验证数据展示
经过测试的应用
| Positive WB detected in | mouse brain tissue, mouse thymus tissue, Jurkat cells, rat brain tissue |
| Positive IP detected in | Jurkat cells |
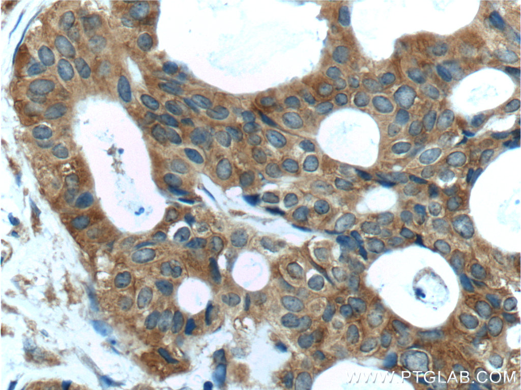
| Positive IHC detected in | human breast cancer tissue, human liver cancer tissue, human heart tissue, mouse testis tissue Note: suggested antigen retrieval with TE buffer pH 9.0; (*) Alternatively, antigen retrieval may be performed with citrate buffer pH 6.0 |
| Positive IF/ICC detected in | A549 cells |
推荐稀释比
| 应用 | 推荐稀释比 |
|---|---|
| Western Blot (WB) | WB : 1:1000-1:4000 |
| Immunoprecipitation (IP) | IP : 0.5-4.0 ug for 1.0-3.0 mg of total protein lysate |
| Immunohistochemistry (IHC) | IHC : 1:20-1:200 |
| Immunofluorescence (IF)/ICC | IF/ICC : 1:50-1:500 |
| It is recommended that this reagent should be titrated in each testing system to obtain optimal results. | |
| Sample-dependent, Check data in validation data gallery. | |
发表文章中的应用
| WB | See 1 publications below |
| IF | See 1 publications below |
产品信息
20482-1-AP targets TBC1D17 in WB, IHC, IF/ICC, IP, ELISA applications and shows reactivity with human, mouse, rat samples.
| 经测试应用 | WB, IHC, IF/ICC, IP, ELISA Application Description |
| 文献引用应用 | WB, IF |
| 经测试反应性 | human, mouse, rat |
| 文献引用反应性 | human |
| 免疫原 |
CatNo: Ag14358 Product name: Recombinant human TBC1D17 protein Source: e coli.-derived, PGEX-4T Tag: GST Domain: 1-350 aa of BC003516 Sequence: MEGAGYRVVFEKGGVYLHTSAKKYQDRDSLIAGVIRVVEKDNDVLLHWAPVEEAGDSTQILFSKKDSSGGDSCASEEEPTFDPGYEPDWAVISTVRPQPCHSEPTRGAEPSCPQGSWAFSVSLGELKSIRRSKPGLSWAYLVLVTQAGGSLPALHFHRGGTRALLRVLSRYLLLASSPQDSRLYLVFPHDSSALSNSFHHLQLFDQDSSNVVSRFLQDPYSTTFSSFSRVTNFFRGALQPQPEGAASDLPPPPDDEPEPGFEVISCVELGPRPTVERGPPVTEEEWARHVGPEGRLQQVPELKNRIFSGGLSPSLRREAWKFLLGYLSWEGTAEEHKAHIRKKTDEYFRM 种属同源性预测 |
| 宿主/亚型 | Rabbit / IgG |
| 抗体类别 | Polyclonal |
| 产品类型 | Antibody |
| 全称 | TBC1 domain family, member 17 |
| 别名 | TBC1 domain family member 17, TBC1 domain family, member 17 |
| 计算分子量 | 648 aa, 73 kDa |
| 观测分子量 | 73 kDa |
| GenBank蛋白编号 | BC003516 |
| 基因名称 | TBC1D17 |
| Gene ID (NCBI) | 79735 |
| RRID | AB_11232420 |
| 偶联类型 | Unconjugated |
| 形式 | Liquid |
| 纯化方式 | Antigen affinity purification |
| UNIPROT ID | Q9HA65 |
| 储存缓冲液 | PBS with 0.02% sodium azide and 50% glycerol, pH 7.3. |
| 储存条件 | Store at -20°C. Stable for one year after shipment. Aliquoting is unnecessary for -20oC storage. |
背景介绍
TBC1 domain family member 17 (TBC1D17), a Rab GTPase-activating protein, through its catalytic activity, regulates Rab8-mediated endocytic trafficking of transferrin receptor (PMID: 22854040). TBC1D17 also inhibits the trafficking of Shiga toxin from plasma membrane to the Golgi complex through its catalytic activity (PMID: 1756278).
实验方案
| Product Specific Protocols | |
|---|---|
| IF protocol for TBC1D17 antibody 20482-1-AP | Download protocol |
| IHC protocol for TBC1D17 antibody 20482-1-AP | Download protocol |
| IP protocol for TBC1D17 antibody 20482-1-AP | Download protocol |
| WB protocol for TBC1D17 antibody 20482-1-AP | Download protocol |
| Standard Protocols | |
|---|---|
| Click here to view our Standard Protocols |
发表文章
| Species | Application | Title |
|---|---|---|
Sci Bull (Beijing) Hepatitis B virus core protein as a Rab-GAP suppressor driving liver disease progression | ||












