验证数据展示
经过测试的应用
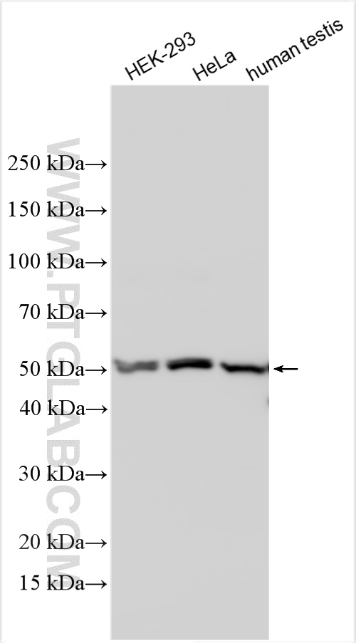
| Positive WB detected in | HEK-293 cells, HeLa cells, human testis tissue |
| Positive IF/ICC detected in | HEK-293 cells |
推荐稀释比
| 应用 | 推荐稀释比 |
|---|---|
| Western Blot (WB) | WB : 1:500-1:3000 |
| Immunofluorescence (IF)/ICC | IF/ICC : 1:200-1:800 |
| It is recommended that this reagent should be titrated in each testing system to obtain optimal results. | |
| Sample-dependent, Check data in validation data gallery. | |
产品信息
21429-1-AP targets TBCCD1 in WB, IF/ICC, ELISA applications and shows reactivity with human samples.
| 经测试应用 | WB, IF/ICC, ELISA Application Description |
| 经测试反应性 | human |
| 免疫原 |
CatNo: Ag16032 Product name: Recombinant human TBCCD1 protein Source: e coli.-derived, PET28a Tag: 6*His Domain: 208-557 aa of BC025748 Sequence: AVVALSFLIEGTISRARKIYPLHELALWQPLHADSGFSKISKTFSFYKLETWLRSCLTGNPFGTSACLKSGKKLAWAHQVEGTTKRAKIACNTHVAPRMHRLVVMSQVYKQTLAKSSDTLAGAHVKIHRCNESFIYLLSPLRSVTIEKCRNSIFVLGPVGTTLHLHSCDNVKVIAVCHRLSISSTTGCIFHVLTPTRPLILSGNQTVTFAPFHTHYPMLEDHMARTGLATVPNYWDNPMVVCRENSDTRVFQLLPPCEFYVFIIPFEMEGDTTEIPGGLPSVYQKALGQREQKIQIWQKTVKEAHLTKDQRKQFQVLVENKFYEWLINTGHRQQLDSLVPPAAGSKQAAG 种属同源性预测 |
| 宿主/亚型 | Rabbit / IgG |
| 抗体类别 | Polyclonal |
| 产品类型 | Antibody |
| 全称 | TBCC domain containing 1 |
| 别名 | TBCC domain containing 1 |
| 计算分子量 | 557 aa, 64 kDa |
| 观测分子量 | 52 kDa |
| GenBank蛋白编号 | BC025748 |
| 基因名称 | TBCCD1 |
| Gene ID (NCBI) | 55171 |
| 偶联类型 | Unconjugated |
| 形式 | Liquid |
| 纯化方式 | Antigen Affinity purified |
| UNIPROT ID | Q9NVR7 |
| 储存缓冲液 | PBS with 0.02% sodium azide and 50% glycerol, pH 7.3. |
| 储存条件 | Store at -20°C. Stable for one year after shipment. Aliquoting is unnecessary for -20oC storage. |
背景介绍
TBCC-domain containing 1 (TBCCD1) belongs to the tubulin-binding cofactor C (TBCC) family, which is a new human pericentriolar matrix component (PMID: 24101722). TBCCD1 localizes at the centrosome and at the spindle midzone, midbody and basal bodies of primary and motile cilia. Knockdown of TBCCD1 in RPE-1 cells caused the dissociation of the centrosome from the nucleus and disorganization of the Golgi apparatus. TBCCD1 is a key regulator of centrosome positioning and consequently of internal cell organization (PMID: 20168327).
实验方案
| Product Specific Protocols | |
|---|---|
| IF protocol for TBCCD1 antibody 21429-1-AP | Download protocol |
| WB protocol for TBCCD1 antibody 21429-1-AP | Download protocol |
| Standard Protocols | |
|---|---|
| Click here to view our Standard Protocols |

