验证数据展示
经过测试的应用
| Positive WB detected in | mouse brain tissue, rat brain tissue |
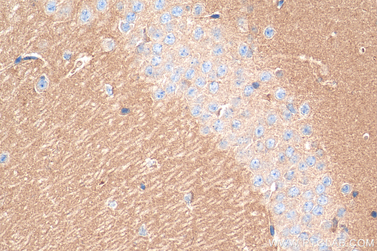
| Positive IHC detected in | mouse brain tissue Note: suggested antigen retrieval with TE buffer pH 9.0; (*) Alternatively, antigen retrieval may be performed with citrate buffer pH 6.0 |
| Positive IF-P detected in | mouse brain tissue |
推荐稀释比
| 应用 | 推荐稀释比 |
|---|---|
| Western Blot (WB) | WB : 1:2000-1:12000 |
| Immunohistochemistry (IHC) | IHC : 1:500-1:2000 |
| Immunofluorescence (IF)-P | IF-P : 1:50-1:500 |
| It is recommended that this reagent should be titrated in each testing system to obtain optimal results. | |
| Sample-dependent, Check data in validation data gallery. | |
产品信息
28667-1-AP targets Synaptotagmin-3 in WB, IHC, IF-P, ELISA applications and shows reactivity with Human, mouse, rat samples.
| 经测试应用 | WB, IHC, IF-P, ELISA Application Description |
| 经测试反应性 | Human, mouse, rat |
| 免疫原 |
CatNo: Ag30027 Product name: Recombinant human SYT3 protein Source: e coli.-derived, PET28a Tag: 6*His Domain: 85-330 aa of BC028379 Sequence: DKGGSAVGGGPLRKDLGPGVGLAGLVGGGGHHLAAGLGGHPLLGGPHHHAHAAHHPPFAELLEPGSLGGSDTPEPSYLDMDSYPEAAAAAVAAGVKPSQTSPELPSEGGAGSGLLLLPPSGGGLPSAQSHQQVTSLAPTTRYPALPRPLTQQTLTSQPDPSSEERPPALPLPLPGGEEKAKLIGQIKPELYQGTGPGGRRSGGGPGSGEAGTGAPCGRISFALRYLYGSDQLVVRILQAMDLPAKD 种属同源性预测 |
| 宿主/亚型 | Rabbit / IgG |
| 抗体类别 | Polyclonal |
| 产品类型 | Antibody |
| 全称 | synaptotagmin III |
| 别名 | DKFZp761O132, Synaptotagmin 3, synaptotagmin III, SYT3, SytIII |
| 计算分子量 | 590 aa, 63 kDa |
| 观测分子量 | 70-75 kDa |
| GenBank蛋白编号 | BC028379 |
| 基因名称 | Synaptotagmin-3 |
| Gene ID (NCBI) | 84258 |
| RRID | AB_2918187 |
| 偶联类型 | Unconjugated |
| 形式 | Liquid |
| 纯化方式 | Antigen affinity purification |
| UNIPROT ID | Q9BQG1 |
| 储存缓冲液 | PBS with 0.02% sodium azide and 50% glycerol, pH 7.3. |
| 储存条件 | Store at -20°C. Stable for one year after shipment. Aliquoting is unnecessary for -20oC storage. |
背景介绍
The synaptotagmins are integral membrane proteins of synaptic vesicles thought to serve as Ca(2+) sensors in the process of vesicular trafficking and exocytosis (PMID: 8058779). Synaptotagmin-3 (SYT3) is highly expressed in brain, adipose tissue, and heart (PMID: 30545844). Synaptotagmin-3 is highly enriched in synaptic plasma membranes (PMID: 10373432). It has been reported that synaptotagmin-3 internalizes AMPA receptors to depress synaptic strength and promote forgetting (PMID: 30545844).
实验方案
| Product Specific Protocols | |
|---|---|
| IF protocol for Synaptotagmin-3 antibody 28667-1-AP | Download protocol |
| IHC protocol for Synaptotagmin-3 antibody 28667-1-AP | Download protocol |
| WB protocol for Synaptotagmin-3 antibody 28667-1-AP | Download protocol |
| Standard Protocols | |
|---|---|
| Click here to view our Standard Protocols |



