验证数据展示
经过测试的应用
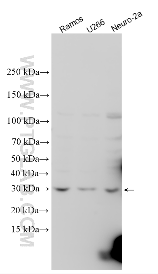
| Positive WB detected in | Ramos cells, human placenta tissue, U266 cells, Neuro-2a cells |
| Positive IP detected in | Neuro-2a cells, HeLa cells |
推荐稀释比
| 应用 | 推荐稀释比 |
|---|---|
| Western Blot (WB) | WB : 1:500-1:1000 |
| Immunoprecipitation (IP) | IP : 0.5-4.0 ug for 1.0-3.0 mg of total protein lysate |
| It is recommended that this reagent should be titrated in each testing system to obtain optimal results. | |
| Sample-dependent, Check data in validation data gallery. | |
产品信息
20769-1-AP targets TBC1D7 in WB, IP, ELISA applications and shows reactivity with human, mouse samples.
| 经测试应用 | WB, IP, ELISA Application Description |
| 经测试反应性 | human, mouse |
| 免疫原 |
CatNo: Ag14756 Product name: Recombinant human TBC1D7 protein Source: e coli.-derived, PGEX-4T Tag: GST Domain: 1-293 aa of BC007054 Sequence: MTEDSQRNFRSVYYEKVGFRGVEEKKSLEILLKDDRLDTEKLCTFSQRFPLPSMYRALVWKVLLGILPPHHESHAKVMMYRKEQYLDVLHALKVVRFVSDATPQAEVYLRMYQLESGKLPRSPSFPLEPDDEVFLAIAKAMEEMVEDSVDCYWITRRFVNQLNTKYRDSLPQLPKAFEQYLNLEDGRLLTHLRMCSAAPKLPYDLWFKRCFAGCLPESSLQRVWDKVVSGSCKILVFVAVEILLTFKIKVMALNSAEKITKFLENIPQDSSDAIVSKAIDLWHKHCGTPVHSS 种属同源性预测 |
| 宿主/亚型 | Rabbit / IgG |
| 抗体类别 | Polyclonal |
| 产品类型 | Antibody |
| 全称 | TBC1 domain family, member 7 |
| 别名 | PIG51, TBC1 domain family member 7, TBC1 domain family, member 7, TBC7 |
| 计算分子量 | 293 aa, 34 kDa |
| 观测分子量 | 30 kDa |
| GenBank蛋白编号 | BC007054 |
| 基因名称 | TBC1D7 |
| Gene ID (NCBI) | 51256 |
| 偶联类型 | Unconjugated |
| 形式 | Liquid |
| 纯化方式 | Antigen affinity purification |
| UNIPROT ID | Q9P0N9 |
| 储存缓冲液 | PBS with 0.02% sodium azide and 50% glycerol, pH 7.3. |
| 储存条件 | Store at -20°C. Stable for one year after shipment. Aliquoting is unnecessary for -20oC storage. |
背景介绍
TBC1D7 is a member of the TBC-domain containing protein family. The encoded protein functions as a subunit of the tuberous sclerosis TSC1-TSC2 complex which plays a role in the regulation of cellular growth and differentiation. Mutations in this gene have been associated with autosomal recessive megalencephaly.
实验方案
| Product Specific Protocols | |
|---|---|
| IP protocol for TBC1D7 antibody 20769-1-AP | Download protocol |
| WB protocol for TBC1D7 antibody 20769-1-AP | Download protocol |
| Standard Protocols | |
|---|---|
| Click here to view our Standard Protocols |



