验证数据展示
经过测试的应用
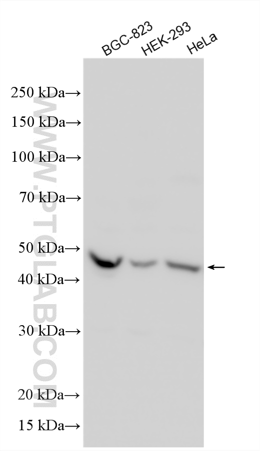
| Positive WB detected in | HEK-293 cells, BGC-823 cells, HeLa cells |
| Positive IHC detected in | human ovary tissue, human kidney tissue, human liver tissue, human lung tissue, human testis tissue Note: suggested antigen retrieval with TE buffer pH 9.0; (*) Alternatively, antigen retrieval may be performed with citrate buffer pH 6.0 |
| Positive IF/ICC detected in | HeLa cells |
推荐稀释比
| 应用 | 推荐稀释比 |
|---|---|
| Western Blot (WB) | WB : 1:500-1:2000 |
| Immunohistochemistry (IHC) | IHC : 1:20-1:200 |
| Immunofluorescence (IF)/ICC | IF/ICC : 1:20-1:200 |
| It is recommended that this reagent should be titrated in each testing system to obtain optimal results. | |
| Sample-dependent, Check data in validation data gallery. | |
发表文章中的应用
| KD/KO | See 1 publications below |
| WB | See 2 publications below |
| IHC | See 2 publications below |
产品信息
16739-1-AP targets TASP1 in WB, IHC, IF/ICC, ELISA applications and shows reactivity with human samples.
| 经测试应用 | WB, IHC, IF/ICC, ELISA Application Description |
| 文献引用应用 | WB, IHC |
| 经测试反应性 | human |
| 文献引用反应性 | human |
| 免疫原 |
CatNo: Ag9918 Product name: Recombinant human TASP1 protein Source: e coli.-derived, PET28a Tag: 6*His Domain: 1-420 aa of BC025266 Sequence: MTMEKGMSSGEGLPSRSSQVSAGKITAKELETKQSYKEKRGGFVLVHAGAGYHSESKAKEYKHVCKRACQKAIEKLQAGALATDAVTAALVELEDSPFTNAGMGSNLNLLGEIECDASIMDGKSLNFGAVGALSGIKNPVSVANRLLCEGQKGKLSAGRIPPCFLVGEGAYRWAVDHGIPSCPPNIMTTRFSLAAFKRNKRKLELAERVDTDFMQLKKRRQSSEKENDSGTLDTVGAVVVDHEGNVAAAVSSGGLALKHPGRVGQAALYGCGCWAENTGAHNPYSTAVSTSGCGEHLVRTILARECSHALQAEDAHQALLETMQNKFISSPFLASEDGVLGGVIVLRSCRCSAEPDSSQNKQTLLVEFLWSHTTESMCVGYMSAQDGKAKTHISRLPPGAVAGQSVAIEGGVCRLESPVN 种属同源性预测 |
| 宿主/亚型 | Rabbit / IgG |
| 抗体类别 | Polyclonal |
| 产品类型 | Antibody |
| 全称 | taspase, threonine aspartase, 1 |
| 别名 | C20orf13, EC:3.4.25.-, Taspase 1, Taspase-1, Threonine aspartase 1 |
| 计算分子量 | 420 aa, 44 kDa |
| 观测分子量 | 50 kDa |
| GenBank蛋白编号 | BC025266 |
| 基因名称 | TASP1 |
| Gene ID (NCBI) | 55617 |
| RRID | AB_2201218 |
| 偶联类型 | Unconjugated |
| 形式 | Liquid |
| 纯化方式 | Antigen affinity purification |
| UNIPROT ID | Q9H6P5 |
| 储存缓冲液 | PBS with 0.02% sodium azide and 50% glycerol, pH 7.3. |
| 储存条件 | Store at -20°C. Stable for one year after shipment. Aliquoting is unnecessary for -20oC storage. |
背景介绍
Threonine aspartase 1 (TASP1), a particularly conserved protease that cleaves mixed lineage leukemia 1 (MLL), regulates the expression of homeotic genes and is involved in the occurrence of cancer. TASP1 drives cell cycle progression and coordinates cell proliferation and apoptosis (PMID: 33767369). Aberrant expression of TASP1 has been found in numerous liquid and solid malignancies, including leukaemia, breast cancer, lung cancer, head and neck cancer, brain cancer, colon cancer, glioblastoma and melanoma. TASP1 plays a key role in cancer cell proliferation and apoptosis and can inhibit tumor growth after knockout (PMID: 32071545, 34012990).
实验方案
| Product Specific Protocols | |
|---|---|
| IF protocol for TASP1 antibody 16739-1-AP | Download protocol |
| IHC protocol for TASP1 antibody 16739-1-AP | Download protocol |
| WB protocol for TASP1 antibody 16739-1-AP | Download protocol |
| Standard Protocols | |
|---|---|
| Click here to view our Standard Protocols |
发表文章
| Species | Application | Title |
|---|---|---|
Hum Mol Genet Suleiman-El-Hattab syndrome: a histone modification disorder caused by TASP1 deficiency.
| ||
Cancer Manag Res Overexpression of Taspase 1 Predicts Poor Prognosis in Patients with Hepatocellular Carcinoma. | ||
Orphanet J Rare Dis Multi-omics analysis of a case of congenital microtia reveals aldob and oxidative stress associated with microtia etiology. |














