验证数据展示
经过测试的应用
| Positive WB detected in | HeLa cells, SKOV-3 cells, Caco-2 cells |
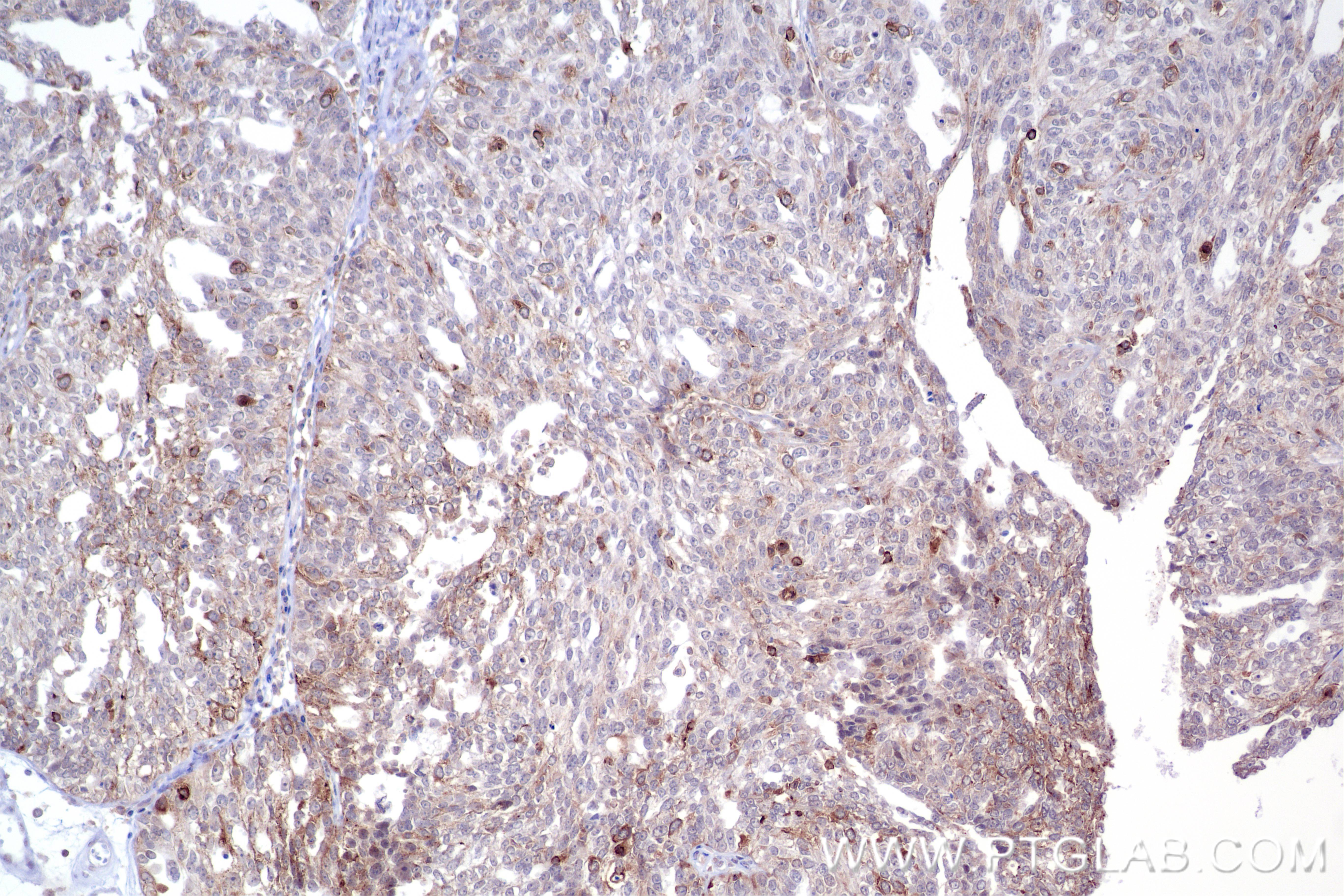
| Positive IHC detected in | human ovary cancer tissue Note: suggested antigen retrieval with TE buffer pH 9.0; (*) Alternatively, antigen retrieval may be performed with citrate buffer pH 6.0 |
| Positive IF/ICC detected in | HeLa cells |
推荐稀释比
| 应用 | 推荐稀释比 |
|---|---|
| Western Blot (WB) | WB : 1:5000-1:50000 |
| Immunohistochemistry (IHC) | IHC : 1:250-1:1000 |
| Immunofluorescence (IF)/ICC | IF/ICC : 1:200-1:800 |
| It is recommended that this reagent should be titrated in each testing system to obtain optimal results. | |
| Sample-dependent, Check data in validation data gallery. | |
产品信息
84940-5-RR targets TACC3 in WB, IHC, IF/ICC, ELISA applications and shows reactivity with human samples.
| 经测试应用 | WB, IHC, IF/ICC, ELISA Application Description |
| 经测试反应性 | human |
| 免疫原 |
CatNo: Ag22516 Product name: Recombinant human TACC3 protein Source: e coli.-derived, PGEX-4T Tag: GST Domain: 141-330 aa of BC111771 Sequence: SSESGPGALADLDCSSSSQSPGSSENQMVSPGKVSGSPEQAVEENLSSYSLDRRVTPASETLEDPCRTESQHKAETPHGAEEECKAETPHGAEEECRHGGVCAPAAVATSPPGAIPKEACGGAPLQGLPGEALGYPAGVGTPVPADSTQTLTCAHTSAPESTAPTNHLVAGRAMTLSPQEEVAAGQMASS 种属同源性预测 |
| 宿主/亚型 | Rabbit / IgG |
| 抗体类别 | Recombinant |
| 产品类型 | Antibody |
| 全称 | transforming, acidic coiled-coil containing protein 3 |
| 别名 | 242527A12, ERIC 1, ERIC1, ERIC-1, Maskin |
| 计算分子量 | 838 aa, 91 kDa |
| 观测分子量 | 160 kDa |
| GenBank蛋白编号 | BC111771 |
| 基因名称 | TACC3 |
| Gene ID (NCBI) | 10460 |
| RRID | AB_3743865 |
| 偶联类型 | Unconjugated |
| 形式 | Liquid |
| 纯化方式 | Protein A purfication |
| UNIPROT ID | Q9Y6A5 |
| 储存缓冲液 | PBS with 0.02% sodium azide and 50% glycerol, pH 7.3. |
| 储存条件 | Store at -20°C. Stable for one year after shipment. Aliquoting is unnecessary for -20oC storage. |
背景介绍
TACC3, also known as ERIC 1, belongs to the TACC family. TACC family members TACC1, TACC2, and TACC3 map very closely to the corresponding FGFR1, FGFR2, FGFR3 genes on chromosomes 8, 10, and 4. Subsequently, since they are phylogenetically related, it is proposed that TACC and FGFR have similar roles in cell growth and differentiation. It plays a role in the microtubule-dependent coupling of the nucleus and the centrosome and involved in the processes that regulate centrosome-mediated interkinetic nuclear migration (INM) of neural progenitors.
实验方案
| Product Specific Protocols | |
|---|---|
| IF protocol for TACC3 antibody 84940-5-RR | Download protocol |
| IHC protocol for TACC3 antibody 84940-5-RR | Download protocol |
| WB protocol for TACC3 antibody 84940-5-RR | Download protocol |
| Standard Protocols | |
|---|---|
| Click here to view our Standard Protocols |



