验证数据展示
经过测试的应用
| Positive WB detected in | HepG2 cells, HeLa cells, human liver tissue, mouse ovary tissue |
| Positive IP detected in | HepG2 cells |
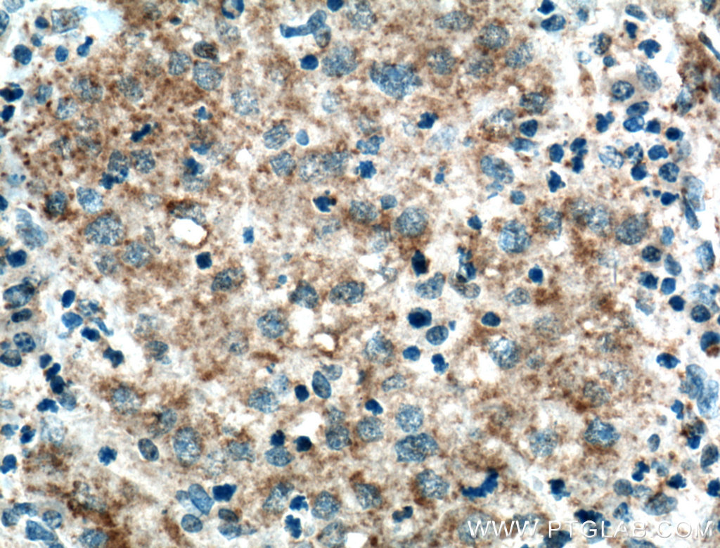
| Positive IHC detected in | human liver cancer tissue Note: suggested antigen retrieval with TE buffer pH 9.0; (*) Alternatively, antigen retrieval may be performed with citrate buffer pH 6.0 |
| Positive IF/ICC detected in | U2OS cells, Hela cells |
推荐稀释比
| 应用 | 推荐稀释比 |
|---|---|
| Western Blot (WB) | WB : 1:500-1:3000 |
| Immunoprecipitation (IP) | IP : 0.5-4.0 ug for 1.0-3.0 mg of total protein lysate |
| Immunohistochemistry (IHC) | IHC : 1:100-1:400 |
| Immunofluorescence (IF)/ICC | IF/ICC : N/A |
| It is recommended that this reagent should be titrated in each testing system to obtain optimal results. | |
| Sample-dependent, Check data in validation data gallery. | |
产品信息
16245-1-AP targets TBRG4 in WB, IHC, IF/ICC, IP, CoIP, ELISA applications and shows reactivity with human, mouse, rat samples.
| 经测试应用 | WB, IHC, IF/ICC, IP, ELISA Application Description |
| 文献引用应用 | WB, IHC, IF, IP, CoIP |
| 经测试反应性 | human, mouse, rat |
| 文献引用反应性 | human |
| 免疫原 |
CatNo: Ag9176 Product name: Recombinant human TBRG4 protein Source: e coli.-derived, PGEX-4T Tag: GST Domain: 280-631 aa of BC017235 Sequence: SYHLVQKPFSLTKDVLLDVAYAYGKLSFHQTQVSQRLATDLLSLMPSLTSGEVAHCAKSFALLKWLSLPLFEAFAQHVLNRAQDITLPHLCSVLLAFARLNFHPDQEDQFFSLVHEKLGSELPGLEPALQVDLVWALCVLQQAREAELQAVLHPEFHIQFLGGKSQKDQNTFQKLLHINATALLEYPEYSGPLLPASAVAPGPSALDRKVTPLQKELQETLKGLLGSADKGSLEVATQYGWVLDAEVLLDSDGEFLPVRDFVAPHLAQPTGSQSPPPGSKRLAFLRWEFPNFNSRSKDLLGRFVLARRHIVAAGFLIVDVPFYEWLELKSEWQKGAYLKDKMRKAVAEELAK 种属同源性预测 |
| 宿主/亚型 | Rabbit / IgG |
| 抗体类别 | Polyclonal |
| 产品类型 | Antibody |
| 全称 | transforming growth factor beta regulator 4 |
| 别名 | CPR2, FASTKD4, KIAA0948, Protein TBRG4, TBRG4 |
| 计算分子量 | 631 aa, 71 kDa |
| 观测分子量 | 60 kDa, 71 kDa |
| GenBank蛋白编号 | BC017235 |
| 基因名称 | TBRG4 |
| Gene ID (NCBI) | 9238 |
| RRID | AB_2271487 |
| 偶联类型 | Unconjugated |
| 形式 | Liquid |
| 纯化方式 | Antigen affinity purification |
| UNIPROT ID | Q969Z0 |
| 储存缓冲液 | PBS with 0.02% sodium azide and 50% glycerol, pH 7.3. |
| 储存条件 | Store at -20°C. Stable for one year after shipment. Aliquoting is unnecessary for -20oC storage. |
背景介绍
TBRG4 is also named as CPR2(Cell cycle progression restoration protein 2), FASTKD4(FAST kinase domain-containing protein 4), KIAA0948 and belongs to the FAST kinase family. This protein contains multiple putative leucine zipper domains characteristic of transcription factors and it may play a role in cell cycle progression(PMID:9383053). RT-PCR ELISA detected moderate expression in ovary, and little to no expression in all other tissues and specific brain regions examined(PMID:10231032).TBRG4 has an mature form with MW of 60 kDa produced by transit peptide missing.
实验方案
| Product Specific Protocols | |
|---|---|
| IF protocol for TBRG4 antibody 16245-1-AP | Download protocol |
| IHC protocol for TBRG4 antibody 16245-1-AP | Download protocol |
| IP protocol for TBRG4 antibody 16245-1-AP | Download protocol |
| WB protocol for TBRG4 antibody 16245-1-AP | Download protocol |
| Standard Protocols | |
|---|---|
| Click here to view our Standard Protocols |
发表文章
| Species | Application | Title |
|---|---|---|
BMC Cancer High expression of TBRG4 in relation to unfavorable outcome and cell ferroptosis in hepatocellular carcinoma | ||
Life Sci Alliance Silica-based solid-phase extraction of cross-linked nucleic acid-bound proteins. | ||
Nucleic Acids Res The Vsr-like protein FASTKD4 regulates the stability and polyadenylation of the MT-ND3 mRNA
| ||
Spine J TBRG4 regulates ubiquitination of Beclin1 and participates in autophagy pathway to inhibit intervertebral disc degeneration |









