验证数据展示
经过测试的应用
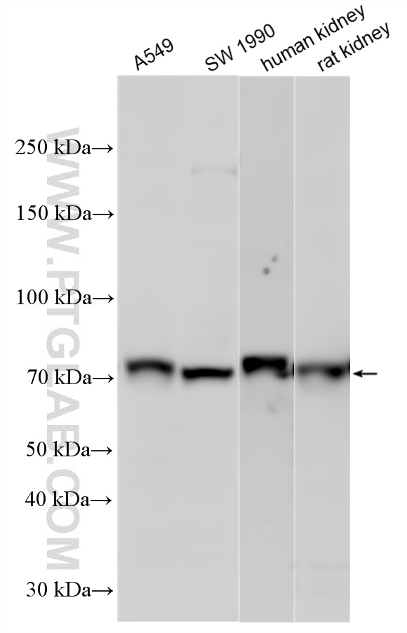
| Positive WB detected in | A549 cells, BxPC-3 cells, human placenta tissue, SW 1990 cells, human kidney tissue, rat kidney tissue |
| Positive IHC detected in | human kidney tissue, mouse kidney tissue, rat kidney tissue Note: suggested antigen retrieval with TE buffer pH 9.0; (*) Alternatively, antigen retrieval may be performed with citrate buffer pH 6.0 |
| Positive IF/ICC detected in | MCF-7 cells |
推荐稀释比
| 应用 | 推荐稀释比 |
|---|---|
| Western Blot (WB) | WB : 1:500-1:3000 |
| Immunohistochemistry (IHC) | IHC : 1:200-1:800 |
| Immunofluorescence (IF)/ICC | IF/ICC : 1:200-1:800 |
| It is recommended that this reagent should be titrated in each testing system to obtain optimal results. | |
| Sample-dependent, Check data in validation data gallery. | |
产品信息
16930-1-AP targets TBX2 in WB, IHC, IF/ICC, ELISA applications and shows reactivity with human samples.
| 经测试应用 | WB, IHC, IF/ICC, ELISA Application Description |
| 文献引用应用 | WB, IHC, IF |
| 经测试反应性 | human |
| 文献引用反应性 | human |
| 免疫原 |
CatNo: Ag10393 Product name: Recombinant human TBX2 protein Source: e coli.-derived, PGEX-4T Tag: GST Domain: 1-349 aa of BC052566 Sequence: MAYHPFHAPRPADFPMSAFLAAAQPSFFPALALPPGALAKPLPDPGLAGAAAAAAAAAAAAEAGLHVSALGPHPPAAHLRSLKSLEPEDEVEDDPKVTLEAKELWDQFHKLGTEMVITKSGRRMFPPFKVRVSGLDKKAKYILLMDIVAADDCRYKFHNSRWMVAGKADPEMPKRMYIHPDSPATGEQWMAKPVAFHKLKLTNNISDKHGFTILNSMHKYQPRFHIVRANDILKLPYSTFRTYVFPETDFIAVTAYQNDKITQLKIDNNPFAKGFRDTGNGRREKRKQLTLPSLRLYEEHCKPERDGAESDASSCDPPPAREPPTSPGAAPSPLRLHRARAEEKSCAAD 种属同源性预测 |
| 宿主/亚型 | Rabbit / IgG |
| 抗体类别 | Polyclonal |
| 产品类型 | Antibody |
| 全称 | T-box 2 |
| 别名 | T box protein 2, T-box 2, T-box protein 2, T-box transcription factor TBX2 |
| 计算分子量 | 702 aa, 74 kDa |
| 观测分子量 | 74 kDa |
| GenBank蛋白编号 | BC052566 |
| 基因名称 | TBX2 |
| Gene ID (NCBI) | 6909 |
| RRID | AB_2200526 |
| 偶联类型 | Unconjugated |
| 形式 | Liquid |
| 纯化方式 | Antigen affinity purification |
| UNIPROT ID | Q13207 |
| 储存缓冲液 | PBS with 0.02% sodium azide and 50% glycerol, pH 7.3. |
| 储存条件 | Store at -20°C. Stable for one year after shipment. Aliquoting is unnecessary for -20oC storage. |
背景介绍
TBX2 is a member of the T-box transcription factor gene family, and is expressed in a variety of tissues and organs during embryogenesis. Loss of Tbx2 function is therefore not sufficient to upregulate expression of p19ARF, p16INK4a, p15INK4b or p21 in 9.5-10.5 dpc mouse embryos, nor can the Tbx2tm1Pa/Tbx2tm1Pa phenotype be attributed to an excess of p53 (PMID: 35508658, 15459098). TBX2 is overexpressed in several cancers including melanoma, small cell lung carcinoma, breast, pancreatic, liver, and bladder cancers and can suppress senescence, a cellular process, which serves as a barrier to cancer development (PMID: 15781639).
实验方案
| Product Specific Protocols | |
|---|---|
| IF protocol for TBX2 antibody 16930-1-AP | Download protocol |
| IHC protocol for TBX2 antibody 16930-1-AP | Download protocol |
| WB protocol for TBX2 antibody 16930-1-AP | Download protocol |
| Standard Protocols | |
|---|---|
| Click here to view our Standard Protocols |
发表文章
| Species | Application | Title |
|---|---|---|
Front Chem Targeting the Oncogenic TBX2 Transcription Factor With Chromomycins.
| ||
Int J Mol Sci Proteomics Analysis of the Polyomavirus DNA Replication Initiation Complex Reveals Novel Functional Phosphorylated Residues and Associated Proteins | ||
Sci Rep Identification and validation of cell senescence genes in recurrent spontaneous abortion via multiple bioinformatics algorithms. | ||
Reprod Sci The Role of Four New Biochemical Markers in the Diagnosis and Prognosis of Ovarian Carcinoma. |









