验证数据展示
经过测试的应用
| Positive WB detected in | mouse colon tissue, mouse stomach tissue, rat colon tissue, rat stomach tissue |
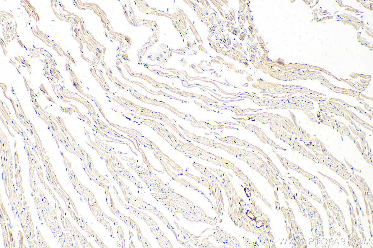
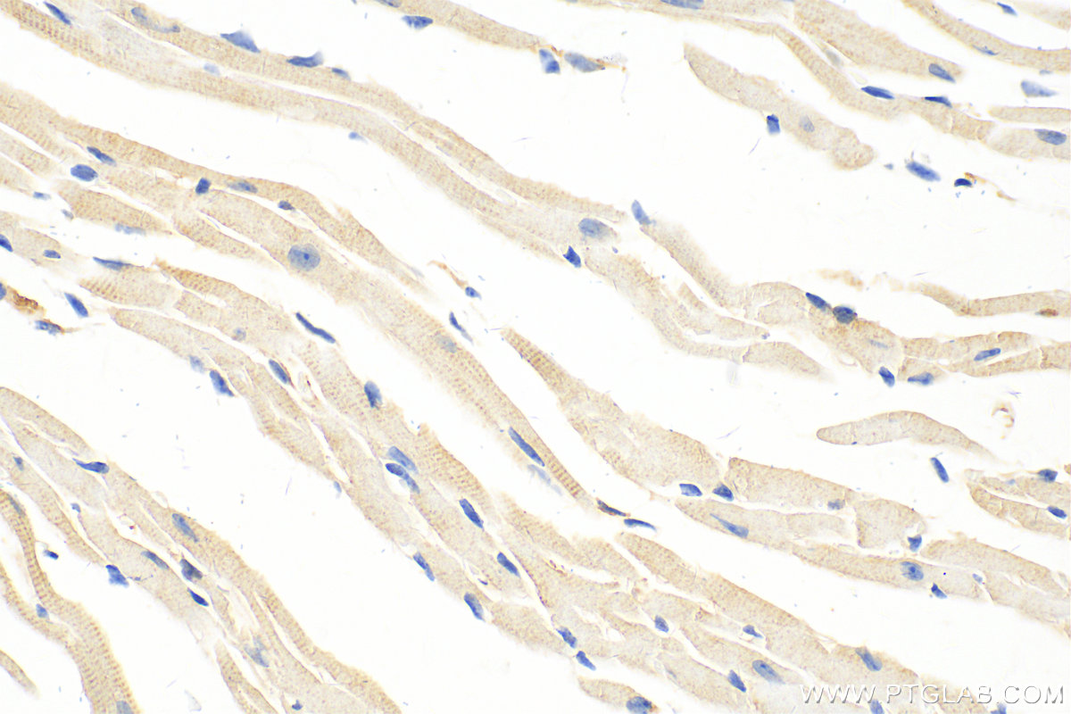
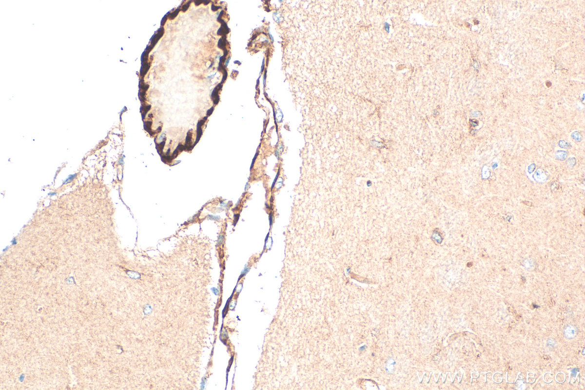
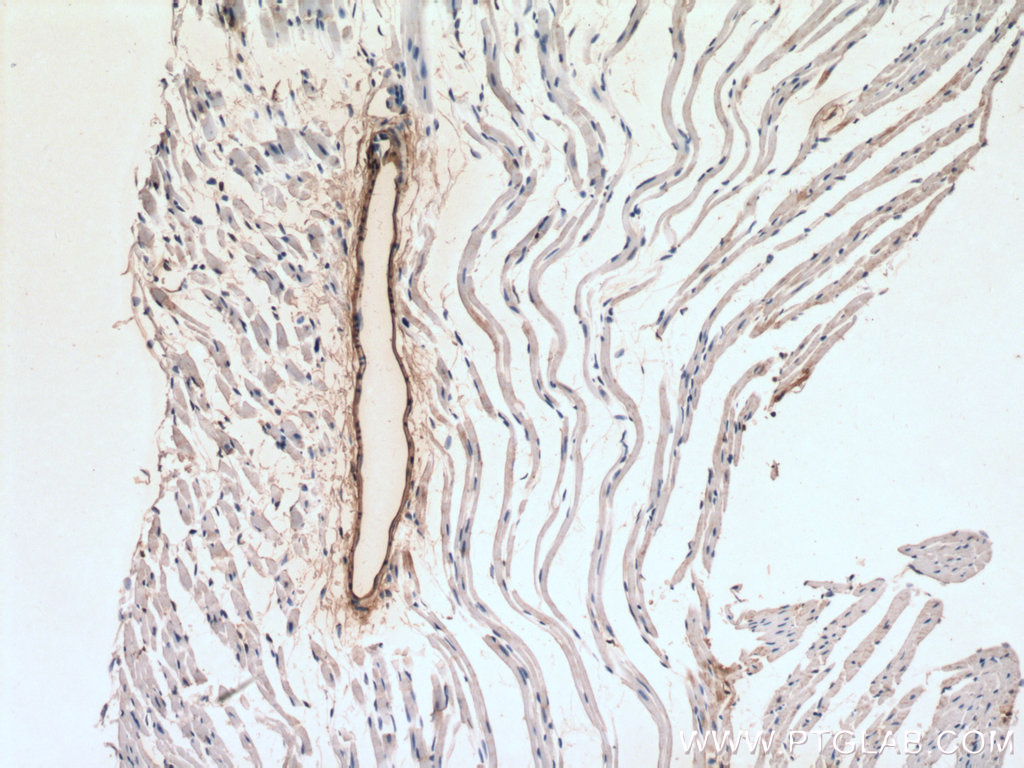
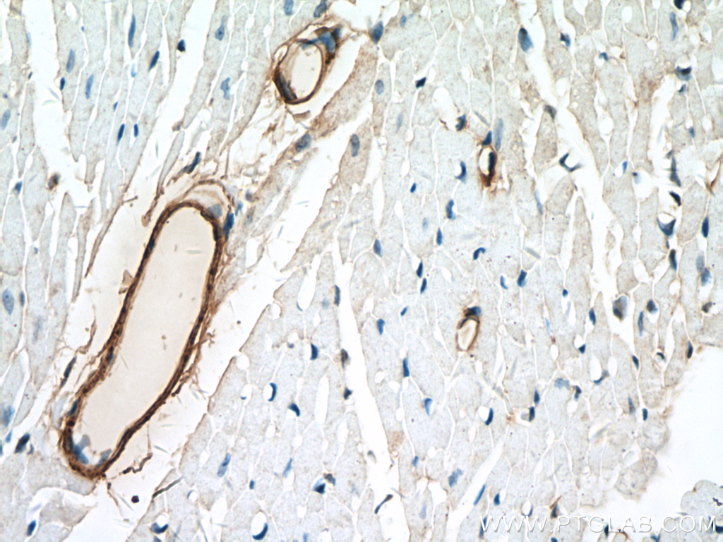
| Positive IHC detected in | mouse heart tissue, human colon cancer tissue, mouse brain tissue Note: suggested antigen retrieval with TE buffer pH 9.0; (*) Alternatively, antigen retrieval may be performed with citrate buffer pH 6.0 |
| Positive IF-P detected in | mouse heart tissue |
| Positive IF-Fro detected in | mouse heart tissue |
推荐稀释比
| 应用 | 推荐稀释比 |
|---|---|
| Western Blot (WB) | WB : 1:20000-1:100000 |
| Immunohistochemistry (IHC) | IHC : 1:1000-1:4000 |
| Immunofluorescence (IF)-P | IF-P : 1:200-1:800 |
| Immunofluorescence (IF)-FRO | IF-FRO : 1:50-1:500 |
| It is recommended that this reagent should be titrated in each testing system to obtain optimal results. | |
| Sample-dependent, Check data in validation data gallery. | |
产品信息
10493-1-AP targets transgelin/SM22 in WB, IHC, IF-P, IF-Fro, IP, ELISA applications and shows reactivity with human, mouse, rat samples.
