验证数据展示
经过测试的应用
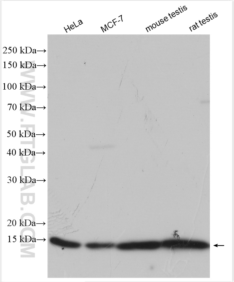
| Positive WB detected in | HeLa cells, MCF-7 cells, mouse testis tissue, rat testis tissue |
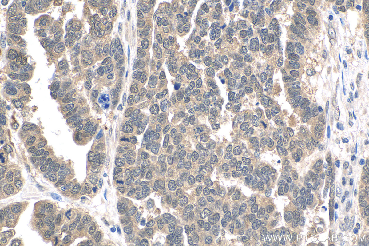
| Positive IHC detected in | human breast cancer tissue, human ovary tumor tissue Note: suggested antigen retrieval with TE buffer pH 9.0; (*) Alternatively, antigen retrieval may be performed with citrate buffer pH 6.0 |
| Positive IF/ICC detected in | HeLa cells |
推荐稀释比
| 应用 | 推荐稀释比 |
|---|---|
| Western Blot (WB) | WB : 1:2000-1:12000 |
| Immunohistochemistry (IHC) | IHC : 1:50-1:500 |
| Immunofluorescence (IF)/ICC | IF/ICC : 1:200-1:800 |
| It is recommended that this reagent should be titrated in each testing system to obtain optimal results. | |
| Sample-dependent, Check data in validation data gallery. | |
产品信息
12450-1-AP targets TCEB1 in WB, IHC, IF/ICC, CoIP, ELISA applications and shows reactivity with human, mouse, rat samples.
| 经测试应用 | WB, IHC, IF/ICC, ELISA Application Description |
| 文献引用应用 | WB, IHC, IF, CoIP |
| 经测试反应性 | human, mouse, rat |
| 文献引用反应性 | human, mouse, rat |
| 免疫原 |
CatNo: Ag3087 Product name: Recombinant human TCEB1 protein Source: e coli.-derived, PGEX-4T Tag: GST Domain: 1-112 aa of BC013809 Sequence: MDGEEKTYGGCEGPDAMYVKLISSDGHEFIVKREHALTSGTIKAMLSGPGQFAENETNEVNFREIPSHVLSKVCMYFTYKVRYTNSSTEIPEFPIAPEIALELLMAANFLDC 种属同源性预测 |
| 宿主/亚型 | Rabbit / IgG |
| 抗体类别 | Polyclonal |
| 产品类型 | Antibody |
| 全称 | transcription elongation factor B (SIII), polypeptide 1 (15kDa, elongin C) |
| 别名 | SIII p15, Elongin-C, Elongin C, Elongin 15 kDa subunit, EloC |
| 计算分子量 | 112 aa, 12 kDa |
| 观测分子量 | 12 kDa |
| GenBank蛋白编号 | BC013809 |
| 基因名称 | TCEB1 |
| Gene ID (NCBI) | 6921 |
| RRID | AB_2201139 |
| 偶联类型 | Unconjugated |
| 形式 | Liquid |
| 纯化方式 | Antigen affinity purification |
| UNIPROT ID | Q15369 |
| 储存缓冲液 | PBS with 0.02% sodium azide and 50% glycerol, pH 7.3. |
| 储存条件 | Store at -20°C. Stable for one year after shipment. Aliquoting is unnecessary for -20oC storage. |
背景介绍
TCEB1, also named as RNA polymerase II transcription factor SIII subunit C, belongs to the SKP1 family. It mediates the ubiquitination of ECS-E3 ubiquitin-protein ligase complexes. TCEB1 is overexpressed in prostate cancer cell line PC-3 and breast cancer cell line SK-BR-3. TCEB1 also promotes invasion of prostate cancer cells (PMID:18844214).
实验方案
| Product Specific Protocols | |
|---|---|
| IF protocol for TCEB1 antibody 12450-1-AP | Download protocol |
| IHC protocol for TCEB1 antibody 12450-1-AP | Download protocol |
| WB protocol for TCEB1 antibody 12450-1-AP | Download protocol |
| Standard Protocols | |
|---|---|
| Click here to view our Standard Protocols |
发表文章
| Species | Application | Title |
|---|---|---|
Proc Natl Acad Sci U S A The herpesvirus UL49.5 protein hijacks a cellular C-degron pathway to drive TAP transporter degradation | ||
Cell Death Differ CRL2-KLHDC3 E3 ubiquitin ligase complex suppresses ferroptosis through promoting p14ARF degradation. | ||
Am J Pathol A 12-gene expression signature is associated with aggressive histological in prostate cancer: SEC14L1 and TCEB1 genes are potential markers of progression. | ||
Evid Based Complement Alternat Med Antiosteoporotic Effects of Huangqi Sanxian Decoction in Cultured Rat Osteoblasts by Proteomic Characterization of the Target and Mechanism. | ||
bioRxiv The herpesvirus UL49.5 protein hijacks a cellular C-degron pathway to drive TAP transporter degradation | ||





