验证数据展示
经过测试的应用
| Positive WB detected in | COLO 320 cells |
| Positive IP detected in | COLO 320 cells |
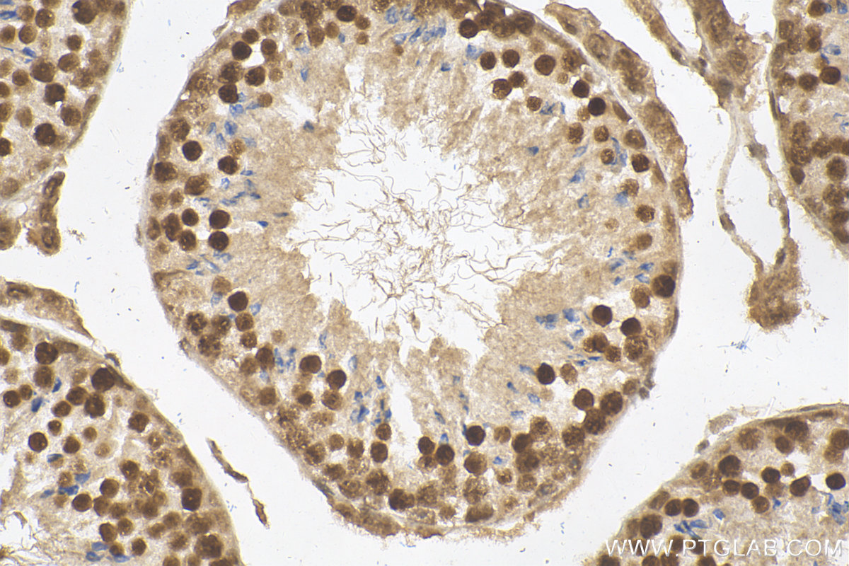
| Positive IHC detected in | mouse testis tissue, human breast cancer tissue, rat liver tissue Note: suggested antigen retrieval with TE buffer pH 9.0; (*) Alternatively, antigen retrieval may be performed with citrate buffer pH 6.0 |
推荐稀释比
| 应用 | 推荐稀释比 |
|---|---|
| Western Blot (WB) | WB : 1:500-1:3000 |
| Immunoprecipitation (IP) | IP : 0.5-4.0 ug for 1.0-3.0 mg of total protein lysate |
| Immunohistochemistry (IHC) | IHC : 1:250-1:1000 |
| It is recommended that this reagent should be titrated in each testing system to obtain optimal results. | |
| Sample-dependent, Check data in validation data gallery. | |
产品信息
22006-1-AP targets TBP in WB, IHC, IF, IP, ChIP, ELISA applications and shows reactivity with human, mouse, Rat samples.
| 经测试应用 | WB, IP, IHC, ELISA Application Description |
| 文献引用应用 | WB, IHC, IF, IP, ChIP |
| 经测试反应性 | human, mouse, Rat |
| 文献引用反应性 | human, mouse, rat, pig, monkey, sheep |
| 免疫原 |
CatNo: Ag12383 Product name: Recombinant human TBP protein Source: e coli.-derived, PET28a Tag: 6*His Domain: 1-338 aa of BC110341 Sequence: MDQNNSLPPYAQGLASPQGAMTPGIPIFSPMMPYGTGLTPQPIQNTNSLSILEEQQRQQQQQQQQQQQQQQQQQQQQQQQQQQQQQQQQQQQQQAVAAAAVQQSTSQQATQGTSGQAPQLFHSQTLTTAPLPGTTPLYPSPMTPMTPITPATPASESSGIVPQLQNIVSTVNLGCKLDLKTIALRARNAEYNPKRFAAVIMRIREPRTTALIFSSGKMVCTGAKSEEQSRLAARKYARVVQKLGFPAKFLDFKIQNMVGSCDVKFPIRLEGLVLTHQQFSSYEPELFPGLIYRMIKPRIVLLIFVSGKVVLTGAKVRAEIYEAFENIYPILKGFRKTT 种属同源性预测 |
| 宿主/亚型 | Rabbit / IgG |
| 抗体类别 | Polyclonal |
| 产品类型 | Antibody |
| 全称 | TATA box binding protein |
| 别名 | GTF2D, GTF2D1, SCA17, TATA binding factor, TATA box binding protein, TATA box factor, TATA sequence binding protein, TBP, TF2D, TFIID |
| 计算分子量 | 338 aa, 38 kDa |
| 观测分子量 | mouse/rat 33-36 kDa and human 37-43kDa |
| GenBank蛋白编号 | BC110341 |
| 基因名称 | TBP |
| Gene ID (NCBI) | 6908 |
| RRID | AB_10951514 |
| 偶联类型 | Unconjugated |
| 形式 | Liquid |
| 纯化方式 | Antigen affinity purification |
| UNIPROT ID | P20226 |
| 储存缓冲液 | PBS with 0.02% sodium azide and 50% glycerol, pH 7.3. |
| 储存条件 | Store at -20°C. Stable for one year after shipment. Aliquoting is unnecessary for -20oC storage. |
背景介绍
The TATA binding protein (TBP) is a transcription factor that binds specifically to a DNA sequence TATA box. This DNA sequence is found about 25-30 base pairs upstream of the transcription start site in some eukaryotic gene promoters. TBP, along with a variety of TBP-associated factors, make up the TFIID, a general transcription factor that in turn makes up part of the RNA polymerase II preinitiation complex. As one of the few proteins in the preinitation complex that binds DNA in a sequence-specific manner, it helps position RNA polymerase II over the transcription start site of the gene. However, it is estimated that only 10-20% of human promoters have TATA boxes. Therefore, TBP is probably not the only protein involved in positioning RNA polymerase II. This antibody recognize human TBP with MW 40 kDa and mouse/rat Tbp with MW 34 kDa.
实验方案
| Product Specific Protocols | |
|---|---|
| IHC protocol for TBP antibody 22006-1-AP | Download protocol |
| IP protocol for TBP antibody 22006-1-AP | Download protocol |
| WB protocol for TBP antibody 22006-1-AP | Download protocol |
| Standard Protocols | |
|---|---|
| Click here to view our Standard Protocols |
发表文章
| Species | Application | Title |
|---|---|---|
Hepatology Steatotic hepatocytes release mature VLDL via methionine and tyrosine metabolism in a Keap1-Nrf2 dependent manner. | ||
Redox Biol Dysfunction of astrocytic glycophagy exacerbates reperfusion injury in ischemic stroke | ||
Cancer Res DNA of neutrophil extracellular traps binds TMCO6 to impair CD8+ T-cell immunity in hepatocellular carcinoma | ||
J Hazard Mater ZnO NPs delay the recovery of psoriasis-like skin lesions through promoting nuclear translocation of p-NFκB p65 and cysteine deficiency in keratinocytes. |