| 经测试应用 | WB, IHC, IF-P, IF-Fro, ELISA Application Description |
| 文献引用应用 | WB, IHC, IF, IP |
| 经测试反应性 | human, mouse, rat |
| 文献引用反应性 | human, mouse, rat, canine, bovine |
| 免疫原 |
CatNo: Ag0764 Product name: Recombinant human TAGLN protein Source: e coli.-derived, PGEX-4T Tag: GST Domain: 1-201 aa of BC004927 Sequence: MANKGPSYGMSREVQSKIEKKYDEELEERLVEWIIVQCGPDVGRPDRGRLGFQVWLKNGVILSKLVNSLYPDGSKPVKVPENPPSMVFKQMEQVAQFLKAAEDYGVIKTDMFQTVDLFEGKDMAAVQRTLMALGSLAVTKNDGHYRGDPNWFMKKAQEHKREFTESQLQEGKHVIGLQMGSNRGASQAGMTGYGRPRQIIS 种属同源性预测 |
| 宿主/亚型 | Rabbit / IgG |
| 抗体类别 | Polyclonal |
| 产品类型 | Antibody |
| 全称 | transgelin |
| 别名 | SM22, transgelin, 22 kDa actin-binding protein, Protein WS3-10, SM22-a |
| 计算分子量 | 22 kDa |
| 观测分子量 | 19-22 kDa |
| GenBank蛋白编号 | BC004927 |
| 基因名称 | transgelin/SM22 |
| Gene ID (NCBI) | 6876 |
| RRID | AB_2199363 |
| 偶联类型 | Unconjugated |
| 形式 | Liquid |
| 纯化方式 | Antigen affinity purification |
| UNIPROT ID | Q01995 |
| 储存缓冲液 | PBS with 0.02% sodium azide and 50% glycerol, pH 7.3. |
| 储存条件 | Store at -20°C. Stable for one year after shipment. Aliquoting is unnecessary for -20oC storage. |
背景介绍
The transgelin family is a protein group belonging to the 22kd actin-related calponin superfamily. Of all three isoforms, transgelin 1 is the best characterized. Transgelin 1, or SM22alpha, is a specific marker for differentiated smooth muscle cells. Transgelin 2, also known as SM22 beta, is expressed by both smooth and non-smooth muscle cells in a temporally and spatially regulated pattern. Trangenlin 3, also known as NP25, is only found in highly differentiated neuronal cells. This antibody was generated against full-length transgelin 1 protein. It can cross-react with other two transgenes based on the sequence similarity.
实验方案
| Product Specific Protocols | |
|---|---|
| IF protocol for transgelin/SM22 antibody 10493-1-AP | Download protocol |
| IHC protocol for transgelin/SM22 antibody 10493-1-AP | Download protocol |
| WB protocol for transgelin/SM22 antibody 10493-1-AP | Download protocol |
| Standard Protocols | |
|---|---|
| Click here to view our Standard Protocols |
发表文章
| Species | Application | Title |
|---|---|---|
Cell Host Microbe Gut microbiome dysbiosis contributes to abdominal aortic aneurysm by promoting neutrophil extracellular trap formation | ||
Acta Pharm Sin B The substitution of SERCA2 redox cysteine 674 promotes pulmonary vascular remodeling by activating IRE1α/XBP1s pathway. | ||
J Exp Med Dependence of proliferative vascular smooth muscle cells on CD98hc (4F2hc, SLC3A2). | ||
Nat Commun Hyperlipidemia-induced cholesterol crystal production by endothelial cells promotes atherogenesis. | ||
Circ Res Peptide-mediated disruption of calmodulin-cyclin E interactions inhibits proliferation of vascular smooth muscle cells and neointima formation. |








