank蛋白编号 | BC032690 |
| 基因名称 | TDRKH |
| Gene ID (NCBI) | 11022 |
| RRID | AB_2303299 |
| 偶联类型 | Unconjugated |
| 形式 | Liquid |
| 纯化方式 | Antigen affinity purification |
| UNIPROT ID | Q9Y2W6 |
| 储存缓冲液 | PBS with 0.02% sodium azide and 50% glycerol, pH 7.3. |
| 储存条件 | Store at -20°C. Stable for one year after shipment. Aliquoting is unnecessary for -20oC storage. |
背景介绍
Tudor and KH domain-containing protein(TDRKH)Tudor domains are protein modules that mediate protein-protein interactions, potentially by binding to methylated ligands. Both KH and tudor domains are involved in binding RNA or single-strand DNA. Tudor also is a germ cell-specific protein with multiple Tudor domains and is involved in germ plasm formation and germ cell specification. TDRKH is one Tudor protein with a single Tudor domain.
实验方案
| Product Specific Protocols | |
|---|---|
| IF protocol for TDRKH specific antibody 13528-1-AP | Download protocol |
| IHC protocol for TDRKH specific antibody 13528-1-AP | Download protocol |
| IP protocol for TDRKH specific antibody 13528-1-AP | Download protocol |
| WB protocol for TDRKH specific antibody 13528-1-AP | Download protocol |
| Standard Protocols | |
|---|---|
| Click here to view our Standard Protocols |
发表文章
| Species | Application | Title |
|---|---|---|
Nat Cell Biol Ribosomes guide pachytene piRNA formation on long intergenic piRNA precursors. | ||
Sci Adv Global ubiquitylation analysis of mitochondria in primary neurons identifies endogenous Parkin targets following activation of PINK1. | ||
Nat Commun PNLDC1 is essential for piRNA 3' end trimming and transposon silencing during spermatogenesis in mice.
| ||
Dev Cell TDRD1 phase separation drives intermitochondrial cement assembly to promote piRNA biogenesis and fertility | ||
EMBO J Tdrkh is essential for spermatogenesis and participates in primary piRNA biogenesis in the germline.
|








